вверх
отправить
поиск
админ
главная
Предыдущее
|
Re: Клинковые пластины или DHS? / Blade-plates or DHS?
Филипчук Виктор 02 Ноябрь 2009, 17:28
|

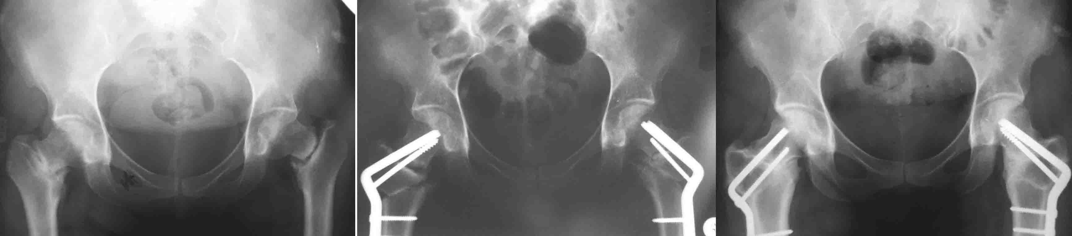
И клинковые и DHS, это всего лишь способ остеосинтеза, хотя, наверное, клинковые дают большую ротационную стабильность (по оси шейки), менее травматичны. Но это не постулат (1943 J Bone Joint Surg Am.;25:319-339. W. P. Blount BLADE-PLATE INTERNAL FIXATION FOR HIGH FEMORAL OSTEOTUMIES). При подвертельных остеотомиях с латерализацией клинковые пластины метод выбора (по другому латерализацию дистального не выполнишь). Оптимальними являються рассчеты СORA по Dror Paley (centr rotation and angulation). Взяты из книги Principles of Deformity Correction by Dror Paley. Для примера межвертельные при двусторонних ложных cуставах шеек.
Филипчук
|
|
|
Ответить
|
Re: Клинковые пластины или DHS? / Blade-plates or DHS?
Danil Bliznets 02 Ноябрь 2009, 23:36
|
Спасибо за статью. Может быть Вы имели в виду медиализацию, как на приложенных снимках? Так это от формы импланта зависит, так и пластину DHS можно изогнуть при желании (лучше тогда, наверное, брать DCS, чтобы нужный угол получить), а может быть они уже и есть такие где-нибудь у кого-нибудь.
|
[
Ответить ]
|
Re: Клинковые пластины или DHS? / Blade-plates or DHS?
Отправитель: Филипчук Виктор 03 Ноябрь 2009, 03:34
|
Нет я имел в виду латерализацию.На приложенных снимках межвертельная остеотомия, т.е. уровень остеотомии близок к CORA, и ангуляция без трансляции (смещении по ширине латерализации) допустима: не будет происходить нарушение механической оси. В случае когда значительно укорочена шейка, большая разница в длине конечности и большая степень коррекции предпочтительнее подвертельная с латерализацией дистального фрагмента: функционально удлиняется шейка, большая коррекция длины конечности и нет натяжения m. Iliacus.
Филипчук
|
[
Ответить ]
|
Re: Клинковые пластины или DHS? / Blade-plates or DHS?
Отправитель: Филипчук Виктор 03 Ноябрь 2009, 21:11
|

Рисунок Principles of deformity correction
Авторы: Dror Paley,J.E. Herzenberg
|
[
Ответить ]
|
Re: Клинковые пластины или DHS? / Blade-plates or DHS?
Отправитель: Danil Bliznets 04 Ноябрь 2009, 17:16
|
Спасибо. Многое стало понятнее. Возвращаясь к теме обсуждения - почему бы при подвертельных остеотомиях, когда требуется латерализация диафиза, не использовать в качестве фиксатора DHS?
|
[
Ответить ]
|
Re: Клинковые пластины или DHS? / Blade-plates or DHS?
Отправитель: Филипчук Виктор 04 Ноябрь 2009, 19:30
|

15 лет назад, просматривая классический труд Ренато Бомбелли, обратил внимание, что на боковых рентгенограммах клинок фиксатора смотрит не строго по оси шейки, а как бы немножко спереди назад. Я тешил себя фразой «Акела промахнулся», и только потом проведя стереометрический анализ, установил что в силу нормальной физиологической торсии бедра, устанавливая клинок строго по шейке, для сохранения торсии накладная часть пластины ложится не на латеральную поверхность, а немного кзади, т.е вальгизационная остеотомия при торсии больше о градусов имеет экстензионный эффект а латерализация вызывает дорсализацию (для наглядности: при торсии 90 градусов вальгизационная остеотомия тождественна экстензионной, а вся латерализация по сути станет дорсализацией). Из-за вышесказанного: сложности стереометрических расчетов фиксация DHS коррегирующая остеотомия будет требовать присутствия нобелевского лауреата по геометрии.
|
[
Ответить ]
|
Re: Клинковые пластины или DHS? / Blade-plates or DHS?
Отправитель: Danil Bliznets 04 Ноябрь 2009, 21:33
|
Больше скольки градусов, простите?
|
[
Ответить ]
|
Re: Клинковые пластины или DHS? / Blade-plates or DHS?
Отправитель: Danil Bliznets 04 Ноябрь 2009, 21:40
|
Опять же, почему бы не закрутить винт так же спереди назад, как клинок, и не положить пластину на латеральную поверхность бедра?
|
[
Ответить ]
|
Re: Клинковые пластины или DHS? / Blade-plates or DHS?
Отправитель: Филипчук Виктор 05 Ноябрь 2009, 02:35
|
Больше ноля (0) . Я не ратую, за нестандартное размещение клинка фиксатора. За исключением экстраординарных случаев ( а, они бывают) клинок 130 градусного фиксатора должен совпадать с осью шейки и «смотреть» на центр ротации головки . Необходимо учитывать экстензионный эффект при вальгизационных, и флексионный при варизирующих положением ножки по отношению к диафизу. Хотя если быть справедливым, то 10-15 градусная антеторсия даст минимальное искажение: 40 градусная вальгизация (при 15 градусах антеторсии) даст 8 градусный экстензионный эффект. Таким образом, эти искажения являются существенными в детской практике, где 35 градусная антеторсия вариант нормы. По поводу DHS – у меня нет опыта, хотя Dror Paley в своей лекции, демонстрировал (рентгенснимки) 70 градусную (!!!!) вальгизирующую остеотомию (SUPER HIP) у ребенка синтезированную DHS. В последующем он перешел на клинковые пластины.
PS. В приложении слайды из моего доклада " О вреде скиаграмм в реконструктивной хирургии ПВСК"
фиксатор.jpg
125KB (128532 bytes)
|
[
Ответить ]
|
Re: Клинковые пластины или DHS? / Blade-plates or DHS?
Отправитель: Danil Bliznets 04 Ноябрь 2009, 17:16
|
Спасибо. Многое стало понятнее. Возвращаясь к теме обсуждения - почему бы при подвертельных остеотомиях, когда требуется латерализация диафиза, не использовать в качестве фиксатора DHS?
|
[
Ответить ]
|
|
( Ответить )
|
|