AOTRAUMA.ORG Центр Илизарова  

Ортопедия и травматология Общие вопросы/General questions Help Информационные технологии в медицине
 вверх
 отправить
 поиск
 админ
 главная


Следует ли оперировать?
Ортопедия и травматология Отправлено Афанасьев Станислав 05 Апрель 2010, 00:39
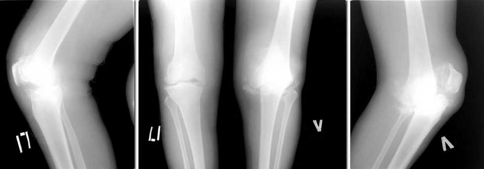
Здравствуйте коллеги, возможно кто-то сталкивался с подобной ситуацией. Пациента беспокоят боли в коленных суставах в течении 5 лет.
1,5 года назад установлен диагноз: Нейросифилис. Находится на диспансерном наблюдении у венеролога. Обследован онкологом, фтизиатром - "своей" патологии не находят. Бакпосев синовиальной жидкости - нет роста. Боли в коленях постоянные. Ходить может. Разгибание полное, сгибание 90*. На представленных рентгенограммах в сравнении с предыдущими, 2 месячной давности (в настоящее время не располагаю), добавился патологический перелом медиального мыщелка левого бедра. Природа артроза не ясна, однако, умозрительно - нейросифилис.
Дилемма такова: 1)Эндопротезирование? но беспокоит вопрос о стабильности компонентов протеза в будущем, а следовательно и целесообразности деяния. 2)Артродезирование? - состоится ли артродез на фоне продолжающегося разрушения костей. Обе операции технически вполне выполнимы. И последнее - следует ли оперировать. Заранее спасибо за добрые советы.

<  |  >

 

  • Сообщения о Ортопедия и травматология
  • Также Афанасьев Станислав
  • Связаться с автором
  • Ответить

    Re: Следует ли оперировать?
    адонин 05 Апрель 2010, 02:54
    Снимок не открывается. Причина процесса - сустав Шарко из-за потери проприоцепции. В принципе, ничто не препятствует эндопротезированию, возможно constrained prothesis.
    Возраст и соматическое состояние больного?
    [ Ответить ]

    • Re: Следует ли оперировать?
      Отправитель: Адонин 05 Апрель 2010, 19:02
      Сейчас снимок виден. Типичный Шарко.Артродез, конечно, технически много проще.

      [ Ответить ]
    Re: Следует ли оперировать?
    A.Liberson 05 Апрель 2010, 09:17
    Charcot arthropathy is differrent from degenerative. Charcot knee should be inactive and than operated. Is it warm now?I would first immobilize for long and fuse. Look up for the criteria for Charcot.
    Good luck.
    AL
    [ Ответить ]

    Re: Следует ли оперировать?
    Adonin 05 Апрель 2010, 17:38
    http://emedicine.medscape.com/article/1234293-overview

    In 1703, William Musgrave first described a neuropathic joint as an arthralgia caused by venereal disease.1 In 1868, Jean-Martin Charcot gave the first detailed description of the neuropathic aspect of this disease; hence, the condition is named after him.2 Charcot noted this disease process as a complication of syphilis

    Pathophysiology

    The exact nature of Charcot arthropathy remains unknown, but the following major theories exist regarding the pathophysiology of this condition:
    Neurotraumatic theory - This theory states that Charcot arthropathy is caused by an unperceived trauma or injury to an insensate foot. The sensory neuropathy renders the patient unaware of the osseous destruction that occurs with ambulation. This microtrauma leads to progressive destruction and damage to bone and joints.
    Neurovascular theory - This theory suggests that the underlying condition leads to the development of autonomic neuropathy, causing the extremity to receive an increased blood flow. This in turn results in a mismatch in bone destruction and synthesis, leading to osteopenia.
    [ Ответить ]

    Re: Следует ли оперировать?
    Адонин 05 Апрель 2010, 18:47
    Нельзя не согласиться с доктором Либерcоном – артродез – тоже вполне даже выход из ситуации. В литературе и артродез, и артропластика описаны как возможные решения.
    Однако, читая литературу, надо помнить о след факторах
    в современном развитом обществе сифилис – экзотика ( в штатах с населением почти 400 миллионов регистрируется аж 70 свежих случаев сифилиса в год), третичный сифилис – невиданная экзотика. Обычная причина Шарко - диабет. То есть пациент 1) имеет ангиопатию, очень часто - критическую ( язвы и гангрена) 2) иммуносупрессирован и склонен к инфекции 3) невропатия при диабете обычно – по типу чулков, то есть суставы шарко – это голеностоп и стопа. Достаточно необычно иметь колено Шарко. Потому и склоность к артродезу , а не к протезированию.

    [ Ответить ]

    • Re: Следует ли оперировать?
      Отправитель: Станислав Афанасьев 06 Апрель 2010, 11:26
      Уважаемые коллеги, огромное спасибо за помощь!!!
      Решение окончательно не оформилось, но направление ясно.


      [ Ответить ]
    Re: Следует ли оперировать?
    Dr. A. Liberson 07 Апрель 2010, 01:00
    Gentlemen,
    Plz consider stage of Charcot - never operate X-rays.
    AL
    [ Ответить ]


    ( Ответить )

    Powered by Zope  Squishdot Powered MedLink
    Посетитель: 0181312
      "По форме правильно, а по существу - издевательство" В.И.Ленин
    ©2001-2019Orthoforum Coordinator.
    [ Главная | Отправить сообщение | Поиск | Админ ]