ВХОД ДЛЯ ПАЦИЕНТОВ
вверх
поиск
админ
главная
исходное
|
Re: Некроз ББК
послал Alexander Artemiev 24 Ноябрь 2009, 23:22
|
Здравствуйте, Никита и все-все...
Целиком поддержу мнение Павла Иванова.
> Я бы, наверное, после удаления штифта сосредоточился на определения
> жизнеспособности кости по задней поверхности.
Если будут сомнения, то я бы сделал резекцию.
Определение жизнеспособности кости или, точнее, Ваше мнение по поводу жизнеспособности кости является определяющим в тактике лечения.
Я бы не сосредотачивался на сохранении задней стенки, ища прямые или косвенные признаки её жизнеспособности, а сразу пошел на резекцию.
Тем более у Вас нет обязательств перед больным (не Вы же делали первую операцию) и, соответственно, голова холодная...
Радикальная резекция и одномоментное (или даже постепенное) сближение (acute shortening, следуя Вашей лексике) приведут к полному смыканию краев
раны и избавят Вас от хлопот с санацией и закрытием раны. Она закроется сама в течение 1,5 мес.
При этом можете одновременно пойти на удлинение в проксимальном отделе, используя любые известные Вам (и нам) методики.
Лично мне никогда не нравилась тактика низведения фрагментов, а после плотного знакомства с работами Александра Лернера я стал однозначным сторонником тактики острого укорочения, используя её не только в свежих случаях, но и в застарелых, и даже совсем застарелых...
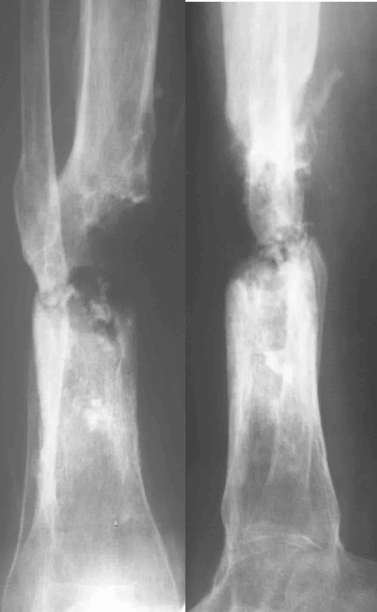
Добавляю свой пятак, не дожидаясь завершения случая, который приберегал "на третье". Выбрал фото мягких тканей.

Кратко: мужчина за 60 лет получил травму 28 лет назад (переехало автобусом). Оперировался десятки раз, в итоге с очередным патологическим переломом, хронической язвой и гипсовой лонгетой попал ко мне... Объективно - остеомиелит, инфицированный ложный сустав (или как его назвать), флегмона по наружной поверхности
голени, укорочение около 5 см.
На операции резекция 8 см, внешний остеосинтез,одновременное сближение примерно на 4 см, а затем постепенное сближение до полного контакта в течение 3 недель. Рана с патологически измененными краями, имевшая на операции размеры примерно 4-5 на 10-12 см закрылась самостоятельно в течение примерно 2-х мес. Ну не самостоятельно, конечно, а с нашей помощью, но без пластики.
Сейчас в аппарате вытянул около 6 см в верхней трети.
Желаю удачи.
С уважением Александр Артемьев
|
| Послать ответ |
Обратите внимание: Поля с жирными названиями обязательны.
Старайтесь отвечать в рамках обсуждаемой темы, а не начинать новые обсуждения.
Указывайте адекватную тему сообщения, чтобы было ясно, о чем оно.
Не послайте сообщений не по теме (оффтопик), раздраженных, грубых или обидных комментариев. Здесь это неуместно.
|