AOTRAUMA.ORG Центр Илизарова  

Ортопедия и травматология Общие вопросы/General questions Help Информационные технологии в медицине
 вверх
 отправить
 поиск
 админ
 главная


Боль в нижней трети голени
Ортопедия и травматология Отправлено Игорь Зинчук 04 Март 2010, 15:15
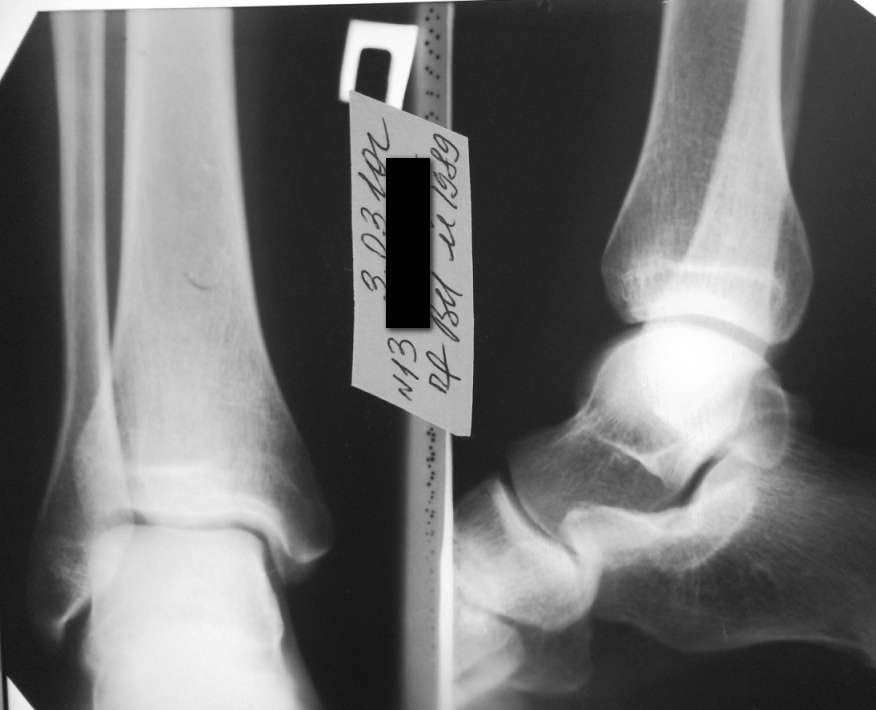
Здравствуйте уважаемые коллеги! Больной 1989 г.р. Беспокоит боль в области нижней трети правой голени.
с медиальной стороны, при ходьбе и пальпации надкостнецы большеберцовой кости, по переднемедиальной поверхности от лодыжки до граници нижней и средней трети. Более в течении недели, начало постепенное, без видимых причин. Травму отрицает. Визуально никаких изменений нет ни в объеме конечности, ни во внешнем виде кожных покровов. Боль только при нагрузке, в покое и ночью не болит. Заранее благодарю за высказанные мнения по поводу диагноза. Снимки прилагаю.

<  |  >

 

  • Сообщения о Ортопедия и травматология
  • Также Игорь Зинчук
  • Связаться с автором
  • Ответить

    Re: Боль в нижней трети голени
    Улыбин Дмитрий 05 Март 2010, 12:42
    Скорее всего это периостит большеберцовой кости. Почитайте здесь http://forums.rusmedserv.com/showthread.php?t=111903&highlight=%EF%E5%F0%E8%EE%F1%F2%E8%F2
    [ Ответить ]

    • Re: Боль в нижней трети голени
      Отправитель: Игорь Зинчук 05 Март 2010, 13:56
      Спасибо за ответ Дмитрий. Периостит я рассматривал, но смущало отсутствие предпосылок. Больной не занимается спортом, нет физических перегрузок. По снимку я ничего не обнаружил и по этому потому попросил помощи.

      [ Ответить ]
    Re: Боль в нижней трети голени
    Васильев Михаил 05 Март 2010, 13:43
    Добрый день! На самом деле очень мало информации. Но из личного опыта могу предположить, что у молодого пациента, такого рода боли могут возникнуть при изменении физических нагрузок, смене обуви (при наличии признаков плоскостопия), и масса еще различных, кажущихся несерьёзными факторов. Стоит более углубленно выяснить все данные моменты у конкретного пациента, и тогда более вероятно выявить причинно-следственную связь этих болей. С увадением Михаил В.
    [ Ответить ]

    Re: Боль в нижней трети голени
    Антон Андрианов 05 Март 2010, 19:01
    Очень похоже на синдром Дюпюитрена.Быстро поддается ударно-волновой терапии,хуже отвечает на физиолечение.Помогают аппликации смеси димексида с аналгетиками и суспензией гидрокортизона.
    [ Ответить ]

    Re: Боль в нижней трети голени
    Dr. Liberson 06 Март 2010, 12:50
    Stress fx
    Tendinitis
    Neuralgia
    A proper anamnesis and physical exam would be of help for each.
    There are also rare causes.
    Goodluck.
    AL

    [ Ответить ]

    Re: Боль в нижней трети голени
    Антон 07 Март 2010, 14:03
    А также может быть это новая обувь? сам недавно столкнулся с похожим случаем - после смены обуви все прошло...
    [ Ответить ]


    ( Ответить )

    Powered by Zope  Squishdot Powered MedLink
    Посетитель: 0191079
      "По форме правильно, а по существу - издевательство" В.И.Ленин
    ©2001-2019Orthoforum Coordinator.
    [ Главная | Отправить сообщение | Поиск | Админ ]