вверх
отправить
поиск
админ
главная
|
Псевдоартроз шейки бедра у шизофреника / Femoral neck nonunion in schizophrenic |
 |
 |
 |
Отправлено Danil Bliznets 02 Ноябрь 2009, 01:47
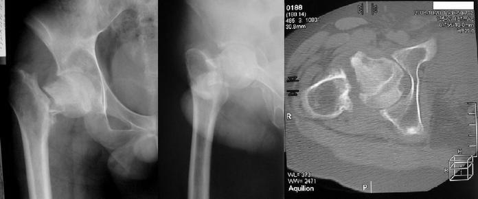
Уважаемые коллеги! Пациент 21 года, травма год назад, в настоящее время ходит с тростью, беспокоит умеренная боль, хромота. Сопутствующая патология - шизофрения, на первый взгляд вполне компенсирован, но кто его знает, что там у него в душе творится. Стоит ли протезировать? Сопутствующая патология - шизофрения, на первый взгляд вполне компенсирован, но кто его знает, что там у него в душе творится. Стоит ли протезировать? Поделитесь опытом выполнения подобных операций у шизофреников, как оно в послеоперационном периоде? Может быть лучше выполнить что-нибудь паллиативное типа медиализирующей остеотомии по McMurrey? Или вальгизирующую остеотомию с клинковой пластиной? Или вообще ничего не делать, оставить человека в покое?
С уважением, Данил Близнец, УНИИТО, г.Екатеринбург
Dear colleagues! 21 year old male injuried one year ago. At present he can walk with cane, suffering from moderate pain and limp. He have a schizophrenia as concomitant disease. It seems to be compensated, but who can say what is in the back of his mind? Is it worth to perform arthroplasty? Please share your experince of such surgery in schizophrenics! What is it in postoperative period? May be any palliative surgery is preferred in this case? Like as medializing osteotomy according to McMurray or valgus osteotomy with blade-plate fixation? May be it's worth to abstain from any surgery and leave patient in this state?
With best regards, Danil Bliznets, Ural Scientific Research Institute of Traumatology and Orthopaedics, Ekaterinburg, Russia
<
|
>
|
|
Ответить
|
Re: Псевдоартроз шейки бедра у шизофреника / Femoral neck nonunion in schizophrenic
Иван Сиротин 02 Ноябрь 2009, 19:35
|
Уважаемый коллега!
Имели опыт оперативного лечения больного шизофренией и переломом лодыжек. Больной ждал операции около 3 недель в связи с длительно незаживающими эррозиями после вскрывшихся субэпидермальных пузырей. Был осмотрен психиатром, была скоррегирована терапия, увеличена доза галлоперидола, который больной принимал и до травмы. К слову, это был самый спокойный пациент в палате как до операции, так и после. Послеоперационный период без особенностей, раны зажили первичным натяжением.
Так что, по моему мнению, лечить таких больных оперативно можно. А как технически решить вопрос в вашей ситуации мне бы тоже интересно было узнать. На ум приходят два варианта - тотальный эндопротез с парой трения металл по металлу, например, или попытка остеосинтеза с с пластикой аутотрансплантатом на питающей ножке, например с помощью участка большого вертела.
|
[
Ответить ]
|
Re: Псевдоартроз шейки бедра у шизофреника / Femoral neck nonunion in schizophrenic
Отправитель: Danil Bliznets 02 Ноябрь 2009, 23:28
|
Вопрос именно что в тактике, протезировать или не протезировать? А не лечить или не лечить. Как такие больные живут потом с эндопротезами? Между остеосинтезом и протезированием ведь есть некая принципиальная разница. Как бы не наделать хуже.
|
[
Ответить ]
|
|
Re: Псевдоартроз шейки бедра у шизофреника / Femoral neck nonunion in schizophrenic
Евгений Д 03 Ноябрь 2009, 03:22
|
На сколько помню, психические заболевания являются относительными( иногда абсолютными) противопоказаниями для данного вида лечения, последствия несоблюдения ваших рекомендаций могут очень тяжко откликнуться и на вас и на больном. Есть предложение - получить документированный ответ от ПНД, где больной наблюдается. Но в любом случа - риск получить вывихи энодопротеза и чего ещё похлеще крайне высоки.
|
[
Ответить ]
|
Re: Псевдоартроз шейки бедра у шизофреника / Femoral neck nonunion in schizophrenic
Maxim Agalakov 04 Ноябрь 2009, 11:03
|
реконструктивные операции предполагают некий нагрузочный режим 9сможет ли пациент соблюдать его?), да и функциональный результат будет, наверное, не лучший. Эндопротезирование с парой трения металл-металл с большой головой, позволит максимально быстро осуществить функциональную реабилитацию. Особых ограничений по двигательному режиму при удачной операции не будет, вывихнуть его тоже сложно.По-моему, это наиболее прогнозируемое решение.
Максим Агалаков, Екатеринбург.
|
[
Ответить ]
|
Re: Псевдоартроз шейки бедра у шизофреника / Femoral neck nonunion in schizophrenic
Danil Bliznets 13 Ноябрь 2009, 20:12
|
Разрешите ещё раз поднять вопрос, на который так и не прозвучало ответа! Хотелось бы услышать мнение настоящих эндопротезистов, занимающихся эндопротезированием всерьёз (Москва, Питер, Курган, Самара и т.д.) Неужели вы никогда не сталкивались с подобными ситуациями? И если сталкивались, то как решали такую проблему?
|
[
Ответить ]
|
Re: Псевдоартроз шейки бедра у шизофреника / Femoral neck nonunion in schizophrenic
Отправитель: Maxim Agalakov 13 Ноябрь 2009, 20:58
|
какой смысл вы вкладываете в понятие "настоящие"?, у вас целое отделение настоящих (без иронии и кавычек) эндопротезистов очень высокого уровня, у которых очно консультацию получить проще чем через форум.
|
[
Ответить ]
|
Re: Псевдоартроз шейки бедра у шизофреника / Femoral neck nonunion in schizophrenic
Отправитель: Danil Bliznets 14 Ноябрь 2009, 13:03
|
Наши ортопеды говорят - противопоказано. Вот мне и интересно узнать, так же ли дела с этим обстоят в других отделениях. А представители ведущих клиник страны молчат почему-то. :-(
|
[
Ответить ]
|
|
( Ответить )
|
|