вверх
отправить
поиск
админ
главная
|
несросшийся перелом голени после БИОС |
 |
 |
 |
Отправлено соловьев игорь 11 Февраль 2010, 15:21
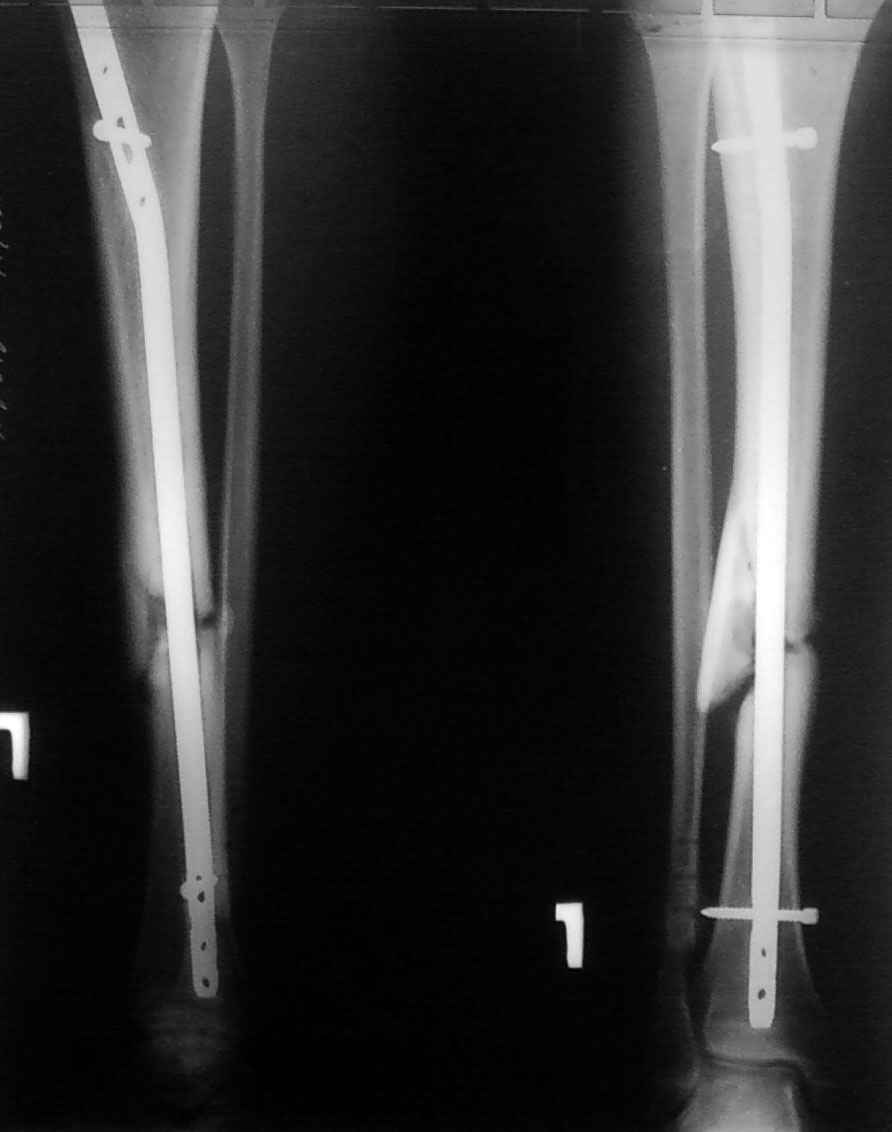
Пациент 24лет травма в мае 2009г, сбит а/м. диагноз: вторично-открытый перелом правой м/б кости в н/3, оскольчатый перелом б/б кости справа. Рана по наружной поверхности 2*1 см. В первые сутки выполненно ПХО открытого перелома м/б кости остеосинтез 1/3трубчатой пластины (синтез выполнен из-за того, что проксимальный отломок мог вызвать угрозу внутреннего пролежня) и БИОС б/б кости стерженем Chm в статическом варианте. П/о период без осложнений. Через 2 месяца выполнена динамизация. Ходил без дополнительной опоры. Через 6месяцев обратился с жалобами на боль в н/3 голени. На контрольном снимке сломана пластина 1/3 трубки, вполнена операция - удаление пластины. Обратился сегодня с жалобами на боли в области концов стержня (в/3 и н/3), боль при ходьбе. Что делать?Мы думаем заменить стержень на 11мм (сейчас 9мм) и рассверлить канал с целью освежить зону перелома. СПАСИБО.
