Ответить
|
Re: застарелый открытый многооскольчатый перелом бедренной кости
Тони 28 Ноябрь 2009, 00:23
|
Мое мнение, что в данной ситуации надежней аппаратное лечение. Убрать отломки, адаптировать место перелома, не обязательно резекция, можно косо. Вверху остеотомия с компенсацией укорочения. БИОС можно, но аппарат в данной ситуации надежней.
|
[
Ответить ]
|
Re: застарелый открытый многооскольчатый перелом бедренной кости
Карелкин Виталий 28 Ноябрь 2009, 00:56
|
Обратите внимание на сохраняющуюся зону роста в метафизе. Не является ли это противопоказанием к интамедуллярному остеосинтезу?
|
[
Ответить ]
|
Re: застарелый открытый многооскольчатый перелом бедренной кости
Alexander Chelnokov 28 Ноябрь 2009, 01:27
|
Дистрактор пригодится, конечно. Торопиться уже некуда, так что постепенная репозиция аппаратом выглядит более подходящей. После восстановления длины и оси намерение делать открытую репозицию должно исчезнуть. Покрытый цементом гвоздь здесь вполне уместен. Антеградно вполне здесь выполнимо, ретроградное введение вряд ли улучшит что-то.
|
[
Ответить ]
|
Re: застарелый открытый многооскольчатый перелом бедренной кости
Отправитель: Николов Олег 29 Ноябрь 2009, 21:52
|
Всеж на наш взгляд укорочение конечности и плонтость свежей костной мозоли не выглядят катастрофическими. Будем пытаться одномоментно скоррегировать.
А опыт введения антеградных штифтов с короткими дистальными фрагментами бедренной кости в застарелых случаях у нас небольшой и всегда большие трудности с репозицией-манипулированием дистальным отломком. На мой взляд манипулировать таки легче на штифте с провизорными шилами-винтами...
С уважение Николов О.В.
|
[
Ответить ]
|
Re: застарелый открытый многооскольчатый перелом бедренной кости
Отправитель: Alexander Chelnokov 30 Ноябрь 2009, 01:22
|
Всеж на наш взгляд укорочение конечности и плонтость свежей костной мозоли не выглядят катастрофическими. Будем пытаться одномоментно скоррегировать.
Зачем эти травматичные "геройские" попытки? Которые еще и кончаются зачастую не сильно радостными рентгенограммами. При тугоподвижности постепенная репозиция куда как менее травматична. И можно надежно убедиться, что в аппарате достигнуто необходимое положение отломков. А потом только его лишь зафиксировать. Да, это две операции (наложение аппарата и штифтование), но они обе несложные, не требующие ни героизма, ни виртуозности.
А опыт введения антеградных штифтов с короткими дистальными фрагментами бедренной кости в застарелых случаях у нас небольшой и всегда большие трудности с репозицией-манипулированием дистальным отломком.
Напоминаю, что здесь лежит наша методичка именно про антеградное штифтование при дистальных переломах бедра.
|
[
Ответить ]
|
Re: застарелый открытый многооскольчатый перелом бедренной кости
Отправитель: Alexander Artemiev 30 Ноябрь 2009, 00:28
|
Здравствуйте, Олег.
1. В целом я бы поддержал мнение Александра Челнокова:
> Дистрактор пригодится, конечно. Торопиться уже некуда, так что
> постепенная репозиция аппаратом выглядит более подходящей. После
> восстановления длины и оси намерение делать открытую репозицию должно
> исчезнуть. Покрытый цементом гвоздь здесь вполне уместен. Антеградно
> вполне здесь выполнимо, ретроградное введение вряд ли улучшит что-то.
С традиционно более сдержанным отношением ко второму этапу (внутреннему остеосинтезу). Поскольку после дистракции и исчезновения
намерения делать открытую репозицию при таких темпах регенерации до сращения останется 3-4 недели.Не думаю, что гвоздь здесь будет вполне уместен.
