AOTRAUMA.ORG Центр Илизарова  

Ортопедия и травматология Общие вопросы/General questions Help Информационные технологии в медицине
 вверх
 отправить
 поиск
 админ
 главная
 Предыдущее
 Весь тред


Re: Перелом плеча
Alexander Chelnokov 01 Июль 2010, 01:35


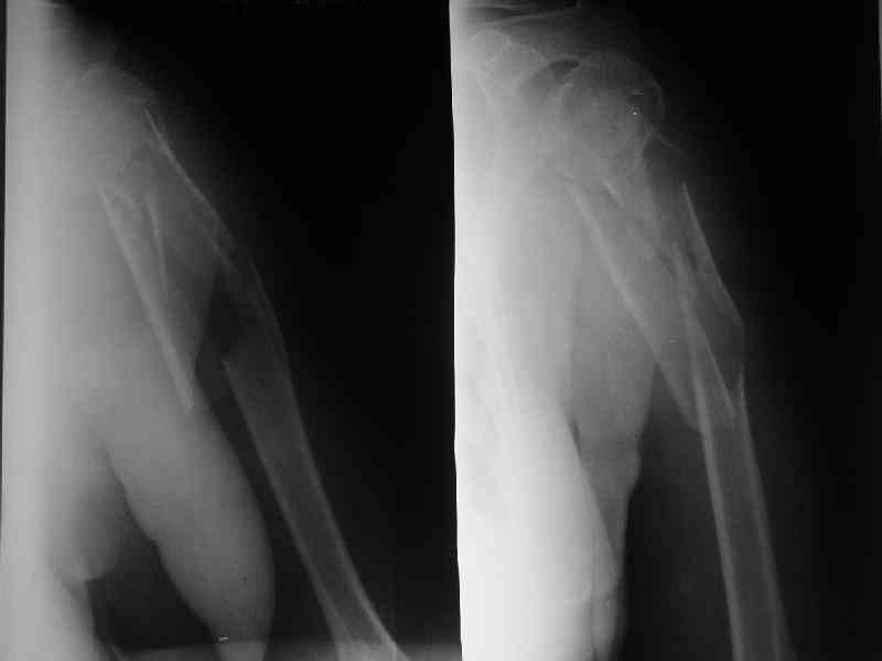
Здесь нет необходимости в серкляже. Вмешиваться на промежуточных отломках приходится, если есть угроза перфорации кожи, или промежуточный отломок попал в фасцию, как пуговица в петлю. В приложении сегментарный оскольчатый перелом плеча в проксимальном отделе, фиксированный больщеберцовым стержнем. Как видите, обошлось без серкляжа. Функция полная.
  • Сообщения о Ортопедия и травматология
  • Также Alexander Chelnokov
  • Связаться с автором
  • Ответить

    Re: Перелом плеча
    Виталий Евгеньевич Казённов 01 Июль 2010, 16:30
    Уважаемый Александр Николаевич,

    Пример отличный.
    Вот что значит лечить перелом, а не рентгенограмму!

    Казённов
    [ Ответить ]

    Re: Перелом плеча
    Михаил 03 Июль 2010, 20:13
    Александр, великолепные снимки! Вопрос - что за гвоздь?
    [ Ответить ]

    • Re: Перелом плеча
      Отправитель: Alexander Chelnokov 06 Июль 2010, 00:42
      Это укороченный большеберцовый стержень, которые делает предприятие "ЦИТО".

      [ Ответить ]
      • Re: Перелом плеча
        Отправитель: Михаил 07 Июль 2010, 01:14
        на синтезовский UTN похож))

        [ Ответить ]
    Re: Перелом плеча
    samsnow 10 Август 2010, 01:06
    Скажите пожалуйста, Александр Николаевич, почему Вы использовали большеберцовый гвоздь?
    [ Ответить ]

    • Re: Перелом плеча
      Отправитель: Alexander Chelnokov 11 Август 2010, 12:05
      Доступные на тот момент гвозди для плеча имели худшие возможности фиксации в коротком проксимальном отломке.



      [ Ответить ]

     

    ( Ответить )

    Powered by Zope  Squishdot Powered MedLink
    Посетитель: 0180096
      "По форме правильно, а по существу - издевательство" В.И.Ленин
    ©2001-2019Orthoforum Coordinator.
    [ Главная | Отправить сообщение | Поиск | Админ ]