AOTRAUMA.ORG Центр Илизарова  

Ортопедия и травматология Общие вопросы/General questions Help Информационные технологии в медицине
 вверх
 отправить
 поиск
 админ
 главная
 Предыдущее


Re: Перелом бедренной кости
Николов Олег 18 Декабрь 2009, 01:16


Уважаемые коллеги, прооперирована пациентка антеградным штифтом Остеомед, костная пластика не проводилась. Выбранный штифт по каналу бедренной кости на фоне отсутствия переднего кортикала в канале не центрируется. Технически неприятно, отсутствие передней и внутреннебоковой стенки до зоны мыщелков сильно затрудняло репозицию. Получилась вот такая картина. После стабилизации - очевидное повреждение ПКС и боковая нестабильность. В общем и далее будет чем заняться. Нам и в дальнейшем будет очень интересно мнение коллег.
  • Сообщения о Ортопедия и травматология
  • Также Николов Олег
  • Связаться с автором
  • Ответить

    Re: Перелом бедренной кости
    Alexander Chelnokov 20 Декабрь 2009, 15:09
    НО> пластика не проводилась. Выбранный штифт по каналу бедренной кости на фоне отсутствия
    НО> переднего кортикала в канале не центрируется.


    Можно создать искусственную стенку из спиц или винта.

    НО> Получилась вот акая картина.

    Молодцы, здорово получилось. Как ввдили самый дистальный винт? Надколенник не мешал?

    [ Ответить ]

    • Re: Перелом бедренной кости
      Отправитель: Николов Олег 21 Декабрь 2009, 00:14
      Пробовали цетрировать штифт спицами, да не вышло... прет спереди и всё, картину тока портит))
      А надколенник мешал слегка, но... штифт слегка предмоделирован до начала операции и угол введения дистального винта был градусов на 15 изменен, в итоге серьезной помехи надколенник не создал.
      С уважением Николов О.В.


      [ Ответить ]
      • Re: Перелом бедренной кости
        Отправитель: VlaD 22 Декабрь 2009, 16:43
        Уважаемый коллега Олег!
        Как я уже отмечал, в общем, оперативное вмешательство выполнено хорошо. Но если вас интересуют причины ваших затруднений по ходу оперативного вмешательства, то они, с моей точки зрения, следующие. К сожалению, вы не отметили, как вы выполняли оперативное вмешательство. Если оперативное вмешательство выполнялось на тракционном столе или использовался спицевой дистракционный аппарат, то причина того, что у вас были трудности с точным расположением штифта в дистальном отломке и оставшейся, до конца не устранённой передней угловой деформацией (около 15°) – неправильное расположение спицы дистракционного или цуг-аппарата в дистальном отломке бедренной кости. Я уже подчёркивал, что у вас возникнут трудности с устранением передней угловой деформации, и из-за неё вам тяжело было войти стержнем в костномозговой канал дистального отломка. Безусловно, можно использовать и отклоняющие спицы и шурупы Poller, но всё это малоэффективно при разбитом дистальном отломке, занимает время и требует десятки нажатий на педаль ЭОПа. Между тем решение проблемы лежит на поверхности. Просто необходимо правильно (в механически обоснованной точке) провести спицу в мыщелках бедренной кости, которая закрепляется в дуге цуг-аппарата (или в кольце спицевого дистракционного аппарата). При правильном проведении спицы и дистракции костных отломков одновременно устраняется и передняя угловая деформация в месте перелома.
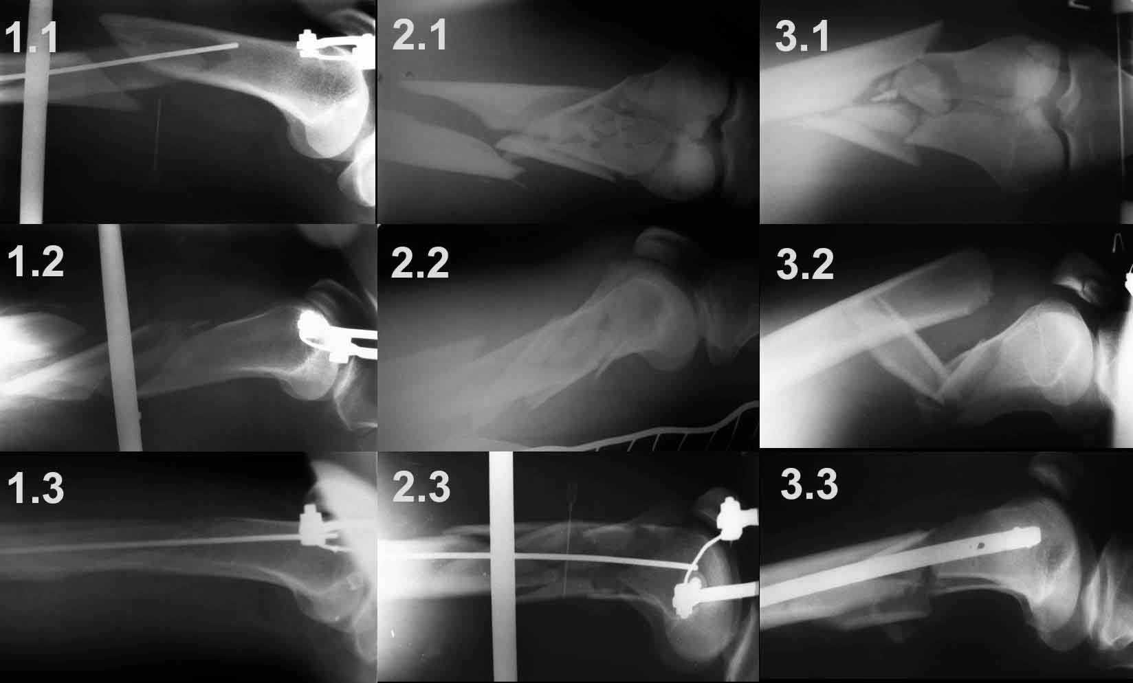
        Для примера – вложенный файл.



