AOTRAUMA.ORG Центр Илизарова  

Ортопедия и травматология Общие вопросы/General questions Help Информационные технологии в медицине
 вверх
 отправить
 поиск
 админ
 главная


Осложненный перелом таза
Ортопедия и травматология Отправлено Бережной Сергей 25 Ноябрь 2009, 03:09 "Мединцентр" ГлавУпДК
Пациент 55 лет,монтажник, получил травму 21.11.09 - на левое бедро обрушилась стена канавы 3 м глубины.
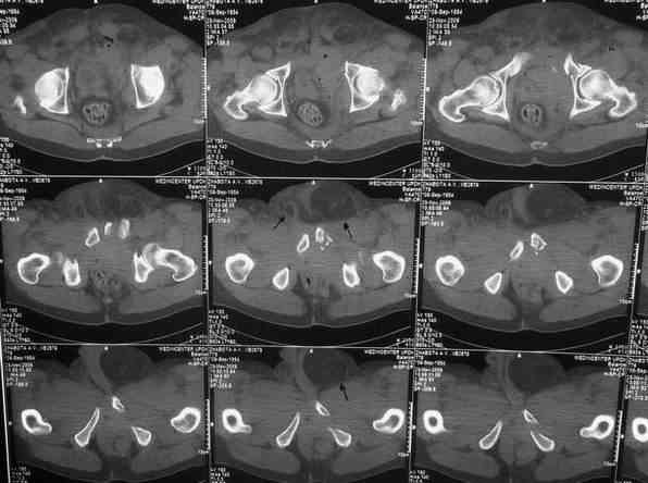
Уважаемые коллеги.У больного оскольчатые переломы левых лонной и седалищной костей со смещением, разрывом симфиза и распространением линии перелома на вертлужную впадину; переломы крыла левой подвздошной кости и правой боковой массы крестца без смещения; разрыв уретры.За последние годы пациент 6 раз оперирован на передней брюшной стенке (гнойный аппендицит срединным доступом, вентральная послеоперационная грыжа и паховые грыжи с обеих сторон, оперированные по 2 раза каждая). Остались 3 грубых втянутых рубца после этих операций. В настоящее время имеются 2-сторонние паховомошоночные грыжи (на одной из КТ-грамм указаны стрелками), из которых левая - значительных размеров. Мошонка огромная, однако, не напряженная. Состояние больного на сегодняшний день относительно удовлетворительное, кровопотеря компенсирована, мочевой пузырь катетеризирован.Прошу мнения сообщества по следующим вопросам: выполнять ли в таких условиях остеосинтез? Если да, то в какой последовательности (отдельно или одним этапом с герниотомией)? Объем остеосинтеза? Доступ?

<  |  >

 

  • Сообщения о Ортопедия и травматология
  • Также Бережной Сергей
  • Связаться с автором
  • Ответить

    Re: Осложненный перелом таза
    Атом Тер-Григорян 26 Ноябрь 2009, 03:57
    Доброго времени суток, Сергей. В данном случае фиксация переднего полукольца желательна, так как имеется разрыв уретры (вероятнее всего его мембранозного отдела). Иными словами, нужно восстановить тазовую диафрагму. Доступ - надлобковый в сочетании с неполным подвздошно-паховым доступом по Letournel слева. Нет необходимости в полной визуализации внутренней подвздошной ямки, а, следовательно, и в отсечении мышц от гребня подвздошной кости. Напротив, тщательное выделение элементов в передних отделах создаст благоприятные условия, как для синтеза, так и для герниопластики. После выделения и остеосинтеза (реконструктивная пластина 3-4 отверстия справа и до внутренней подвздошной ямки - слева) выполнить герниотомию. Грыжи рецидивирующие и скорее всего без пластики (к примеру по Lichtenstein) не обойтись. Да, если выполнены уретрограммы и имеется полный отрыв уретры или повреждена ее значительная часть, то нужно определиться с цистостомией. Перкутанная эпицистостомия в послеоперационном периоде будет более предпочтительна. В задних отделах вертикальной нестабильности нет.
    С уважением, Атом Тер-Григорян
    Москва, ГКБ №15, 1 травматологическое отделение.

    [ Ответить ]

    Re: Осложненный перелом таза
    Алексей 26 Ноябрь 2009, 21:40
    Это ротационно-нестабильное повреждение можно (и нужно при наличии цистостомы)вылечить аппаратом внешней фиксации.
    [ Ответить ]

    Re: Осложненный перелом таза
    Белоконь Александр 27 Ноябрь 2009, 00:59
    Уважаемый Сергей! Данный вид травмы думаю нужно лечить аппаратом внешней фиксации ( фиксация переднего отдела) и постельным режимом до 6-8 недель. Наличие паховых грыж должно беспокоить только в случае появления признаков кишечной непроходимости, в остольном же их наличие не влияет на оперативную тактику. Решить вопрос об их оперативном лечении можно после консолидации переломов.
    [ Ответить ]

    Re: Осложненный перелом таза
    Белоконь Александр 27 Ноябрь 2009, 01:07
    Кстати о цистостоме! Думаю она не обязательна. Если пассаж мочи не затруднен, то достаточно будет и поставленного катетера, - разрыв уретры заживет на нем.
    [ Ответить ]

    Re: Осложненный перелом таза
    Ганин 06 Декабрь 2009, 02:57
    Уважаемый Сергей,по нашему мнению данный вид повреждения требует малоинвазивной хирургической тактики: фиксация наружным аппаратом, задние структуры таза- перкутантная фиксация. Лечение паховомашоночных грыж по стабилизации состояния пострадавшего.
    [ Ответить ]


    ( Ответить )

    Powered by Zope  Squishdot Powered MedLink
    Посетитель: 0174131
      "По форме правильно, а по существу - издевательство" В.И.Ленин
    ©2001-2019Orthoforum Coordinator.
    [ Главная | Отправить сообщение | Поиск | Админ ]