AOTRAUMA.ORG Центр Илизарова  

Ортопедия и травматология Общие вопросы/General questions Help Информационные технологии в медицине
 вверх
 отправить
 поиск
 админ
 главная


Прогерия
Ортопедия и травматология Отправлено Victor N. Green 15 Март 2010, 23:37
Здравствуйте, уважаемые коллеги.

Выскажите, пожалуйста, свое мнение про данный случай.
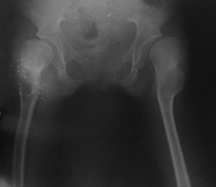
Ребенку 14 лет. 3 недели назад дома упала. На рентгенограмме диагностирован вывих в правом тазобедренном суставе.
Под общим наркозом вправлен. 2 недели ребенок находился на лейкопластырном вытяжении. В связи с тяжким состоянием ребенка (диспептические явления, задержка стула, носовые кровотечения, начальные явления застойной пневмонии) вытяжение снято. сразу после чего сделано рентген контроль (фото 1). а через неделю, то есть сегодня сделан второй снимок (фото 2). Где видно повторный вывих.
На рентгенограмме видно, что в 3 месячном возрасте не была диагностирована тяжелая форма дисплазии с подвывихами, где, кроме вывиха, имеет место непролеченные диспластические суставы с обеих сторон, больше справа.

Какое ваше мнение что делать в данном случае? Операцию ребенок не перенесет.
Ни скелетное, ни лейкопластырное вытяжение за бедро долго не выдержит. Даже если вправить вывих, он повторится в силу диспластичности сустава.
Или разрешить ходить и двигаться так, как есть, с помощью костылей.

Best regards, Victor N. Green Transcarpation Region, Ukraine Department of Traumatology and Orthopaedics

<  |  >

 

  • Сообщения о Ортопедия и травматология
  • Также Victor N. Green
  • Связаться с автором
  • Ответить

    Re: Прогерия
    Зураб 17 Март 2010, 22:37
    Почему не перенесет операцию???
    [ Ответить ]

    Re: Прогерия
    ihor 18 Март 2010, 22:03
    Здравствуйте Victor N.Green,

    Я бы попытался вправить закрыто и зафиксировал бы бедренную кость к тазу спицами или стержневым апаратом ВФ.таз бедро на -2-3 недели.

    Удачи.
    Ihor

    [ Ответить ]


    ( Ответить )

    Powered by Zope  Squishdot Powered MedLink
    Посетитель: 0404368
      "По форме правильно, а по существу - издевательство" В.И.Ленин
    ©2001-2019Orthoforum Coordinator.
    [ Главная | Отправить сообщение | Поиск | Админ ]