Не уверен, кстати, что дистракция удастся. Во всяком случае делать её нужно постепенно, как при удлинении.
3. Ключевой мне представляется вот эта фраза:
"...и когда все от него отказались - он достался мне. В настоящее время подвижности в зоне перелома уже нет..."
Это говорит о том, что
- пацан в принципе никому не нужен и неинтересен;
- перелом уже сросся. Это видно и на снимках.
Поэтому можно просто снять вытяжение и начать т.н. реабилитацию - разработку движений и пр.
Т.е. можно уже ничего не делать вообще. А это так приятно...:)
Функция будет вполне хорошая. Ещё и отмазка от армии будет из-за небольшого уекорочения и деформации.
Ну а потом, когда все созреют - сделаете корригирующую остеотомию.
Это будет менее хлопотно, чем пытаться что-то сделать сейчас.
3. Ну и, наконец, самое главное...
Этот случай является типичной иллюстрацией возведенного в культ нежелания, переросшего в неумение, использовать самые простые, но
эффективные методы консервативного лечения. Не вижу препятствий к тому, чтобы сразу сделать нормальное вытяжение с восстановлением как
минимум оси конечности. Читайте Бёлера и Ключевского.
За чей счёт, кстати, конструкции и лечение?
Удачи.
С уважением Александр Артемьев
|
[
Ответить ]
|
Re: застарелый открытый многооскольчатый перелом бедренной кости
Отправитель: Alexander Chelnokov 30 Ноябрь 2009, 02:01
|
A> Т.е. можно уже ничего не делать вообще.
IMHO здесь деформация за рамками приемлемого. И для "неделания вообще" должна быть какая-то веская причина.
|
[
Ответить ]
|
Re: застарелый открытый многооскольчатый перелом бедренной кости
Отправитель: Alexander Chelnokov 01 Декабрь 2009, 00:06
|
> IMHO здесь деформация за рмками приемлемого.
"Ко всему подлец-человек привыкает..." (Ф.М.Достоевский)
Вероятность функциональной адаптации, причем вполне нормальной, гораздо больше, чем возможность избежать дополнительных осложнений при том зуде в руках, который уже наметился...
> И для "неделания вообще"
> должна быть какая-то веская причина.
Об этом раньше надо было думать... Ну будем обострять.
Сказали же - неплатежеспособен!
А веская причина - консолидация перелома.
С уважением Александр Артемьев
|
[
Ответить ]
|
Re: застарелый открытый многооскольчатый перелом бедренной кости
Отправитель: Alexander Chelnokov 01 Декабрь 2009, 00:19
|
> Вероятность функциональной адаптации, причем вполне нормальной, гораздо больше, чем
> возможность избежать дополнительных осложнений при том зуде в руках,
Все-таки тут другие альтернативы. Не между "делать-не делать", а между разными вариантами решения задачи восстановления оси и длины.
> Сказали же - неплатежеспособен!
Тут можно все сделать не сильно затратно, без импортных имплантатов. Кроме того, есть квоты в федеральные центры.
> А веская причина - консолидация перелома.
Вряд ли это причина мириться с такой деформацией.
Скорее, это всего лишь причина делать корригирующую остеотомию, а не закрыто дистракцию.
|
[
Ответить ]
|
|
Re: застарелый открытый многооскольчатый перелом бедренной кости
Курышев Данила 28 Ноябрь 2009, 01:39
|
В 17 лет можно накрепко забыть про остатки ростковой зоны и не опасаться вторичных деформаций роста. Здорово будет и БИОС и LCP и LISS. "Бусы" можно положить параоссально, я думаю.
А почему взрослых травматологов так пугают остатки физарного хряща у подростков? Иногда и в 20 лет можно найти их рентгенлогические признаки. Моему другу из-за этого начальство не разрешало выполнить пластику ПКС у парня в 18 лет.
