вверх
отправить
поиск
админ
главная
|
Внутрисуставный перелом дистального метаэпифеза лучевой кости |
 |
 |
 |
Отправлено Евгений 04 Ноябрь 2009, 03:00
Здравствуйте, уважаемые коллеги.Хотим услышать Ваше мнение по поводу лечения пациента 24 лет с диагнозом неправильно консолидирываный внутрисуставный перелом дистального метаэпифиза правой лучевой кости. Травма 3 мес назад. Была выполнена закрытая репозиция, гипсовая иммобилизация. 2 мес. назад гипсовая повязка снята, и больной начал разрабатывать движения. Сейчас жалобы на боли в лучезапястном суставе, появляющиеся после физической нагрузки, особенно ограничено и болезненно тыльное сгибание, остальные движения ограничены в меньшей степени, слегка болезненны в крайних положениях. Неврологических нарушений клинически нет. Пациент военнослужащий, физического труда.Мы рассматриваем такие варианты: 1. Продолжить разработку движений с физметодами2. оперативное лечение с восстановлением анатомических соотношений в суставе.
<
|
>
|
|
Ответить
|
Re: Внутрисуставный перелом дистального метаэпифеза лучевой кости
Ерсин Жунусов 04 Ноябрь 2009, 21:33
|
Уважаемый коллега!
Во-первых мне не совсем понятно анамнез заболевания, так после репозиции (если можно назвать репозицией) в теч. 2 мес гипсовая иммобилизация?
во-вторых, где и какая тут репозиция: радиоульнарный и волярный угол не восстановлен(везде отрицательные углы).
в- третьих: если учесть что пациент молодой и военнослужащий, то однозначно надо оперировать.
мы практикуем ладонный доступ, производим V-образную (по радиальной поверхности) или шарнирную остеотомию, затем дистракция кисти по длине с ульнарным отведением кисти (при этом временно применяем дистрактор: спицу проводим через 2-3 пястные кости и фиксируем в полукольце а через центральный отломок спица фиксирована к кольцу) тем самым устраняем лучевую косорукость и восстанавливаем радиоульнарный угол, затем при укладке и фиксации LCP по заданному углу восстанавливается вольярный угол лучевой кости, после демонтируем дистрактор. С уважением Ерсин Жунусов.
|
[
Ответить ]
|
Re: Внутрисуставный перелом дистального метаэпифеза лучевой кости
Отправитель: Евгений 05 Ноябрь 2009, 00:08
|
Спасибо.
Анамнез нам известен со слов пациента, в связи с предложенной тактикой лечения хотим уточнить:
1. остеотомия по месту перелома или проксимальнее, если проксимальнее то на сколько?
2. доступа к LCP нет, возможен ли вариант фиксации фрагмента после остеотомии и востановтения углов спицами и дополнительно в апарате внешней фиксации?
С уважением Евгений
|
[
Ответить ]
|
Re: Внутрисуставный перелом дистального метаэпифеза лучевой кости
Отправитель: Danil Bliznets 05 Ноябрь 2009, 01:11
|
Уважаемый Ерсин! Здесь проблема, как мне видится, не в неправильных углах наклона фасетки, они-то как раз более-менее приемлемы, видали мы таких больных с отличным функциональным результатом. Суть проблемы в оставшейся дисконгруэнтности суставной поверхности лучевой кости. Что делать с неправильно сросшимся суставным переломом на таких поздних сроках?
|
[
Ответить ]
|
Re: Внутрисуставный перелом дистального метаэпифеза лучевой кости
Отправитель: a-volna@mail.ru 05 Ноябрь 2009, 21:45
|
Уважаемый Ерсин Жунусов, поддерживаю предложенную Вами тактику на 100%. Делаю так же вплоть до деталей. Но, у автора нет блокированных пластин. В этом случае (это из прошлого, между прочим недалёкого - до LCP ЭПОХИ), когда приходилось пользоваться традиционной пластиной, костная пластика очень желательна, так как трансплантат держит пространство. Если же и этого у автора нет... При использовании только спиц - наверняка произойдёт потеря коррекции, при использовании аппарата - потеря функции. Так что в таких условиях надо крепко подумать...
Андрей
|
[
Ответить ]
|
Re: Внутрисуставный перелом дистального метаэпифеза лучевой кости
Отправитель: Евгений 06 Ноябрь 2009, 01:45
|
Традиционную пластину найдём и костную пластику сделаем.
Остаётся открытым вопрос об уровне остеотомии - на уровне перелома или проксимальнее, мы склоняемся к остеотомии выше уровня перелома, но на сколько выше?
