AOTRAUMA.ORG Центр Илизарова  

Ортопедия и травматология Общие вопросы/General questions Help Информационные технологии в медицине
 вверх
 отправить
 поиск
 админ
 главная
 Предыдущее


Re: Способ ушивания ран
Djoldas Kuldjanov 08 Август 2010, 22:36
Конкретизация вопроса облегчила бы ответ, хотя, как мне известно, что при выраженных отеках не существует особой методики или руководства по ушиванию хирургической раны.


Если насчет мероприятий по ведению открытых ран, тогда информация находится в разделе по градациям открытых переломов по Gustilo & Andersen, которая в зависимости от степени и состояния подскажет про применение первичных или отсроченных методов закрытия ран.


При отеках техника шва не главное, здесь главным является создание благоприятного момента для ушивания, т.е когда кондиция покровных тканей позволяет закрыть рану без натяжения.

Отечность в зоне фиксации является противопоказанием к открытому методу. Для профилактики осложнений с фиксацией можно повременить применением стабилизирующего наружного фиксатора. Фиксатор восстанавливает длину конечности, облегчает в будущем репозицию и создает благоприятные условии для спадения отека. Также позволяет экономить средства, вместо дорогого стационара больной может находится на амбулаторном наблюдении. Появление симптома "skin wrinkle test" (морщинки) подскажет о готовности кожного покрова для окончательной операции на костях.


Тактика закрытия раны любой ценой, даже натяжением, приведет к осложнению. От послеоперационных расслабляющих надрезов местная трофика не улучшается, а, наоборот, открывается ворота для инфицирования.


Не всегда удается закрыть рану первичным швом, и применение отсроченной тактики поможет без риска осложнения закрыть даже двухсторонние раны, например, при двухлодыжечных переломах или после фасциотомии. Закрывается первично медиальная, близко к кости, рана, и вторично латеральный доступ.


В ежедневной практике применяем методику приближения краев раны с помощью недорогих эластических сосудистых держалок, которые под натяжением резины сближают края. Такая методика закрытия раны оберегает от чрезмерного увлечения кожной пластикой.



На сегодня существует множество различных механических приспособлений, которые работают на принципе медленного сближения краев ран.

На фото результат от Derma Closure, аппарата, предназначенного для трудно закрываемых дефектов кожных покровов.





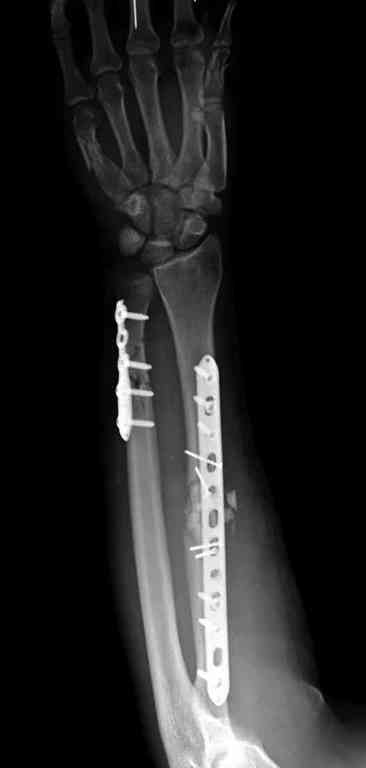
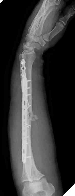
Множественная огнестрельная травма конечностей, перелом костей предплечья, фиксация в первые часы и дефект мягких тканей, мероприятия по закрытию...


Djoldas Kuldjanov, M.D.
Department of Orthopedic Surgery
St. Louis University
  • Сообщения о Общие вопросы/General questions
  • Также Djoldas Kuldjanov
  • Связаться с автором
  • Ответить

    Re: Способ ушивания ран
    Abdurashid 09 Август 2010, 20:13


    Джолдас, Спасибо!
    [ Ответить ]

    Re: Способ ушивания ран
    Тимур 09 Август 2010, 23:47
    Большое спасибо, Джолдас. Особенно понравился приведенный пример. Такая тактика при огнестрельных переломах не перестаёт удивлять. Хотя понятно, что при таких возможностях она полностью обоснованна.
    Присоединяюсь ко всем, с завистью смотревшим, на эти фотографии.
    [ Ответить ]

    Re: Способ ушивания ран
    Белокопытов Петр 24 Август 2010, 00:53
    Что за вещество желтоватого цвета на элементах АНФ на 11 и 12 снимках (по порядку).
    Спасибо.
    [ Ответить ]


    ( Ответить )

    Powered by Zope  Squishdot Powered MedLink
    Посетитель: 0405599
      "По форме правильно, а по существу - издевательство" В.И.Ленин
    ©2001-2019Orthoforum Coordinator.
    [ Главная | Отправить сообщение | Поиск | Админ ]