AOTRAUMA.ORG Центр Илизарова  

Ортопедия и травматология Общие вопросы/General questions Help Информационные технологии в медицине
 ВХОД ДЛЯ ПАЦИЕНТОВ
 вверх
 поиск
 админ
 главная


переломы ребер
Ортопедия и травматология Прислано Djoldas Kuldjanov 24 Декабрь 2009, 00:45
из
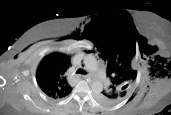
К нам поступила больная 56 лет после автоаварии в бессознательном состоянии, которая срочно заинтубирована в приемном отделении и сделаны необходимые исследования. Данные КТ и рентген показали перелом дистального бедра и Dissociation upper extremity - закрытый отрыв левой верхней конечности на уровне грудинно-ключичного сочленения и множественные переломы ребер.
На поверхности грудной клетки из-за полного разрыва грудной мышцы под кожей заметно биение сердца и след от ремня безопасности. Грудная клетка расширена из-за смещения верхней конечности вверх и латерально. Признаков васкулярного повреждения нет, и из-за отсутствия сознания не смогли определить наличия повреждения нервов.

Срочно в операционной наложен наружный фиксатор и травма хирургом поставлены трубки в плевральную полость.

На седьмые сутки нами совместно с торакальным хирургом сделана операция по фиксации грудинно-ключичного сочленения и переломов ребер.

После кожного разреза обнаружили полный разрыв грудной мышцы и повреждение перикард от уровня второго до восьмого ребер. Хирург находился с нами и после нашей работы зафиксировал повреждение перикарда и разрыв грудной мышцы.

Недавно сделана операция на дистальном бедре, которое за три недели почти срослось, и пришлось немного разрушить образовавшуюся мазоль.

Не все переломы ребра фиксированы, и поэтому хотели услышать комментарии тех, у кого имеется опыт.

Больная в данный момент с трахеостомой, стабильная, пришла в сознание. На сегодняшнем осмотре больная шевелит пальцами, что говорит об отсутствии повреждений нервов.

Пластина из Synthes http://int.synthesmatrixrib.com/html/Overview.5.0.html

Djoldas Kuldjanov, MD
Department of Orthopedic Surgery
St. Louis University Medical Center

Послать ответ

Имя
Email
Уведомление Сообщить мне по e-mail об ответах на это сообщение
Название
Комментарий
(Проверьте URL! Не забудьте написать http://!)
Кодировка
Если не знаете, что выбрать, выберите "Просто текст"!
Приложение
Можно приложить к сообщению файл c изображением, который затем будет доступен увидевшим сообщение.
Подготовка иллюстраций:
  • Рентгенограммы: черно-белые полутоновые изображения в формате JPEG (8 bit, greyscale) с разрешением от 300х200 до 1024х768 пикселов;
  • Клинические фотографии: полноцветные изображения в формате JPEG (24 bit, truecolor) с разрешением от 300х200 до 1024х768 пикселов;
  • Схемы и рисунки: черно-белые (2 bit) штриховые (line-art) изображения в формате GIF или compressed TIFF
  • Подберите степень сжатия файла JPEG и размер изображения таким образом, чтобы необходимые детали были различимы, но размер файла не превышал 75 кб.
  • Учтите, что текущая версия программного обеспечения Форума позволяет приложить к одному сообщению лишь один файл-вложение. Поэтому, если необходимо отправить несколько изображений, можно либо послать каждое как отдельное сообщение, либо в графическом редакторе объединить изображения в одно (сделать коллаж).
  • Если при подготовке изображений встречаются трудности, не стесняйтесь обратиться к координатору Форума.

  • Введите видимые символы в обратном порядке. Enter the above characters in reverse order (*Обязательно)
    В тексте сообщения можно использовать теги HTML <B> <I> <P> <A> <LI> <OL> <UL> <EM> <BR> <TT> <HR> <STRONG> <BLOCKQUOTE> <DIV .*> <DIV> <P .*>
  • Обратите внимание: Поля с жирными названиями обязательны.
  • Старайтесь отвечать в рамках обсуждаемой темы, а не начинать новые обсуждения.
  • Указывайте адекватную тему сообщения, чтобы было ясно, о чем оно.
  • Не послайте сообщений не по теме (оффтопик), раздраженных, грубых или обидных комментариев. Здесь это неуместно.
  • Powered by Zope  Squishdot Powered MedLink
    Посетитель: 0387839
      "По форме правильно, а по существу - издевательство" В.И.Ленин
    ©2001-2019Orthoforum Coordinator.
    [ Главная | Отправить сообщение | Поиск | Админ ]