вверх
отправить
поиск
админ
главная
|
Трудности при лечении открытого перелома голени |
 |
 |
 |
Отправлено Виктор, Караганда 30 Октябрь 2009, 05:52
Уважаемые коллеги! Прошу совета.Больная, 32 лет, рабочая, 2,5 года назад в ДТП получила открытый перелом костей левой голени в с/3. В одной из больниц нашего города, где отдают предпочтение накостному остеосинтезу, произведен остеосинтез б/б кости пластиной с 7 отверстиями с иммобилизаций гонитной гипсовой повязкой, почему-то с эквинусной установкой стопы. В послеоперационном периоде наступил некроз кожных покровов, нагноение раны, оголение кости и пластины на протяжении 5 см. Следующие 7 месяцев идет борьба за сохранение пластины, закрытие раны (кожная пластика). Исход - несращение, остеомиелит, функционирующий свищ, миграция винтов. Пластина удалена. И уже в другом лечебном учреждении, произведена резекция концов б/б кости на протяжении 4,5 -5 см., гнойный процесс ликвидирован. Произведено успешное замещение дефекта по Илизарову. Но при стыковке отломков возникла рекурвация голени до 25 град. Все эти годы стопа оставалась в эквинусном положении, конечность не нагружалась. Имеется лимфедема, I cт. Движения в коленном суставе восстановились, а в голеностопном остались на уровне качательных. К нам больная обратилась с просьбой долечить, поскольку прежние доверительные отношения с лечащим врачом по некоторым причинам были нарушены. На голени 4-х кольцевой аппарат: на дистальном и проксимальном кольцах по 3 спицы, на средних - по одной. Аппарат стоит уже 7 мес., нестабилен, мягкие ткани вокруг некоторых спиц воспалены. Продолжить лечение имеющимся аппаратом вряд ли удастся. Наш план дальнейшего лечения: 1. снять аппарат; произвести остеотомию м/б кости, зафиксировать голень спице-стержневым АВФ, попытавшись одномоментно «выставить» ось голени 2. после заживления ран от спиц предыдущего аппарата и полного устранения рекурвации аппаратом, произвести второй этап операции - выполнить БИОС с рассверливанием костномозгового канала.Вопросы: 1. Может быть, следует обойтись только первым этапом, учитывая наличие периода нагноения, и завершить лечение АВФ? 2. Какие неожиданности БИОС технического порядка могут встретиться в данном случае и какие есть «маленькие хитрости» для их преодоления? 3. Проксимальное блокирование вероятнее всего произойдет по регенерату, будет ли оно состоятельным (регенерату около 6 мес.)? 4. Что делать со стопой? Пытаться разработать или планировать удлинение ахиллова сухожилия? Жду совета. Виктор.
<
|
>
|
|
Ответить
|
Re: Трудности при лечении открытого перелома голени
Ерсин Жунусов 30 Октябрь 2009, 21:43
|
Уважаемый коллега!
Могу отметить, что в моей практике такие пациенты с Вашего города неоднократно втсречались, не понятно то, что зачем при открытом переломе голени применять накостный остеосинтез.
У этих пациентов мы поступали так: снимали аппарат, ждали обычно 5-7 дней до заживления спицевых ран, накладывали аппликацию с целестодермом так как часто имеется паратравматическая экзема, от лимфостаза магнитотерапию, затем производили блокируемый остеосинтез.
Однако надо учесть что будут проблемы при прохождения стыка перелома, а не регенарата, так как замыкательна пластины к/канала склерозирована, не всегда ее удается пробить репонирующей спицей, затем рассверливание канала тоже может проблематичным, если риммер с атакующим концом (Страйкер) проблем вскорее всего нет, а если с боковым рабочим поврехностью как у СХМ то могут возникнуть проблемы.
Примерно из 10 в 3 случаях мы открывали и освежали зону ложного сустава, затем после стандартного остеосинтеза укладывали спонгиозную крошку из крыла подвздошной кости смешанного коллапаном или сульмицином с антибиотиком.
Режим фиксации динамическое с остеотомией м\б кости.
