AOTRAUMA.ORG Центр Илизарова  

Ортопедия и травматология Общие вопросы/General questions Help Информационные технологии в медицине
 вверх
 отправить
 поиск
 админ
 главная


перелом бедра во время закрытого
Ортопедия и травматология Отправлено Павел 26 Январь 2010, 21:48
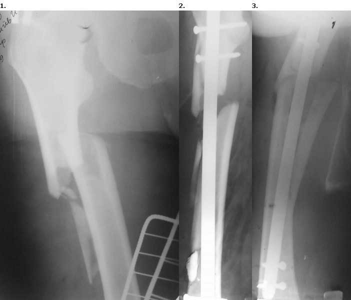
Доброго времени суток, уважаемые коллеги.Пациент 56 лет поступил в отделение 28.12.09 со свежим переломом в/3 правого бедра. 15.01.10 произведен закрытый БИОС гвоздем Sanatmetal.
(d13мм), во время которого произошло раскалывание проксимального и дистального отломков. ЭОПа в больнице нет, для определения локализации направителя пользовались стареньким "Арманом". После заведения гвоздя по проводнику снимки на столе больше не делали, дистальное блокирование оч.быстро с использованием электромагнитной навигации. В послеоперационном периоде выраженные боли и отек. На контрольных рентгенограммах вот такая картина.
После посмотрели за экраном - гвоздь стоит стабильно как в проксимальном, так и в дистальном отломке,но контакта между проксимальным и дистальным нет. Вопросы:
1. Что делать дальше? (По возможности бюджетно, поскольку пациент уже здорово потратился на гвоздь)
2. В какие сроки (если делать)?
3. Какие рекомендации по двигательному режиму?


<  |  >

 

  • Сообщения о Ортопедия и травматология
  • Также Павел
  • Связаться с автором
  • Ответить

    Re: перелом бедра во время закрытого
    Alexander Chelnokov 27 Январь 2010, 00:39
    Лучше бы увидеть снимки на всем протяжении, то есть с захватом смежных суставов.
    По пока представленному - ничего тревожного не видно. Пусть работает мышцами, сгибает колено, поднимает и сгибает ногу на весу сидя-лежа-стоя, ходит с костылями с частичной нагрузкой. И делать снимки каждые 4 нед. Должно срастись как есть месяцам к трем.
    [ Ответить ]

    • Re: перелом бедра во время закрытого
      Отправитель: Адонин 27 Январь 2010, 04:27
      согласен - оставить все, как есть

      [ Ответить ]
      • Re: перелом бедра во время закрытого
        Отправитель: Андрей Нещасный 28 Январь 2010, 01:29
        Не заморачивайтесь! Оставте все как есть! Дальше видно будет!!!

        [ Ответить ]
    Re: перелом бедра во время закрытого
    Андрей Нещасный 28 Январь 2010, 00:52
    Не заморачивайтесь, оставляйте пока все как есть.А там видно будет!!!
    [ Ответить ]

    Re: перелом бедра во время закрытого
    Андрей Нещасный 28 Январь 2010, 00:53
    Не заморачивайтесь, оставляйте пока все как есть.А там видно будет!!!
    [ Ответить ]

    http://Re: перелом бедра во время закрытого
    Нурмет Темирханов 10 Февраль 2010, 15:39
    Re: перелом бедра во время закрытого

    Судя по рентгенограмме бедра в боковой проекции, гвоздь в дистальном отломке заведен неправильно (упирается в передний кортикал), а в прямой проекции довольно солидный диастаз между отломками. Учитывая эти два фактора, можно предположить, что с началом нагрузки на конечность стержень может перфорировать дистальный отломок и приведет к дальнейшему угловому смещению отломков, которое уже имеет место первоначально. Мое мнение: перепровести гвоздь с заданным направлением к центру метафиза, тем более, что у пациента выраженный болевой синдром скорее всего связанный с вышеуказанными причинами. С уважением Нурмет Магомедович, г.Тюмень
    [ Ответить ]

    Re: перелом бедра во время закрытого
    максим кузнецов 16 Февраль 2010, 22:43
    согласен с коллегами. Оставить, как есть, если рана заживает первично. Начать разработку движений в смежных суставах, однако с нагрузкой не торопиться.
    [ Ответить ]


    ( Ответить )

    Powered by Zope  Squishdot Powered MedLink
    Посетитель: 0000195
      "По форме правильно, а по существу - издевательство" В.И.Ленин
    ©2001-2019Orthoforum Coordinator.
    [ Главная | Отправить сообщение | Поиск | Админ ]