        1.1 – спица проведена сразу за передним кортикальным слоем дистального отломка, поэтому при дистракции появляется задний угол.
        1.2 - спица проведена на линии середины диафиза бедренной кости, что привело к передней угловой деформации
        1.3 - спица проведена в механически обоснованной точке (0,5 – 0,7 см дорсальнее передней поверхности кортикального слоя), что привело к репозиции костных отломков и ликвидации угловых деформаций.
        2.1 -2.3 и 3.1 – 3.3 служат подтверждением того, что любую угловую деформацию при коротком дистальном отломке можно весьма просто устранить, правильно расположив спицу цуг-аппрата.
        И ещё. Хотелось бы получить ответы на следующие вопросы, если это возможно: как долго длилось оперативное вмешательство, сколько раз нажимали на педаль ЭОПа, общее время режима прямой флюроскопии во время вмешательства. Со своей стороны могу сказать, что для выполнения такого рода оперативных вмешательств мы трижды прибегаем к рентгенографии (при каждой снимки выполняются в двух проекциях)
        1 После дистракции костных отломков (устанавливается точность репозиции и устранения угловых деформаций)
        2 После проведения проводника перед рассверливанием (для подтверждения нахождения проводника в обоих отломках и точного выбора длины стержня)
        3 После введения стержня (для определения точной глубины введения стержня)
        Режим прямой флюроскопии мы не используем. Дистальные блокирующие винты (во всех плоскостях) вводим с помощью механического прицельного устройства. Поэтому я не вижу такого этапа оперативного вмешательства, который нельзя было выполнить без электроннооптического преобразователя и его отсутствие не должно быть препятствием для выполнения операций interlocking. ЭОП – это только средство визуализации. Репозицию костных отломков введение имплантата выполняет хирург, а не ЭОП, и, зная общие закономерности добиться этого значительно проще, чем десятки раз нажимая на педаль ЭОПа. Что, собственно, и подтвердил ваш случай.



        С уважением, VlaD.




        [ Ответить ]
        • Re: Перелом бедренной кости
          Отправитель: Николов Олег 23 Декабрь 2009, 00:23
          Операция выполнялась на ортопедическом столе.
          Общее время нахождения в операционной составило около 3,5 часов, бедро заняло около 2-х. У больной имелся также перелом в/3 костей контрлатеральной голени, там тоже пришлось помучиться, репозиция была не без проблем), остеосинтез проксимальным эскпертом остеомед. Работа ЭОПа составила около 5 минут.
          Повторюсь - "Выбранный штифт по каналу бедренной кости на фоне отсутствия переднего кортикала в канале не центрируется", при устранении угловой деформации штифт фактически не попадал в дистальный отломок, отсюда и мучения...
          Обычное время работы ЭОПа про отсутствии каких-либо интраоперационных проблем при интрамедуллярном остеосинтезе не превышает одной минуты.

          [ Ответить ]
        • Re: Перелом бедренной кости
          Отправитель: Alexander Chelnokov 23 Декабрь 2009, 00:26
          > то причина того, что у вас были трудности с точным расположением
          > штифта в дистальном отломке


          Трудности могли быть и с расположением гвоздя в центральном отломке.
          Обусловлены они могут быть и несоответствием изгибов гвоздя и канала, и чрезмерно задней точкой входа.