Не объязательно блокировать через регенерат есть штифты типа "мастер", если у Вас штифт СХМ то можно применить реконструктивный тибиальный стержень, у них проскимальная блокировка высокая.
Кстате насколько я знаю 3-4 ноября в Караганде НИИТО проводит мастер класс по БИОС (во главе с директором), я не поеду т.к уже работаю в другом месте.
P.S. в комплексное лечение включайте иммуномодулирующую терапию (мы применяем полиоксидоний по 6 мг в\в 2 раза в день №10 т.к. в анамнезе было нагноение). С уважением д.м.н. Ерсин Жунусов. РНЦ НМП.
|
[
Ответить ]
|
Re: Трудности при лечении открытого перелома голени
Alexander Chelnokov 31 Октябрь 2009, 14:24
|
Dear Виктор.
ВК> нестабилен, мягкие ткани вокруг некоторых спиц воспалены. Продолжить
ВК> лечение имеющимся аппаратом вряд ли удастся.
В принципе, можно аппарат и переделать.
ВК> одномоментно ╚ выставить ╩ ось голени
А зачем в такой срок одномоментно, если аппаратом?
ВК> выполнить БИОС с рассверливанием костномозгового канала.
Используя стержень с покрытием из цемнта с антибиотиками.
ВК> Вопросы: 1. Может быть, следует обойтись только первым этапом,
ВК> учитывая наличие периода нагноения, и завершить лечение АВФ?
Этот вариант уже в ходу, все минусы налицо.
ВК> 2. Какие
ВК> неожиданности БИОС технического порядка могут встретиться в данном
ВК> случае и какие есть ╚ маленькие хитрости ╩ для их преодоления?
Канал надо формировать длинной ручной разверткой, которую можно и
крутить, и продвигатьь молотком. Можно сделать в любой мастерской.
ВК> 3. Проксимальное блокирование вероятнее всего произойдет по регенерату,
ВК> будет ли оно состоятельным (регенерату около 6 мес.)?
В проксимальном отломке достаточно места.
ВК> 4. Что делать со стопой?
Можно аппаратом вывести из эквинуса, или сделать любое из Вами названного.
|
[
Ответить ]
|
Re: Трудности при лечении открытого перелома голени
Отправитель: Виктор 01 Ноябрь 2009, 04:04
|

Сделан первый этап операции: наложен спице-стержневой аппарат с остеотомией малоберцовой кости на уровне ложного сустава, с захватом переднего отдела стопы полукольцом с целью выведения из порочного положения.
Проксимальное кольцо на стержне Штеймана и Шанца - не будут мешать введению штифта. Дистальное - на двух спицах и стержне. Два промежуточных - по стержню на каждое. Стержни диафизарной части планируем использовать как джойстики, аппаратом дадим компрессию на штифте.
Положение отломков улучшилось. Манипулируя стержнями, в ожидании заживления ран, довправим отломки, попытаемся вывести стопу, насколько успеем. Затем выполним БИОС.
