ВХОД ДЛЯ ПАЦИЕНТОВ
вверх
поиск
админ
главная
|
Забытая методика остеосинтеза |
 |
 |
 |
Прислано Савочкина Мария Александровна 27 Апрель 2010, 23:23
из МУ ДГБ
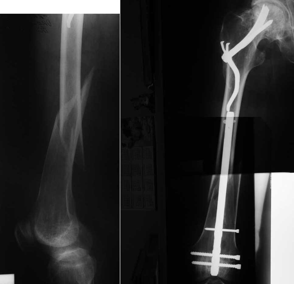
Отдалённый результат забытого метода
Хотим напомнить о забытом, эффективном методе остеосинтеза медиальных переломов шейки бедренной кости. Пациенту 55 лет был выполнен остеосинтез медиального перелома шейки бедренной кости фиксатором Сеппо 15 лет назад. В течение этих лет пациент жил не тужил, пока в марте сего года не получил перелом диафиза этого же бедра. Мы сочли единственно возможным применение в данной ситуации метода остеосинтеза штифтом с ретроградным введением. С удовольствием выслушаем ваши мнения. Возможно у кого-то ещё есть опыт применения фиксаторов Сеппо. Доктор Головач О. Н., доктор Савочкина М. А., г. Дзержинский, Подмосковье.
Обратите внимание: Поля с жирными названиями обязательны.
Старайтесь отвечать в рамках обсуждаемой темы, а не начинать новые обсуждения.
Указывайте адекватную тему сообщения, чтобы было ясно, о чем оно.
Не послайте сообщений не по теме (оффтопик), раздраженных, грубых или обидных комментариев. Здесь это неуместно.
|