AOTRAUMA.ORG Центр Илизарова  

Ортопедия и травматология Общие вопросы/General questions Help Информационные технологии в медицине
 вверх
 отправить
 поиск
 админ
 главная


Поиск квот на синтез
Ортопедия и травматология Отправлено Андрей 24 Декабрь 2009, 03:08
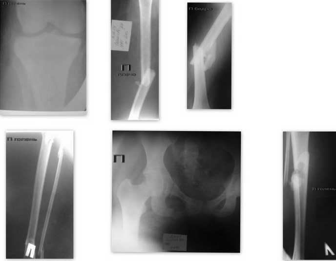
Добрый вечер коллеги! Имеется сочетанная травма от 8.12.09
Ушиб г\мозга легкой ст.. З\перелом с\3 п\плеча, з\перелом с\3 п\бедра, з\двойной перелом п\голени, з\перелом с\3 л\голени, перелом лонной и седалищной костей справа, перелом 3 ребер и ключицы справа. Хотели на 3-й день заштифтовать ("родственники не захотелии"). В результате, сейчас больная находиться в травм. отделении на скелетном вытяжении. В сознании, стабильна, адэкватна, субфибрильная Т тела. Неоднократные беседы с родственниками "про неплохо бы заштифтовать теперь уже в отсроченном периоде", привели заботливых родственников на "ковер". В результате дан приказ прекратить всякие переговоры и определить больную по квоте в какой-нибудь фед. центр! О результатах доложить!
ВОПРОС: возможно ли это!?
С уважением А.М.

<  |  >

 

  • Сообщения о Ортопедия и травматология
  • Также Андрей
  • Связаться с автором
  • Ответить

    Re: Поиск квот на синтез
    Alexander Chelnokov 24 Декабрь 2009, 04:14
    Конечно, возможно - получайте направление в своем облздраве. Единственная проблема - год почти закончился, и все квоты для вашего региона могут уже быть выбраны. В начале следующего года квоты будут снова. Можно к нам направить.
    [ Ответить ]

    Re: Поиск квот на синтез
    Дедок Михаил 25 Декабрь 2009, 00:07
    А вообще, какое отношение имеют родственники к решению вопроса об оперативном лечении. По Закону об охране здоровья граждан на оперативное лечение их согласия не требуется. А вот финансовый вопрос.... если они жадные, а у пациента нет денег....
    Скелетное вытяжение еще ни кто не отменял
    Существуют и другие методы синтеза

    Механизм получения квот:
    1. Осмотр главного областного специалиста, который дает заключение а целесообразности лечения в федеральных ЛУ
    2. С эпикризом, заключением специалиста, СНИЛС, копией паспорта и полиса обращаться в областной Департамент здравоохранения.
    При наличии денежных средств область выделяет деньги и пациент специализированным транспортом (при его наличии и наличии оплаты транспортировки и если он транспортабелен) доставляется в соответствующую клинику.
    Областного специалиста для прикрытия пятой точки пригласите на себя. Пусть он даст заключение :)
    А с этим заключением отправьте родственников в Департамент. Получат квоты... флаг в руки. Дама покидающая дилижанс облегчает движение.
    Не получат квоты- действуйте по принципу: друзьям все, врагам закон. Консервативное лечение никто не отменял. Родственники обязательно "проникнутся"

    Удачи!

    P.S. Никогда не проводите "неоднократных" бесед.
    Пациенту следует изложить варианты и предоставить право выбора. Пусть выбирает. Дозреет.. хорошо, не дозреет- его полное право. только в письменном виде ознакомьте с планом лечения.
    [ Ответить ]

    Re: Поиск квот на синтез
    Андрей Мелешкин 25 Декабрь 2009, 02:41
    Спасибо за интересные комментарии коллеги. Буду действовать согласно намеченному совместно плану!
    С уважением А.М.
    [ Ответить ]

    Re: Поиск квот на синтез
    Александр А. 04 Январь 2010, 05:27
    В отношении приобретения имплантов!
    Прошу пршения!
    Буквально неделю назад пережил две департаментские проверки!
    Первая трепала нервы! Вторая не выдержал. Ответил примерно следующее: если вопрос уголовно наказуем пусть этим занимается прокуратура ( деньги через мои руки не проходят), если всё строится на эмоциях и политиеских депресиях руководителей депортамента, то считаю эту тему закрытой, как ни странно подействовало. Они ведь и сами понимают, что пергибают палку.
    Как враги народа( выражаясь Сталинским языком) сами не в состоянии приобрести то, что надо, а больному запрещают, заведомо заставляя нас выпускать из отделения инвалидов.

    [ Ответить ]


    ( Ответить )

    Powered by Zope  Squishdot Powered MedLink
    Посетитель: 0000029
      "По форме правильно, а по существу - издевательство" В.И.Ленин
    ©2001-2019Orthoforum Coordinator.
    [ Главная | Отправить сообщение | Поиск | Админ ]