Спасибо, с уважением Евгений
|
[
Ответить ]
|
Re: Внутрисуставный перелом дистального метаэпифеза лучевой кости
Отправитель: Андрей Волна 06 Ноябрь 2009, 03:16
|
Уважаемый Евгений, возможно, полезной для предоперационного планирования может оказаться Ргр здорового лучезапястного сустава, особенно в том случае, если данная операция не является рутинной для Вас. Тогда, отталкиваясь от Ргр здорового сустава, как от идеального шаблона, Вы сможете максимально аргументировано составить предоперационный план, в том числе и определиться с уровнем остеотомии. Так же нашёл у себя в архиве более - менее похожий случай, он во вложенном файле, может что-то окажется полезным для Вас. Пациентка 26 лет, упала с велосипеда. Лечилась консервативно. Обратилась к нам через 3 мес. Ргр на 1ом слайде. При этом достаточно хорошо видна и импрессия хряща. Выполнена остеотомия, зона её открыта, как книга и с помощью импактора возвращены на место вдавленные участки суставной поверхности, при этом суставная поверхность ладьевидной и полулунной костей служили естественным шаблоном для восстановления суставной поверхности лучевой кости. Так как дефект получился достаточно большим и винты пришлось проводить субхондрально, воспользовался Хроносом для пластики, можно было и аутокость применить, естественно. Но ограничился только Хроносом (слайд №2). Сейчас эти пластины я уже не использую, появились более элегантные версии с винтами 2,4 и 2,7 мм и пр. Аппарат в этом случае мне в ходе операции не понадобился, но это скорее исключение, чем правило - *железный ассистент* всегда наготове. Через год с небольшим пластину удалил, слайд №3, здесь же фотогафия зоны бывшего дефекта, замещённого Хроносом. На слайде №4 - Ргр после удаления в сравнении с Ргр здорового лучезапястного сустава, дабы все наши как успехи, так и погрешности и недоработки были отчётливо видны. Восстановление функции полное, на велосипеде катается.

Но, ещё раз, если позволите, сделайте хорошие Ргр, сравните со здоровым суставом и оцените свои возможности для принятия оптимального для пациента и взвешенного решения. С уважением, Андрей
|
[
Ответить ]
|
Re: Внутрисуставный перелом дистального метаэпифеза лучевой кости
Отправитель: Юрий Алексеевич Булахтин 06 Ноябрь 2009, 10:54
|
Чем ближе остеотомия к вершине деформации тем она эффективнее
|
[
Ответить ]
|
|
Re: Внутрисуставный перелом дистального метаэпифеза лучевой кости
Danil Bliznets 05 Ноябрь 2009, 01:18
|
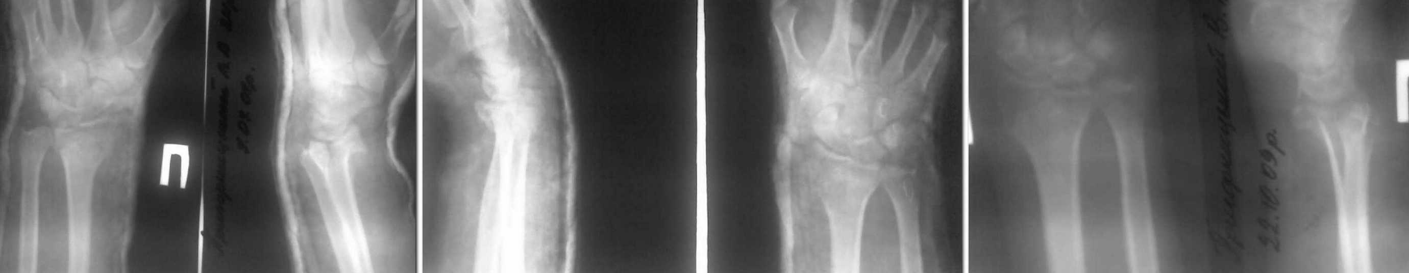
А можно рентгенограммы без гипса и в лучшем качестве? Не совсем понятно, что же там в суставе сейчас творится. Боковую проекцию с выведением суставной щели желательно, сделайте профильный снимок с углом в пятнадцать-двадцать градусов между осью предплечья и плоскостью кассеты. Ну, чтобы видно было, о чём говорить. :-) В спорных случаях можно и КТ не погнушаться.
|
[
Ответить ]
|
Re: Внутрисуставный перелом дистального метаэпифеза лучевой кости
Отправитель: Евгений 06 Ноябрь 2009, 01:52
|
Последний снимок сделан без гипса, к сожалению качество снимка и качество сканирования дают такую размытую картину. Сделаем такую проекцию и представим снимок, но не раньше понедельника (пациент придёт в понедельник)
|
[
Ответить ]
|
|
Re: Внутрисуставный перелом дистального метаэпифеза лучевой кости
Ерсин Жунусов 06 Ноябрь 2009, 20:11
|
Уважаемые коллеги!
Был в отъезде поэтому поздно включаюсь в дискуссию.
Чтобы при таких случаях не спорить "есть норма угол или нет" автору надо было начертить углы и весь спор отпал бы.
При таком сроке, насколько нам известно импрессию суставной поверхности восстановить не возможно. Вершина линии остеотомии обращена к дистальному метафизу, т.е к линии излома. С уважением Ерсин Жунусов.
|
[
Ответить ]
|
( Ответить )
|
|