AOTRAUMA.ORG Центр Илизарова  

Ортопедия и травматология Общие вопросы/General questions Help Информационные технологии в медицине
 ВХОД ДЛЯ ПАЦИЕНТОВ
 вверх
 поиск
 админ
 главная


Перелом дистального луча
Ортопедия и травматология Прислано Kuleshov 31 Октябрь 2009, 01:22
из
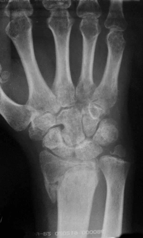
Пациент,39 лет, 02.08.2009 кататравма, падение с 5 этажа. Перелом дистального метаэпифиза лучевой кости, шиловидного отростка локтевой кости правого предплечья, перелом дистального метаэпифиза лучевой кости левого предплечья.
Лечился в Ставропольском крае. Слева - иммобилизация в течение месяца, в настоящий момент не беспокоит, функцией доволен. Справа - контрольные снимки 15.08.2009, закрытая ручная репозиция, иммобилизация в положении ладонного сгибания. 02.10.2009 контрольные рентгенограммы (приведены ниже), травматологом заподозрено формирование ложного сустава, направлен на стац.лечение, смена лонгеты на прямую. Иммобилизация до настоящего времени. Беспокоят боли в области кистевого сустава, точка максимальной болезненности в проекции шиловидного отростка локтевой кости.
Объективно: движения в кистевом суставе ограничены, ладонное сгибание 30 градусов, активные тыльное сгибание, лучевое, локтевое отведение отсутствуют, попытки пассивных движений болезненны. Патологической подвижности не определяется.
Планируем повторные снимки правого, левого кистевых суставов, КТ правого сустава, но уже сейчас пытаюсь продумать варианты.
Подскажите пожалуйста, какой может быть тактика ведения пациента? Какими могут быть варианты оперативных вмешательств? Стоит ли пытаться как-либо исправить форму луча? Нужна ли укорачивающая остеотомия локтевой кости с последующим остеосинтезом? Если да, принципиально ли использование locking plate для раннего начала движений? Стоит ли провести курс лечебной физкультуры и оценить необходимость оперативных вмешательств спустя пару месяцев или коррекцию нужно проводить чем раньше, тем лучше? Понимаю, что вопросы могут быть немного преждевременными, но все же... Снимки будут не раньше понедельника, КТ - еще позже.

Послать ответ

Имя
Email
Уведомление Сообщить мне по e-mail об ответах на это сообщение
Название
Комментарий
(Проверьте URL! Не забудьте написать http://!)
Кодировка
Если не знаете, что выбрать, выберите "Просто текст"!
Приложение
Можно приложить к сообщению файл c изображением, который затем будет доступен увидевшим сообщение.
Подготовка иллюстраций:
  • Рентгенограммы: черно-белые полутоновые изображения в формате JPEG (8 bit, greyscale) с разрешением от 300х200 до 1024х768 пикселов;
  • Клинические фотографии: полноцветные изображения в формате JPEG (24 bit, truecolor) с разрешением от 300х200 до 1024х768 пикселов;
  • Схемы и рисунки: черно-белые (2 bit) штриховые (line-art) изображения в формате GIF или compressed TIFF
  • Подберите степень сжатия файла JPEG и размер изображения таким образом, чтобы необходимые детали были различимы, но размер файла не превышал 75 кб.
  • Учтите, что текущая версия программного обеспечения Форума позволяет приложить к одному сообщению лишь один файл-вложение. Поэтому, если необходимо отправить несколько изображений, можно либо послать каждое как отдельное сообщение, либо в графическом редакторе объединить изображения в одно (сделать коллаж).
  • Если при подготовке изображений встречаются трудности, не стесняйтесь обратиться к координатору Форума.

  • Введите видимые символы в обратном порядке. Enter the above characters in reverse order (*Обязательно)
    В тексте сообщения можно использовать теги HTML <B> <I> <P> <A> <LI> <OL> <UL> <EM> <BR> <TT> <HR> <STRONG> <BLOCKQUOTE> <DIV .*> <DIV> <P .*>
  • Обратите внимание: Поля с жирными названиями обязательны.
  • Старайтесь отвечать в рамках обсуждаемой темы, а не начинать новые обсуждения.
  • Указывайте адекватную тему сообщения, чтобы было ясно, о чем оно.
  • Не послайте сообщений не по теме (оффтопик), раздраженных, грубых или обидных комментариев. Здесь это неуместно.
  • Powered by Zope  Squishdot Powered MedLink
    Посетитель: 0189528
      "По форме правильно, а по существу - издевательство" В.И.Ленин
    ©2001-2019Orthoforum Coordinator.
    [ Главная | Отправить сообщение | Поиск | Админ ]