Виктор
|
[
Ответить ]
|
Re: Трудности при лечении открытого перелома голени
Отправитель: Виктор 01 Ноябрь 2009, 04:07
|

Александр: «Канал надо формировать длинной ручной разверткой, которую можно и крутить, и продвигать молотком. Можно сделать в любой мастерской». Это что-то типа этого? Позиционируется как специальный инструмент для облегчения репозиции многоуровневого перелома
«Practice of Intramedullary Locked Nails». 2006, стр. 183
Виктор
|
[
Ответить ]
|
Re: Трудности при лечении открытого перелома голени
Отправитель: Курышев Данила 02 Ноябрь 2009, 01:28
|
Еще из кустарных самоделок выручает короткое слесарное сверло (см. 4-5 в длину), припаянное, а лучше - привареное к проводнику не тоньше 3,5 мм. Если не делать на конце ручку, то можно зажать в патроне дрели и рассверливать место ложногшо сустава, подводя дистальный отломок под атаку сверла. Далее можно доводить руками. Так несколько раз выкручивались по бедности. :)
|
[
Ответить ]
|
|
Re: Трудности при лечении открытого перелома голени
Виктор Попов 08 Ноябрь 2009, 21:27
|

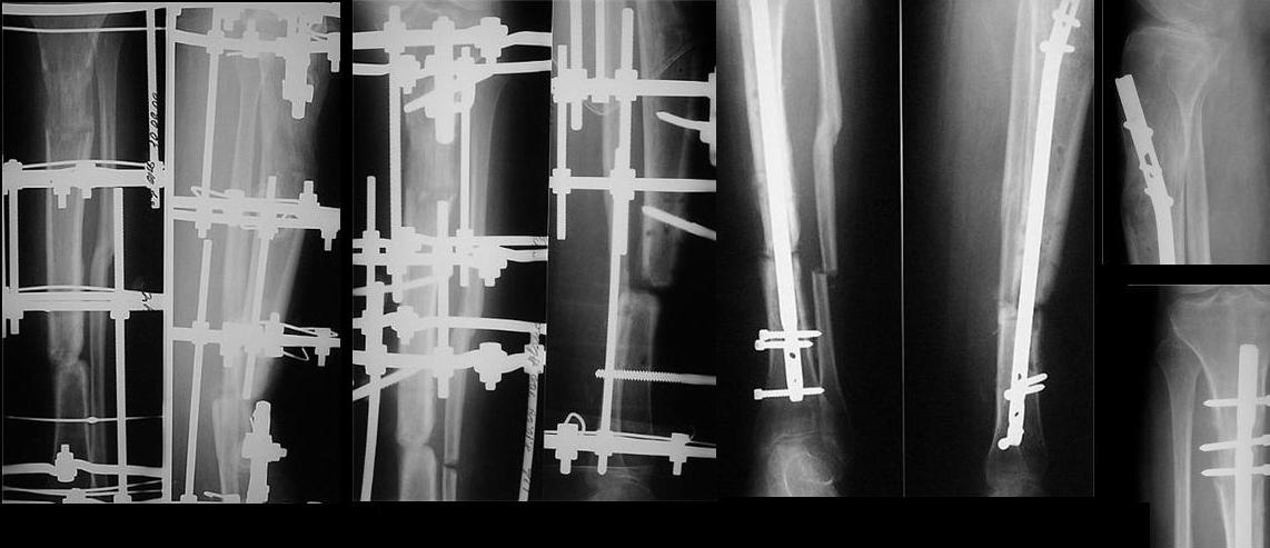
сделан первый этап операции: остеосинтез спице-стержневым аппаратом 7.11.09 г. выполнен второй этап - БИОС с рассверливанием канала, операция прошла без ожидаемых трудностей, открывать зону ложного сустава не пришлось. Прошу сделать замечания.
Виктор Попов, Караганда.
|
[
Ответить ]
|
Re: Трудности при лечении открытого перелома голени
Отправитель: Danil Bliznets 08 Ноябрь 2009, 23:03
|
Рекурвация вроде осталась. Недорепонировали на этапе ЧКО.
|
[
Ответить ]
|
Re: Трудности при лечении открытого перелома голени
Отправитель: Danil Bliznets 08 Ноябрь 2009, 23:06
|
И мы бы, наверное, динамическое блокирование сделали за счёт проксимального отломка.
|
[
Ответить ]
|
Re: Трудности при лечении открытого перелома голени
Отправитель: Danil Bliznets 09 Ноябрь 2009, 00:11
|
И точка входа слишком низко.
|
[
Ответить ]
|
Re: Трудности при лечении открытого перелома голени
Отправитель: Danil Bliznets 09 Ноябрь 2009, 00:11
|
И гвоздик коротковат imho.
|
[
Ответить ]
|
Re: Трудности при лечении открытого перелома голени
Отправитель: Danil Bliznets 09 Ноябрь 2009, 01:01
|
Мы бы сделали заход через переднее межмыщелковое поле, тогда бы динамический блокирующий винт в овальном отверстии прошёл бы через нормальную кость, а не через регенерат. Ну, и стержень, соответственно, потребовался бы длиннее.
