ВХОД ДЛЯ ПАЦИЕНТОВ
вверх
поиск
админ
главная
|
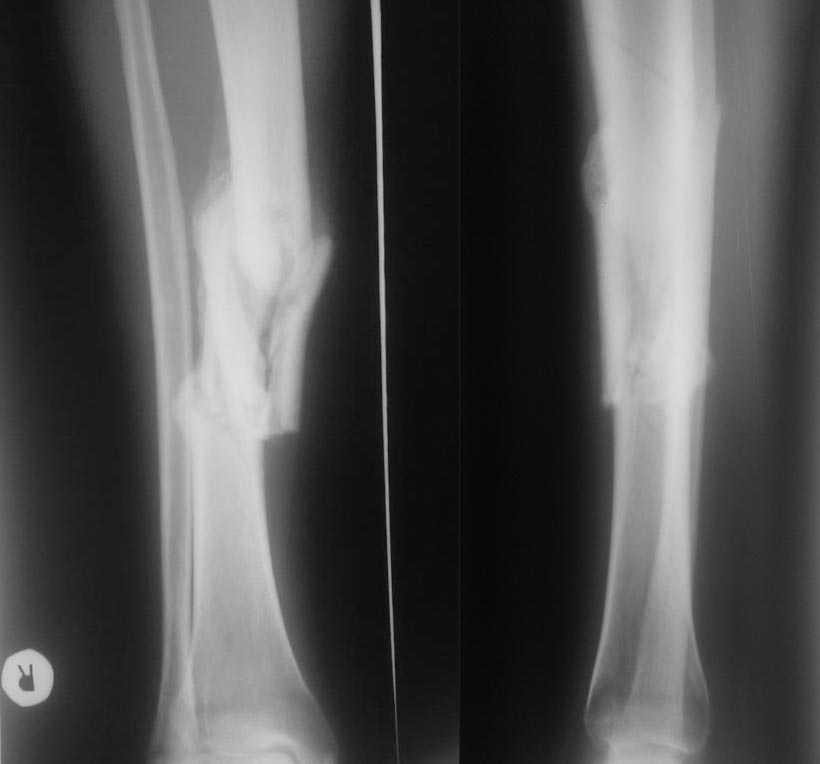
Неправильносросшийся перелом голени. |
 |
 |
 |
Прислано Алексей 11 Февраль 2010, 12:45
из
Уважаемые коллеги. К нам в клинику. на консультацию обратился больной с неправильносросшимся переломом правой голени.
Травма автодорожная, три месяца назад, перелом голени открытый. Почему именно доктора не занимались переломом голени больной пояснить не может, видимо не позволяло общее состояние и наличие прочих повреждений. На момент осмотра голень в гипсовой лангетной повязке до коленного сустава, кожные покровы чистые, отек незначительный. На р-х выраженная костная мозоль.
Просьба поделится мнениями о тактике лечения.
Обратите внимание: Поля с жирными названиями обязательны.
Старайтесь отвечать в рамках обсуждаемой темы, а не начинать новые обсуждения.
Указывайте адекватную тему сообщения, чтобы было ясно, о чем оно.
Не послайте сообщений не по теме (оффтопик), раздраженных, грубых или обидных комментариев. Здесь это неуместно.
|