AOTRAUMA.ORG Центр Илизарова  

Ортопедия и травматология Общие вопросы/General questions Help Информационные технологии в медицине
 вверх
 отправить
 поиск
 админ
 главная
 Предыдущее
 Весь тред


Re: Перипротезный перелом
Alexander Chelnokov 09 Ноябрь 2009, 13:46
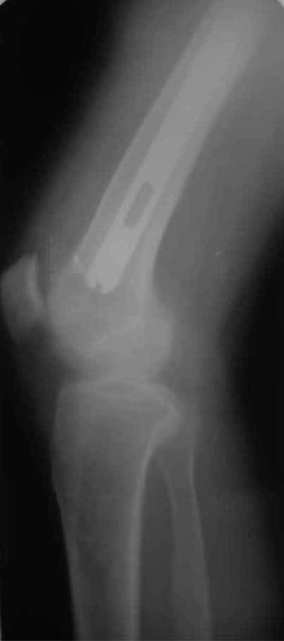
А нельзя ли увидеть и профиль бедра на всем протяжении, т.е. и весь протез, и весь стержень? И фас бы с коленом.
Спасибо!
  • Сообщения о Ортопедия и травматология
  • Также Alexander Chelnokov
  • Связаться с автором
  • Ответить

    Re: Перипротезный перелом
    Maxim Agalakov 09 Ноябрь 2009, 21:57
    сделаем,..выложим.
    [ Ответить ]

    Re: Перипротезный перелом
    igor 20 Ноябрь 2009, 08:08
    новые снимки


    [ Ответить ]


    ( Ответить )

    Powered by Zope  Squishdot Powered MedLink
    Посетитель: 0201536
      "По форме правильно, а по существу - издевательство" В.И.Ленин
    ©2001-2019Orthoforum Coordinator.
    [ Главная | Отправить сообщение | Поиск | Админ ]