Это только мнение. С глубоким уважением!
|
[
Ответить ]
|
Re: застарелый открытый многооскольчатый перелом бедренной кости
Отправитель: Николов Олег 29 Ноябрь 2009, 21:56
|
Остатки зоны роста действительно пугают взрослых травматологов))
Думаю в данной ситуации с учетом возраста и возможных вариантов мы свой стhах переборем, но будем к зоне роста всеж внимательны.
С уважением Николов О.В.
|
[
Ответить ]
|
|
Re: застарелый открытый многооскольчатый перелом бедренной кости
Андрей Мелешкин 28 Ноябрь 2009, 02:05
|
С учетом давности травмы, наверно лучше апарат Илизарова (для изначальной дистракции). Мне также советовал Дмитрий Бондарь для перелома бедра (см. "сочетанная травма" от 21.11.09
(http://www.weborto.net/forum/1258797106/index_html)). Я же, в связи с отсутствием опыта ретроградного штифтования и сложностью для меня аппарата Илизарова в данной ситуации предпочел МОС опорной мыщелковой пластиной - пришлось пойти на укорочение 2см.
Удачи!
С уважением А.М.
|
[
Ответить ]
|
Re: застарелый открытый многооскольчатый перелом бедренной кости
Ерсин Жунусов 29 Ноябрь 2009, 01:34
|
Уважаемые коллега!
С учетом времени после травмы, течения открытого перелома и немаловажное то, что пациенту после ЧКДО в 90% обеспечена потеря функции коленного сустава поэтому в данном клиническом случае оптимально было бы ЗБИОС. По технике операции мое мнение примерно такое же как у А.Н., но мне кажется учитывая короткий дистальный отломок, после предварительного (дистрактором)восстановления длины и оси конечности не обращая внимание на наличие осколоков оптимально будет произвести ретроградный остеосинтез цементным+АБ покрытием. По окончании операции необходимо произвести редресацию коленного сустава, проведенный ретроградно стержень позволяет увеличить стабильность короткого отломка, тем самым способствует раному начатию опорно-двигательной функции.
В принципе при полиаксиальной блокировке субхондрально установленного антеградного стержня стабильность тоже достаточная, но полиаксиальные винты могут попасть в зону осколоков, стандартная дистальная блокировка не будет достаточной. С уважением Ерсин Жунусов.
|
[
Ответить ]
|
Re: застарелый открытый многооскольчатый перелом бедренной кости
Отправитель: Николов Олег 29 Ноябрь 2009, 21:45
|
В общем такой палн на операцию и предполагается. Как и всегда хочется одномоментно всего... вот только открытия зоны перелома боюсь не избежать, но посмотрим.
По поводу ретрогадно проведенного стержня - думаю и манимулировать дистальным отломком при репозиции полегче.
И еще момент - пациент неплатежеспособен, из вариантов наиболее приятен больнице-главному врачу заказанный нами ретроградный штифт.
|
[
Ответить ]
|
Re: застарелый открытый многооскольчатый перелом бедренной кости
Отправитель: Alexey Semenisty 30 Ноябрь 2009, 02:05
|
>В общем такой палн на операцию и предполагается. Как и всегда хочется одномоментно всего... вот только открытия зоны перелома боюсь не избежать, но посмотрим.
Именно попытка сделать все одномоментно, да еще и открывание и скелетированием зоны перелома, и было бы самой большой ошибкой! Не буди лихо, пока оно тихо!
Скорее я Соглашусь с Александром Артемьевым, что лучше оставить пока как есть, чем идти сечас на одномоментную открытую коррекцию.
С уважением, А.Семенистый.
ГКБ № 13, Москва.
|
[
Ответить ]
|
Re: застарелый открытый многооскольчатый перелом бедренной кости
Отправитель: Alexander Chelnokov 30 Ноябрь 2009, 02:09
|
AS> что лучше оставить
AS> пока как есть, чем идти сечас на одномоментную открытую коррекцию.
