вверх
отправить
поиск
админ
главная
Предыдущее
|
Re: перелом правой половины таза
Alexey Semenisty 28 Апрель 2010, 03:48
|
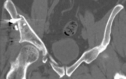
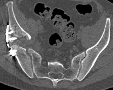
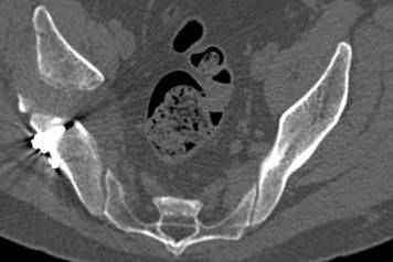
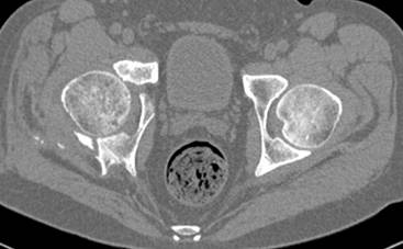
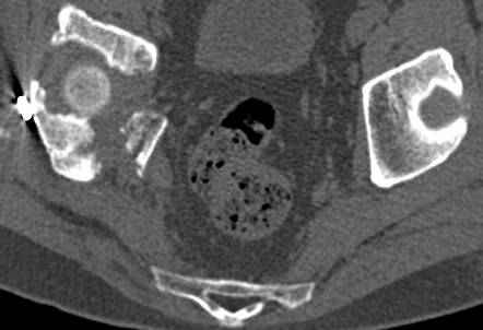
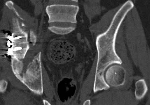
Интересно было бы посмотреть рентгенограммы до операции. У меня впечатление, что я не все вижу, что тут есть... Уважаемые Господа "тазисты" и "тазологи", к какому типу переломов вертлужной впадины по Летурнелю вы бы отнесли это случай?
Из переломов проходящих через крыло и/или заднюю стенку ни простой перелом "передней колонны" (явно имеется пером задней стенки, и не видно перелома седалищной или лонной), ни простой "поперечный", ни ассоциированный "Т-образный" (т.к есть перелом крыла и не видно перелома седалишной), ни ассоциированный "задняя колонна+задняя стенка", на ассоциированный "поперечный+задняя стенка", ни ассоциированный "передняя колонна+задняя гемисфера" (не видно перелома седалищной), ни ассоциированный "обе колонны" (не видно перелома лонной седалищной) не подходят под эту классификацию....
Вопрос к знатокам: Так что это?
|
|
|
Ответить
|
Re: перелом правой половины таза
Maxim Agalakov 28 Апрель 2010, 17:22
|
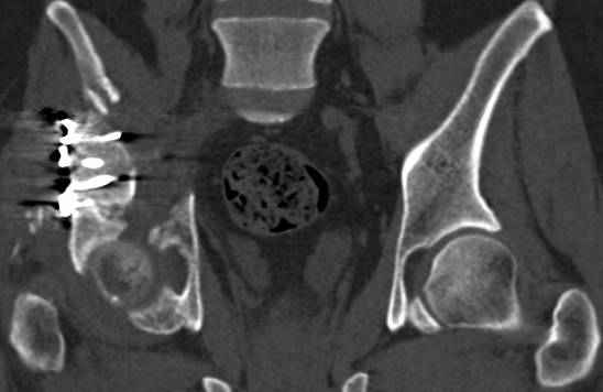
>Вопрос к знатокам: Так что это?
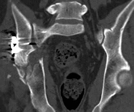
к таковым себя не причисляю, но...обычное дело для нашей страны - выкладывать 3D и не показывать стандартные проекции Judet. Дигност представляет те ракурсы, которые по-его мнению наиболее информативны, более того комп сам достраивает какие-то мелкие повреждения по 3D по своему усмотрению. По данной реконструкции можно предполагать высокий двухколонный перелом с оскольчатыми передней и задней колоннами, оскольчатую высокую переднюю колонну с задним полупоперечником или одно из перечисленных с вовлечение КПС. У меня впечатление за второй вариант, но нужно обследовать нормально - проекции, сканы.
С уважением, Максим Агалаков, Е-бург.
|
[
Ответить ]
|
Re: перелом правой половины таза
Отправитель: Батал Шушания 28 Апрель 2010, 22:44
|

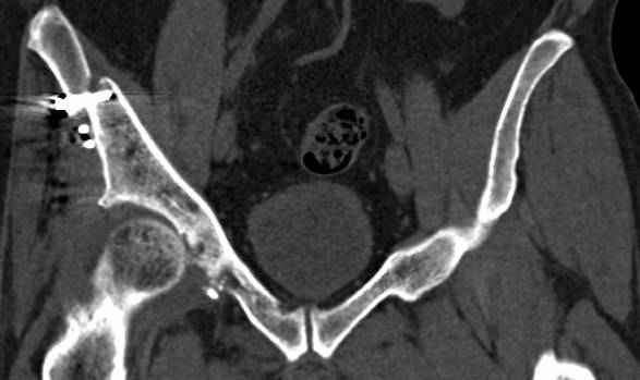
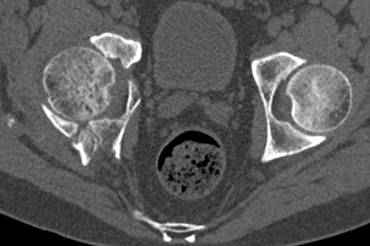
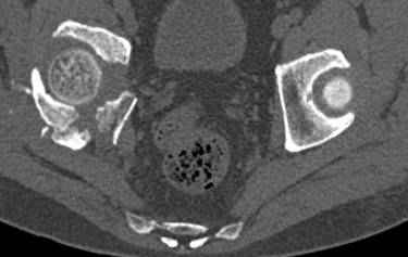
высылаю дополнительно сканы.
|
[
Ответить ]
|
Re: перелом правой половины таза
Отправитель: Алексей 29 Апрель 2010, 00:55
|
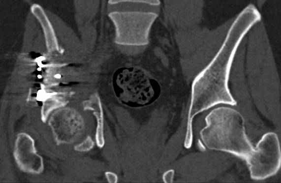
итак, второй вариант: высокий двухколонный с вовлечением КПС... Ни одно из основных повреждений не репонировано, кроме задней стенки. Скорее всего попытка реконструкции вертлуги сейчас будет очень травматичной и не очень эфективной, т.е. вероятный риск более значим, чем ожидаемая польза... Лучше подождать, и потом сразу эндопротез
|
[
Ответить ]
|
Re: перелом правой половины таза
Отправитель: Maxim Agalakov 29 Апрель 2010, 23:54
|
>Лучше подождать, и потом сразу эндопротез
подождать сколько, чего? такая дыра в задней колонне не закроется никогда.
потом эндопротез какой? в такой ситуации приходит на ум Burch-Schneider cage, в 35 лет, дальше что делать?
|
[
Ответить ]
|
|
( Ответить )
|
|