          > решение проблемы лежит на поверхности. Просто необходимо правильно
          > (в механически обоснованной точке) провести спицу в мыщелках
          > бедренной кости, которая закрепляется в дуге цуг-аппарата


          Такое проведение спицы при свежих переломах часто достаточно, типичная рекурвация устраняется. Но бывает, дстальный отломок располагается в положении, обратном типичному, в антекурвации, и такая одна спица может ее усугубить.
          При операциях в срок больше 2-3 нед. подвижность отлмоков уже не та. И одна спица может и не устранить угловое смещение, и даже длину проблематично восстановить. И, случается, одна спица прорезается.
          Поэтому мы лет уже 5 как отказались от проведения единичной спицы в передней части мыщелков при околосуставных переломах, последние несколько лет проводим две паралллельные в передней и задней части. И проблемы с углами во всех плоскостях решаются более универсально, в т.ч. при невозможности одномоментного восстановления длины проводится дозированное в аппарате.


          > выполнения такого рода оперативных вмешательств мы трижды прибегаем
          > к рентгенографии (при каждой снимки выполняются в двух проекциях)


          Но при наличиии мобильной C-дуги это просто избыточно, обычно рентгенография нужна одна - для документирования итогов операции.

          > 1 После дистракции костных отломков (устанавливается точность
          > репозиции и устранения угловых деформаций)


          И вот она неточная установилась, к примеру...

          > 2 После проведения проводника перед рассверливанием (для
          > подтверждения нахождения проводника в обоих отломках и точного выбора длины стержня)


          Положим, прооводник оказался не там, а то и вообще стержень сплошной, проводник не нужен.


          > 3 После введения стержня (для определения точной глубины введения стержня)

          Контролировать глубину введения стержня надо не после, а во время, чтобы знать, когда остановиться, а когда продвинуть дальше на 1 мм. А то еще и канал приходится формировать в мыщелках при плотной кости, и возможность видеть, где находится изогнутое шило-развертка, и куда движется при повороте, трудно переоценить.

          > Режим прямой флюроскопии мы не используем.

          Коллеги, если такая возможность есть, нет причин ей не пользоваться.
          Прошу прощения за такую "аналогию", но это как известный персонаж анекдотов после переселения из чума в городскую квартиру какое-то время туалетом дома не пользуется, а бегает на улицу. Радиофобия тоже со временем проходит.

          > Дистальные блокирующие
          > винты (во всех плоскостях) вводим с помощью механического
          > прицельного устройства.


          Есть множество систем гвоздей, не для всех есть нацеливающие приспособления, кроме того, они ненадежны, и тоже требуют времени. Да и гвоздь, бывает, дополнительно моделировать приходится. И free hand - наиболее распространенный подход у имеющих достаточный опыт. Начинающим, наверно, лучше пользоваться нацеливающими
          приспособлениями.


          > Поэтому я не вижу такого этапа оперативного
          > вмешательства, который нельзя было выполнить без
          > электроннооптического преобразователя и его отсутствие не должно
          > быть препятствием для выполнения операций interlocking.


          Речь не о таком уж черно-белом, что совсем уж "нельзя без ЭОП". С ЭОП многие моменты гораздо более контролируемы. Взять хотя бы введение спицы в точку входа. Не так много супер-виртузов, "видящих" сквозь 15 см жира. Можно и разрез сдедать побольше, и пальцем залезть, но с
          ЭОП это не нужно.

          > ЭОП - это только средство визуализации. Репозицию костных отломков
          > введение имплантата выполняет хирург, а не ЭОП,


          но контролирует ход событий он, глядя на экран или на снимок на пленке. В общем, картинки практически одни и те же, только ждать не надо.


          > и, зная общие закономерности добиться этого значительно проще, чем десятки раз
          > нажимая на педаль ЭОПа. Что, собственно, и подтвердил ваш случай.


          Безусловно, техника предварительной репозиции очень важна, особенно при околосуставных переломах, при которых, в отличие от диафизарных,
          репозицию делает не стержень, а хирург. Владение приемами репозиции не повод отказываться от визуального контроля. Так же как и умение
          что-то делать с закрытыми глазами не повод их держать закрытыми - можно что-то интересное пропустить.

          [ Ответить ]

     

    ( Ответить )

    Powered by Zope  Squishdot Powered MedLink
    Посетитель: 0000149
      "По форме правильно, а по существу - издевательство" В.И.Ленин
    ©2001-2019Orthoforum Coordinator.
    [ Главная | Отправить сообщение | Поиск | Админ ]