Крайние варианты обозначены - 1)оставить как есть и 2)открытая репозиция. Похоже, истина где-то посередине ;-))
|
[
Ответить ]
|
Re: застарелый открытый многооскольчатый перелом бедренной кости
Отправитель: Alexey Semenisty 01 Декабрь 2009, 00:04
|
Безусловно).
Я к тому, что бездействие принесет меньше вреда, чем попытка одномоментной открытой..
|
[
Ответить ]
|
|
Re: застарелый открытый многооскольчатый перелом бедренной кости
Антон Андрианов 29 Ноябрь 2009, 13:01
|
Не стоит говорить о том, что упущено при первичной обработке. К сожалению до сих пор и в травматологических отделениях у политравмированных пациентов обработка открытого перелома заканчивается наложением скелетного вытяжения.У нас в Казахстане, во всяком случае.
Сейчас, когда Вам удалось справиться или притушить инфекцию к чему усложнять ситуацию и искать более дорогое и сложное решение стержневанием гвоздем с антибактериальным покрытием.При отсутствии подвижности в переломе возможна кортикотомия из небольшого доступа для узкого долота,монтаж стержневого или спице-стержневого аппарата,коррекция смещений.Я бы не судил столь категорично о судьбе коленного сустава - при ЧКДО, особенно при грамотной установке дистальных стержней все не так грустно в перспективе.Принцип простоты\бритва Оккамы\ не устаревает.
|
[
Ответить ]
|
Re: застарелый открытый многооскольчатый перелом бедренной кости
Отправитель: Николов Олег 29 Ноябрь 2009, 22:04
|
Поностью согласен с вами о резервах в тактике лечения больного сразу после травмы. Хотя и на скелетном вытяжении можно было бы не так испортить картину, внимания должного больной не получил.
По поводу дороговизны - так хороший аппарат не будет дешевле штифта.
И мы всеж хотели б попытаться одномементно решить все проблемы.
С уважением Николов О.В.
|
[
Ответить ]
|
Re: застарелый открытый многооскольчатый перелом бедренной кости
Отправитель: Alexander Chelnokov 30 Ноябрь 2009, 01:56
|
> более дорогое и сложное решение
> стержневанием гвоздем с антибактериальным покрытием.
А это смотря как считать. При этом варианте срок нетрудоспособности может оказаться в несколько раз короче. Это чего-то стоит.
> При отсутствии
> подвижности в переломе возможна кортикотомия из небольшого доступа
> для узкого долота,монтаж стержневого или спице-стержневого
> аппарата,коррекция смещений.Я бы не судил столь категорично о судьбе
> коленного сустава - при ЧКДО, особенно при грамотной установке
Аппаратное лечение как окончательное, конечно, тут возможно. И это много где до сих пор метод выбора, а уж лет 10 назад в xUSSR другие
варианты даже бы не предполагались.
Но на сегодня есть более привлекательный и эффективный подход, двухэтапное лечение, включающее постепенное аппаратное исправление
длины, оси и ротации, с немедленным переходом по окончании коррекции на малоинвазивную внутреннюю фиксацию.
Насчет колена - полагаю, проблемы с движениями уже есть. А сочетание спиц в дистальном отделе бедра с дистракцией "замораживает" и мобильное до того колено. Конечно, далеко не всегда необратимо, но снятие аппарата через 2-3 недели и агрессивная мобилизация с гвоздем внутри, т.е. без боязни рефрактуры или пластической трансформации, обеспечат и более полное, и в разы более скорое восстановление функции колена.
