ВХОД ДЛЯ ПАЦИЕНТОВ
вверх
поиск
админ
главная
исходное
|
Re: Последствия открытого перелома дистального отдела бедра
послал Djoldas Kuldjanov 17 Сентябрь 2010, 02:12
|
Все ипсилатеральные переломы относятся к категории нестабильных, и лечение их бывает сложным из-за двойного перелома вокруг сустава (floating joint). Основная тактика состоит в проведении поэтапного лечения с окончательной фиксацией cуставной поверхности.
На первом этапе с задачей справляется наружный фиксатор, который создает благоприятные условия для закрытия ран и контролирует длину конечности. На данном этапе рекомендована КТ, чтобы увидеть топографию фрагментов для расчета направления фиксирующих элементов.
Состояние мягкотканого покрытия подскажет о готовности к окончательной фиксации. При дефектах кости придерживаются тактики максимального сохранения костной массы.
На вашем снимке из-за ротации трудно угадать положение пластины, и желательно сделать снимок с захватом верхнего участка бедра.
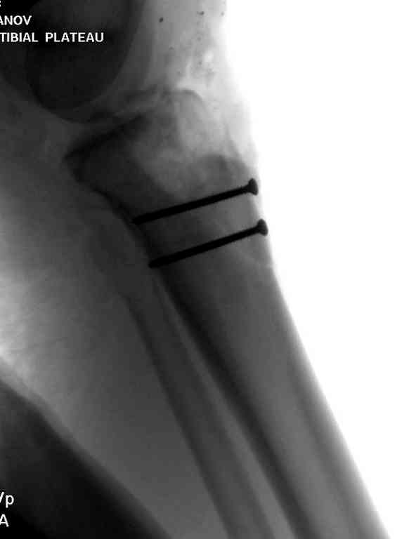
Одинокий кортикальный шуруп не удержит тибиальный бугор, сустав тибиал плато оставлен без репозиции и фиксации.
План с протезированием чересчур агрессивный, больная слишком молодая. В данный момент для удержания конструкции необходимо установить наружный фиксатор между бедром и голенью. Обработку продолжать с применением антибиотиков и вакуумирования.
Возможно, удастся сохранить из того, что осталось, или перевести больную в стационар где имееюся адекватные условия.
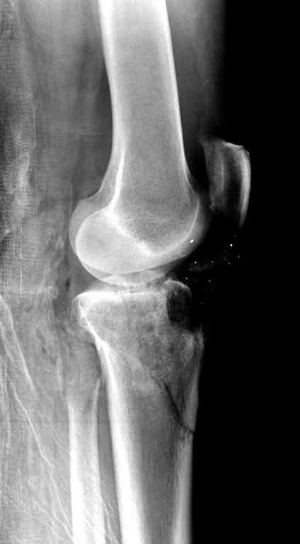
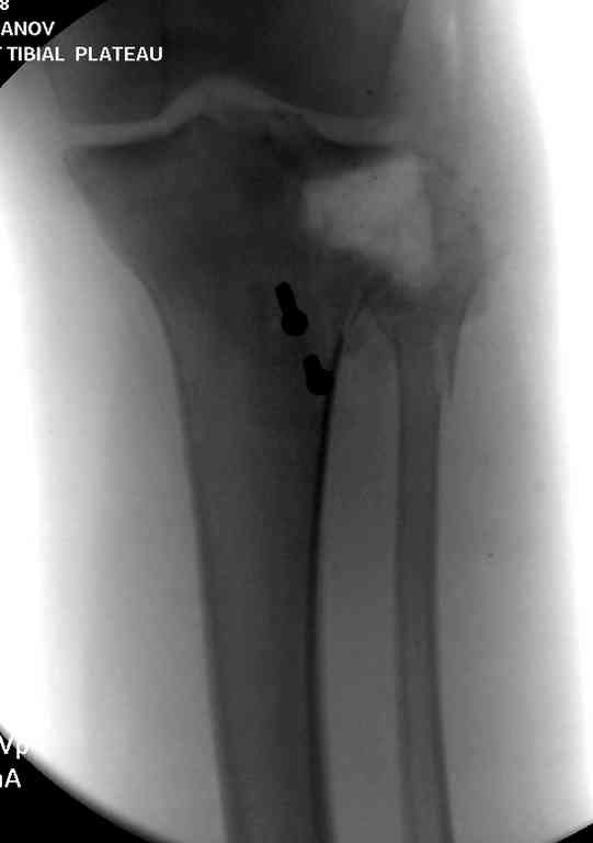
Здесь применение материала Plexur http://www.plexur.com для пластики при дефектах кости у больной с огнестрельной раной латерального тибиал плато с повреждением малоберцового нерва. Несмотря на интактный медиальный мышелок, для профилактики от вальгуса установлен АВФ и сделана ангиограмма.

После нескольких обработок и вакуумирования, поэтапно сделана фиксация тибиального бугра шурупами. И окончательную фиксацию закончили латеральной пластиной для тибиал плато и установкой пластического материала.
Для закрытия мягкотканых дефектов привлечена другая служба.
Djoldas Kuldjanov, MD
Department of Orthopedic Surgery
St. Louis University Medical Center
|
| Послать ответ |
Обратите внимание: Поля с жирными названиями обязательны.
Старайтесь отвечать в рамках обсуждаемой темы, а не начинать новые обсуждения.
Указывайте адекватную тему сообщения, чтобы было ясно, о чем оно.
Не послайте сообщений не по теме (оффтопик), раздраженных, грубых или обидных комментариев. Здесь это неуместно.
|