ВХОД ДЛЯ ПАЦИЕНТОВ
вверх
поиск
админ
главная
исходное
|
Re: Ошибка в установке вертлужного компонента
послал шухрат 31 Май 2010, 15:15
|

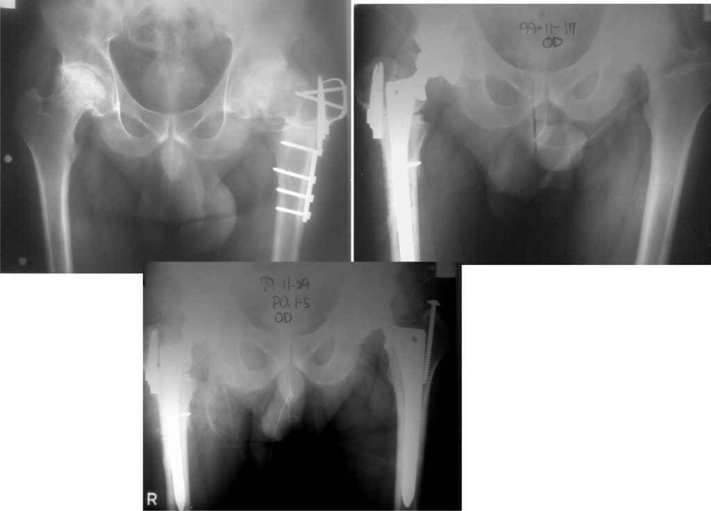
Уважаемый Станислав!
У меня опыт по эндопротезированию совсем небольшой. Еще 5 лет тому назад у нас в городе не было протезирования. Во вложении снимки одного больного из нашего города. который оперировался в 1999 году в Южной Корее. разница по времени замены второго сустава 11 дней. Больной по настоящее время ходит без проблем, особых жалоб не предъявляет, весит он 98 кг. Может быть есть смысл подождать, по наблюдать а оперировать никогда не поздно.
Удачи Вам!
|
| Послать ответ |
Обратите внимание: Поля с жирными названиями обязательны.
Старайтесь отвечать в рамках обсуждаемой темы, а не начинать новые обсуждения.
Указывайте адекватную тему сообщения, чтобы было ясно, о чем оно.
Не послайте сообщений не по теме (оффтопик), раздраженных, грубых или обидных комментариев. Здесь это неуместно.
|