|
[
Ответить ]
|
|
Re: застарелый открытый многооскольчатый перелом бедренной кости
Тони 29 Ноябрь 2009, 14:53
|
Полностью согласен, при правильном наложении аппарат функция коленного сустава страдать не будет
|
[
Ответить ]
|
Re: застарелый открытый многооскольчатый перелом бедренной кости
Антон Андрианов 30 Ноябрь 2009, 20:47
|
Александр Николаевич,
полностью с вами согласен, что вариант аппаратной коррекции с последующим БИОС может значительно сократить время стационарного пребывания и придаст пациенту большую свободу.Но если допустить, что есть еще больницы без ЭОП, дистракторов и вообще без блокируемых стержней то аппаратный вариант, имхо,то, что дешево и надежно.Уважаемый Олег,с 90-х годов в нашем отделении оказались 6мм стержни пр-ва Матис. нарезали на них резьбу и приловчились с флажками крепить к полукольцам Илизарова.Эти простые конструкции быстро устанавливаются в ургентном порядке при открытых переломах.Хороший вопрос задает доктор Артемьев - за чей счет пир?
|
[
Ответить ]
|
Re: застарелый открытый многооскольчатый перелом бедренной кости
Отправитель: Alexander Chelnokov 01 Декабрь 2009, 01:24
|
> Но если допустить, что
> есть еще больницы без ЭОП, дистракторов и вообще без блокируемых
Представленная ситуация такие ограничения не включала.
|
[
Ответить ]
|
|
Re: застарелый открытый многооскольчатый перелом бедренной кости
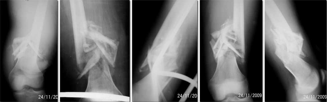
Николов Олег 01 Декабрь 2009, 20:44
|
Сегодня кинули аппарат. Мнение уважаемых коллег повлияло на тактику лечения) Всем спасибо. Мозоль поломали, длина есть, осевые деформации небольшие. Выложу снимки после окончательной коррекции думаю дней через 10.
На операции не сложилось впечатление о невыполнимости одномоментной коррекции и штифтования.
В коленном суставе контрактура до 140гр.
По поводу импланта - аппарат собирался из старых запасов, очень старых...
Штифт Остеомед длжна оплатить больница, уже 10 дней как должна, обещают.
|
[
Ответить ]
|
Re: застарелый открытый многооскольчатый перелом бедренной кости
Николов Олег 18 Декабрь 2009, 01:41
|

Прислушавшись к мнению уважаемых коллег провели двухэтапное лечение пациента. Пару дней
назад забили штифт, без укорочения, колено редрессировали до 90гр. Всем спасибо за дельные
советы.
Николов Олег
|
[
Ответить ]
|
Re: застарелый открытый многооскольчатый перелом бедренной кости
Отправитель: Ерсин Жунусов 19 Декабрь 2009, 02:12
|
Уважаемые коллеги! Очень демонстративный и профессионально проведенный остеосинтез. Удачи, так держать! С уважением Ерсин Жунусов.
|
[
Ответить ]
|
Re: застарелый открытый многооскольчатый перелом бедренной кости
Отправитель: Alexander Chelnokov 19 Декабрь 2009, 03:20
|
Поздравляю, очень симпатично получилось.
|
[
Ответить ]
|
|
Re: застарелый открытый многооскольчатый перелом бедренной кости
алексей 22 Декабрь 2009, 01:42
|
да...действительно картинка получилась красивая,а как насчет местной картины , открывались ли в области перелома во время операции, нет ли ран , воспаления?
|
[
Ответить ]
|
Re: застарелый открытый многооскольчатый перелом бедренной кости
Отправитель: Николов Олег 23 Декабрь 2009, 00:34
|
От открытия зоны перелома меня ж отговорили. От того и два этапа лечения. Раны зажили до наложения аппарата, воспаления нет.
|
[
Ответить ]
|
|
Re: застарелый открытый многооскольчатый перелом бедренной кости
Руслан 26 Декабрь 2009, 21:25
|
Хочется спросить, внешний дефект есть?еще этап по коррекции костной мозоли будет?
|
[
Ответить ]
|
( Ответить )
|
|