Безымянный.JPG
4KB (4802 bytes)
|
[
Ответить ]
|
|
Re: Трудности при лечении открытого перелома голени
Ерсин Жунусов 11 Ноябрь 2009, 21:18
|
Уважаемый коллега! Однозначно надо было произвести первичную динамизацию!!! Мне кажется в целом не плохо сделано, если пациент еще в стационаре не поздно убрать статические винты. Иначе остеотомированный м/б кость ч/з 3 нед срастется и будеть распоркой. С уважением Ерсин Жунусов.
|
[
Ответить ]
|
Re: Трудности при лечении открытого перелома голени
Djoldas Kuldjanov 13 Ноябрь 2009, 01:44
|
"Рекурвация вроде осталась. Недорепонировали на этапе ЧКО. точка входа слишком низко динамическое блокировани, гвоздик коротковат imho
Небольшие технические погрешности вряд ли кардинально повлияют на окончательный результат. Я бы поздравил уважаемого Виктора с успешным решением трудной задачи с использованием новой технологии и, самое главное, больную с реальным появлением надежды на выздоровление после длительного периода применения предшествующей конструкции с сомнительным прогнозом на исход.
В атмосфере, когда воспринимается в штыки применение неординарных видов лечения, преодолеть психологический барьер не всякому удается. Особенно это касается интрамедуллярных конструкций при серьезных канальных осложнениях. Старую догму трудно перебороть. К сожалению, случается так, что коллеги на местах не верят (или не хотят верить) в возможности инновационных технологий, и оригинальные решения могут блокироваться авторитарно если вдруг что-то не по "ихнему".
Был свидетелем жаркой дискуссии среди участников на прошедшем съезде Ортопедов Казахстана, когда ярые фанатики наружных фиксаторов эмоционально критиковали применение гвоздей для интрамедуллярной фиксации.
Масла в огонь добавил доклад коллег из Киргизии "после удлинения фиксация пластиной", когда страсти накалились до точки кипения. Так, ортодоксальные сторонники удлинения по Илизарову приводили доводы, что якобы из-за риска нарушения внутрикостного кровоснабжения процесс может осложниться рассасыванием регенерата и невозможно будет проводить оперативные вмешательства вокруг регенерата до консолидации.
Техника (LATN) Lengthening and Then Nailing или (LAP) Lengthening And Plating (ASAMI) Robert Rozbruch, M.D. LLRS 2006 SanDiego давно применяется для сокращения времени на восстановление после сегментарного удлинения костей. Кроме выигрыша во времени на восстановление, смена фиксатора положительно влияет и на настроение больного. Фиксированные гвоздем больные благодаря нагрузке на конечность, в течение короткого времени восстанавливают объем движений в смежных суставах при развившейся тугоподвижности.
На данном этапе, из-за боязни риска укорочения за счет мягкого регенерата, можно было бы повременить с динамизацией. Вместо этого, можно дать пациенту насладиться нагрузкой, а что будет дальше - посмотрим.
Djoldas Kuldjanov, M.D.
Department of Orthopedic Surgery
St. Louis University
|
[
Ответить ]
|
Re: Трудности при лечении открытого перелома голени
Отправитель: Виктор 13 Ноябрь 2009, 05:28
|
Уважаемые коллеги Djoldas, Ерсин, Danil. Спасибо за обсуждение случая, за конструктивные замечания, которые помогут при выполнении следующей операции. Глубокоуважаемый Djoldas огромное спасибо за поддержку.
Виктор
Безымянный.jpg
68KB (70521 bytes)
|
[
Ответить ]
|
Re: Трудности при лечении открытого перелома голени
Отправитель: Иван Сиротин 13 Ноябрь 2009, 11:00
|
Интересная и познавательная дискуссия! Сажите, пожалуйста, а как дела в итоге обстоят с движениями в голеностопном суставе?
|
[
Ответить ]
|
Re: Трудности при лечении открытого перелома голени
Отправитель: Виктор 14 Ноябрь 2009, 05:30
|
Сажите, пожалуйста, а как дела в итоге обстоят с движениями в голеностопном суставе?
Пока без изменений
Виктор
|
[
Ответить ]
|
Re: Трудности при лечении открытого перелома голени
Отправитель: Danil Bliznets 13 Ноябрь 2009, 20:14
|
Просили замечания...
|
[
Ответить ]
|
|
( Ответить )
|
|