вверх
отправить
поиск
админ
главная
|
Удаление штифта из бедра. |
 |
 |
 |
Отправлено Ростислав 02 Март 2010, 23:32
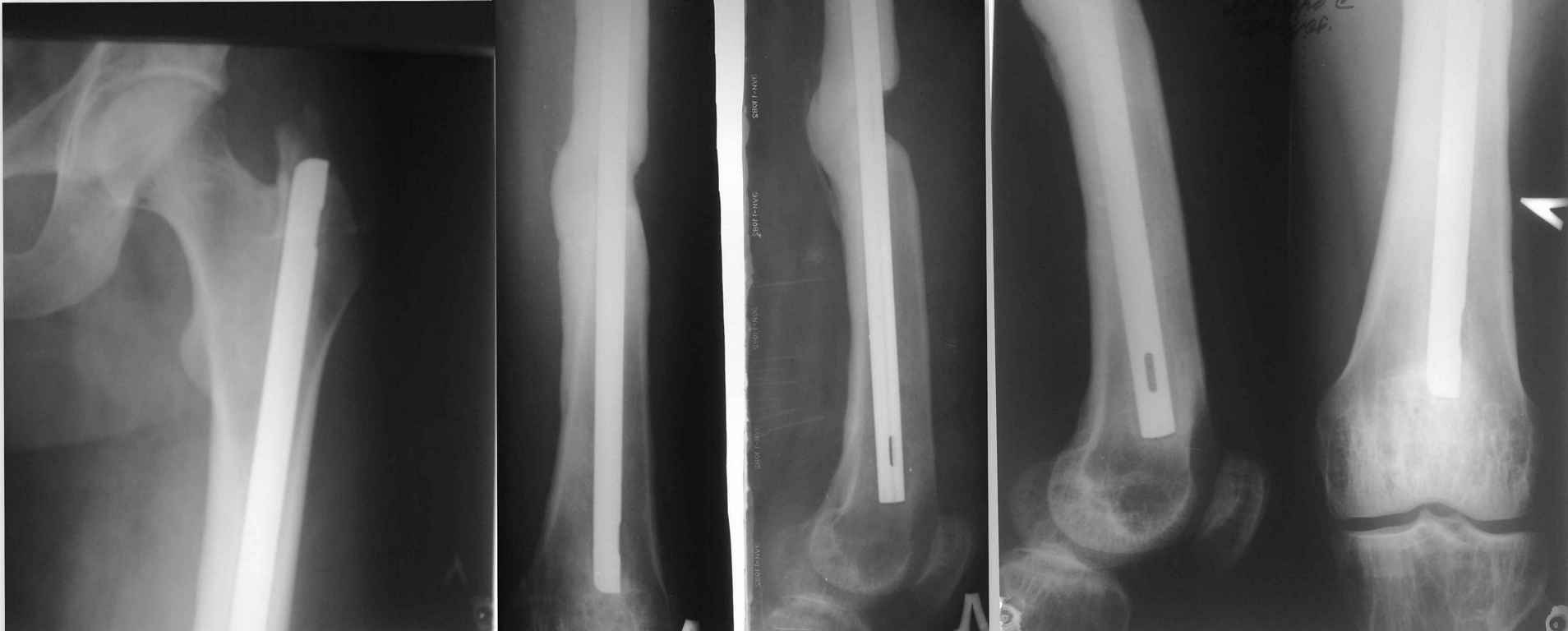
Здравствуйте Уважаемые коллеги! Просим совета. Есть больной 35 лет. Который получил сочетанную травму в результате ДТП более 2х лет назад. Оперирован на бедре МОС бедра штифтом, на голени накостной пластиной, которая через 2-3 мес. осложнилась развитием остеомиелита, попал затем к нам. Мы удалили пластину с Б/б кости и фиксировали в ВЧКО. Длительно лечился у нас с остеомиелитом б/б кости левой голени и по месту жительства, в общем, с голенью вроде всё в порядке на данный момент свищей нет. Бедро, сделанное в местной больнице ранее, тоже не беспокоило, но теперь начало, по снимкам бедра, сделанным ранее около года назад отмечается миграция стержня в бедре до 1.5 см. и появился на снимке дефект кости в области перелома. Ранее его не было. Кожных трофических нарушений нет. Металл не пальпируется. Больной настаивает на удаление металла. Как быть с учётом дефекта кости: удалять полностью штифт, с костной аутопластикой? БИОС?