<
|
>
|
|
Ответить
|
Re: несросшийся перелом голени после БИОС
Станислав Дмитриев 11 Февраль 2010, 20:49
|
Я бы еще добавил остеотомию малоберцовой кости.
|
[
Ответить ]
|
Re: несросшийся перелом голени после БИОС
Отправитель: соловьев игорь 11 Февраль 2010, 21:04
|
Спасибо, но в момент открытого перелома образовался костный дефект. примерно 2*1.5 см. Я уверен, что она не срослась (2 месяца назад снял с ее сломанную пластину). А так с вами согласен в необходимости остеотомии.
|
[
Ответить ]
|
|
Re: несросшийся перелом голени после БИОС
Bukharev Edgar 11 Февраль 2010, 22:50
|
Сращение не получено черезе полгода после БИОС. Стоит ли повторно пробовать? Не рассматривался вариант внешней фиксации?
|
[
Ответить ]
|
Re: несросшийся перелом голени после БИОС
адонин 11 Февраль 2010, 23:42
|
несмотря на вашу уверенность в несрощении малоберцевой, я бы добавил фибулэктомию ( удалил бы сантиметр-полтора) малоберцевой. замена на больший диаметр - прекрасная идея, если позволяют финансы больного, причем не просто на 11 мм, а на максимально достижимый. Если финансы "плачут" - фибулэктомия и динамизация гвоздя
можно , конечно, и аппарат, но не вижу особой необходимости - есть все шансы добиться сращения на гвозде, а аппарат , который придется носить с пол-года или больше - как минимум, крайний дискомфорт, риск инфекции и "прошитые" спицами мышцы.
|
[
Ответить ]
|
Re: несросшийся перелом голени после БИОС
Александр Н.(Самара) 12 Февраль 2010, 08:44
|
Ваш синтез нестабилен!
Выполните полноценную блокировку в дистальном фрагменте 3-5 винтами, с помощью "полеровских" скорректируйте положение фрагментов и через 3-4 мц все будет ОК!
Мы на своем опыте пришли к выводу - динамизацию можно делать только со стороны длинного фрагмента.
|
[
Ответить ]
|
Re: несросшийся перелом голени после БИОС
Нурмет Темирханов 12 Февраль 2010, 09:51
|
Добрый день Игорь. Я думаю, у Вас не произошла динамизация на гвозде, потому что сохраняется пространство между винтами в овальных отверстиях и самим гвоздем в направлении к линии перелома. Отсюда и боли: в проксимальном отделе за счет того, что статический винт не удален, а дистальном, за счет того, что конец гвоздя "давит" на метафиз. По моему убеждению, проблема кроется в двух причинах: динамизировать надо было в проксимальном отделе; дистальное доблокирование, хотя бы одним винтом, остеотомия малоберцовой кости. Я считаю, что это намного проще и дешевле будет, чем реостеосинтез с рассверливанием.
|
[
Ответить ]
|
Re: несросшийся перелом голени после БИОС
В. Машталов 12 Февраль 2010, 14:32
|
Уважаемыке коллеги,не надо забывать что больной ходит на 9 мм гвозде 6 месяцев при несросшемся переломе с полной нагрузкой и запас прочности гвоздя на пределе усталосного его разрушения, перспективы сращения при всех манипуляциях на этом гвозде призрачны а вот его возможный перелом реальность. Только замена на наиболее толстый с полноценным рассверливанием (т.е сверлить не под имеющийся гвоздь,а полноценно увеличить канал на 2 мм и подобрать соотвествующий гвоздь, в данном случае не менее 12 мм)Динамизация изначально.Диастаз незначительный , поэтому м/берцовую можно не трогать.В этом случае не ограничены не в сроках , не в нагрузке, без которой не будет динамизации
С ув. В. Машталов
|
[
Ответить ]
|
Re: несросшийся перелом голени после БИОС
олег ли (хабаровск) 12 Февраль 2010, 15:59
|
Игорь, думаю замена на более толстый штифт желательна, как и остеотомия, поскольку компрессия в итоге будет более 5 мм (предел для синдесмоза). думаю 10 штифта будет достаточно с рассверливанием до 11 мм. Поскольку БИОС все-таки стабильность относительная. А здесь фиксация более чем стабильная, я бы даже сказал абсолютная. Кстати создается впечатление, что гвоздь гвоздь в канал попал насильственно, ударами молотка??? И как следствие заклинен, от чего и отсутствие динамизации. После рассверливания думаю 2 винтов дистально в статическом положении будет достаточно, ну и динамика вверху естественно. Интересно посмотреть послеоперационные снимки.
С уважением, Олег Ли
|
[
Ответить ]
|
Re: несросшийся перелом голени после БИОС
Отправитель: адонин 13 Февраль 2010, 01:33
|
Олег, если можно - небольшое чисто техническое замечание: блокированный остиосинтез по определению не может быть абсолютно стабильным (в отличие от компрессионных пластин) - всегда есть некоторая подвижность из-за несоответствия диаметра отверсия гвоздя и шурупа, в большинстве случаев - еще и из-за неидеальной редакции
|
[
Ответить ]
|
Re: несросшийся перелом голени после БИОС
Отправитель: олег ли (хабаровск) 13 Февраль 2010, 08:23
|
важаемый Адонин. Абсолютно с вами согласен. При соблюдении технологии все так и есть. Но при переломах истмальной зоны при чрезмерно плотной посадке гвоздя достигается абсолютная стабильность, вне зависимости от наличия блокирующих винтов. попросту гвоздь заклинивается. Отсюда и проблемы с динамизацией.
С уважением, Олег Ли.
|
[
Ответить ]
|
|
Re: несросшийся перелом голени после БИОС
соловьев игорь 12 Февраль 2010, 20:23
|
Спасибо за советы. На следующей неделе, думаю, приступить к лечению. Как пройдет операция сообщу на форуме.
|
[
Ответить ]
|
( Ответить )
|
|