<
|
>
|
|
Ответить
|
Re: Удаление штифта из бедра.
Alexander Chelnokov 03 Март 2010, 15:46
|
беспокоило, но теперь начало, по снимкам бедра, сделанным ранее около года назад отмечается
миграция стержня в бедре до 1.5 см.
А куда миграция? Что-то непохоже. Можно через годик снимок сделать еще.
и появился на снимке дефект кости в области перелома. Ранее
его не было.
Этот дефект явно был, даже видно компенсаторное утолщение спайки с другой стороны.
Наверно, снимок в этой проекции наконец-то сделали.
В общем, пока не видно никаких проблем, которые удаление стержня решит.
|
[
Ответить ]
|
Re: Удаление штифта из бедра.
Станислав Дмитриев 03 Март 2010, 20:15
|
Не очень понятно: беспокоят-то больного снимки, или все-таки клиника есть? Если снимки - попробуйте убедить больного, что "мозоль несимметричная, механически слабая, после удаления может произойти повторный перелом и т.п". Ну сделайте, в конце концов свежие снимки, сравните.Миграции действительно не заметно.
|
[
Ответить ]
|
Re: Удаление штифта из бедра.
Бирюков Сергей 04 Март 2010, 01:36
|
Всем добрый вечер! Судя по закругленным краям кости, диастаз был всегда, может из-за остеомиелита было не до него. Если беспокоит больного, то что? если нет клиники, к сожалению наверное чуда не будет, "красивее" сама костная мозоль не станет, т.к. в дефекте между костями красуется гвоздь и рубцовые ткани. пусть живет, если у больного нет удлинения конечности.
|
[
Ответить ]
|
Re: Удаление штифта из бедра.
Ростислав 04 Март 2010, 01:52
|
Снимки эти последние! Ранее делались около года назад. Укорочение или удлинение конечности нет. Клиники нет! Просто хочет попрощаться со штифтом, даже настаивает. Просто если сравнивать их и новые есть небольшая миграция стержня дистально до 1,5 см не более! Снимки для сравнения сброшу. Спасибо за советы.
|
[
Ответить ]
|
Re: Удаление штифта из бедра.
Женя 05 Март 2010, 18:08
|
Добрый день! В самом деле, костная мозоль асимметричная, механическая прочность ее на изгиб наверняка неидеальна. Но, даже не вдаваясь в тонкости прочностных характеристик костной мозоли, в "красках" опишите пациенту технику удаления стержня в ТАКОЙ ситуации - трепанация кости (скорее всего - на большом протяжении), вероятность заклинивания штифта "насмерть" при выходе на 10-15 см над вертелом с последующим непредсказуемым отпиливанием-откусыванием и т.д. и т.п. - одумается! Удачи!
|
[
Ответить ]
|
Re: Удаление штифта из бедра.
Отправитель: Ростислав 25 Март 2010, 00:23
|
Прооперировали нашего пациента!Не одумался!Сделали ревизию верхнего конца штифта:Штифт подвижный легко удаляется,произвели ревизию место перелома с аутопластикой губкой. Заблокировали верхний конец штифта винтом.Послеоперационный период через 14 дней осложнился открытием свища на голени. Лечим!
|
[
Ответить ]
|
Re: Удаление штифта из бедра.
Отправитель: Алексей Минервин 25 Март 2010, 01:25
|
>Штифт подвижный легко удаляется
Сначала удалили, потом его же и поставили?
>произвели ревизию место перелома
Так что при ревизии? Патологическая подвижность?
А в завершении добились ли купирования жалоб с которыми пациент обратился?
|
[
Ответить ]
|
|
( Ответить )
|
|