вверх
отправить
поиск
админ
главная
Предыдущее
|
Re: Перелом голени
Djoldas Kuldjanov 26 Сентябрь 2010, 00:16
|


В остром периоде для стабилизации перелома подойдет любой дистракционный аппарат "голень-стопа", и больной получит свободу от скелетного вытяжения.
Из нашего опыта при переломах голени с высокой энергией одним из частых осложнении является компартмент синдром, но КС наблюдается при переломах тибиал плато чаще, чем при дистальных переломах голени.
КС является временным, переходящим в необратимый процесс, и после нескольких дней нельзя восстановить потерянную функцию нерва и мыщц фасциотомией. Нет ли тут КС, лечащие врачи могут уточнить обследованием неврологического статуса и функции мышц на голени. Это необходимо для документации и для разработки тактики дальнейшего лечения.
Больному 46 лет, активный, молодой, и не стоит так долго держать на вытяжении. Тем более, АВФ комфортабельнее, лучше переносят, а при односторонних повреждениях больные могут передвигаться с помощью костылей без посторонней помощи.
Мы применяем обычные стержневые аппараты, но у кольцевых свои имущества, их в нужный момент с помощью дополнительных колец или спиц можно превратить в постоянный.
>"мыщелок левой голени будет прооперирован - репозиция, синтез пластиной с костной пластикой, при необходимости удаление повреждённой части мениска"
Для внутрисуставных переломов необходимо идеальное сопоставление, а такая задача без КТ срезов усложнится. Только КТ надо делать после дистракции сустава, иначе нельзя получить объективную информацию.
Около 60% переломов тибиал плато характеризуются мягкоткаными повреждениямм - разрывы суставной капсулы, связок и менисков. Мениск повреждается спереди со стороны перелома.
Тактику удаления мениска во время восстановления считаю ошибочной, наоборот, всеми путями надо его сохранить, потому что предупреждает от деформирующего артроза.
"Removal of a meniscus during the fracture surgery resulted in secondary degeneration in 74% of the cases. When a meniscus was intact or repaired, the proportion of degenerative cases was only 37%. Normal or slight valgus alignment of the tibial plateau with intact menisci protected best against secondary degeneration. On the other hand, medial or lateral tilt of the tibial plateau with a removed meniscus was followed by osteoarthritis in most cases. Honkonen SE., J Orthop Trauma. 1995"
Основная задача в лечении околосуставных переломов является создание солидного базиса в субхондральной зоне. Пластина подпорка (Butress) или субхондральные перкутанные шурупы в виде плота (Raft) для ранних движении.
(из доклада, который будет представлен на Вреденовских чтениях 8-9 Октября 2010 в Санкт-Питербурге).
У больного двухстороннее повреждение, ограничен в нагрузке не менее 8-10 недель. После односторонней фиксации будет активным, хотя бы в пределах койки. Без спешки дождаться улучшения кожных покровов, и аппаратом Илизарова в комбинации с шурупами или спицами, из мини-доступов.
>"Взял разные пластины - Т и Г образные большеберцовые мыщелковые пластины максимальной имеющейся длины, DCP пластину"
Все названные пластины не пригодны для фиксации мельких фрагментов. Сейчась многие компании имеют периартикулярные пластины достаточной длины с возможностью установки в мульти аксиальном направлении более тонкими шурупами вместо 3.5мм. Шурупы 2.7 мм не раскалывая позволяет удержать фрагменты в дистальном сегменте.
Пластина от DePuy отвечает всем требованиям, но могут быть и другие варианты. Репозицию закончивается костной пластикой или заполнением синтетическими заменителями иначе поведет в варус.
Отсутствие материала не причина не делать хорошую репозицию, или лучше перевести больного туда, где больше возможностей. Александр прав, вместо пластины предпочтительным будет фиксировать аппаратом Илизарова.
Насчет артродеза, сустав то не очень хороший, и в зависимости от полученного результата, кто даст гарантию, что не продолжим дискуссию очень скоро...
|
|
|
Ответить
|
Re: Перелом голени
Michael Berenstein 01 Октябрь 2010, 01:04
|
Здравствуй Джолдас!
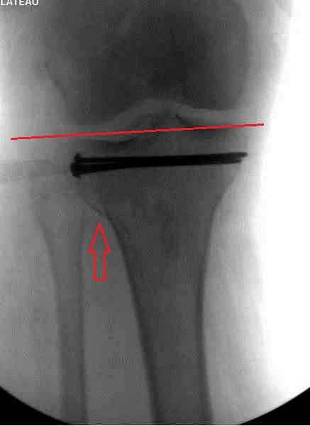
Как всегда прекрасная презентация. Совершенно согласен с необходимостью сохранять мениск и вообще согласен со всем, кроме одного. Фиксация должна проводиться после правильно выполненной репозиции. Главная цель репозиции - это восстановить высоту наружного мыщелка. В норме наружный мыщелок выше внутреннего на 4-5 мм на снимке в переднее заднем направлении АР.
Необходимость репозиции возникает при снижении высоты от 3 до 5 мм по разным источникам. По моему опыту 4 мм. Если не восстановить высоту мыщелка возникает вальгизация коленного сустава с относительным расслаблением передней крестообразной связки. При этом развивается нестабильность коленного сустава из-за недостаточности ПКС.
По этому если фрагмент большой есть необходимость репозиции дистального угла и фиксация пластинкой против соскальзывания ANTIGLIDING PLATE. Если перелом фрагментарный? то очень помогают описанные субхондральные шурупы RAFT, но
чтобы сохранить высоту суставной площадки шурупы одним концом должны опираться на пластинку а другим - на кортекс по внутренней стороне. Идеально сочетание ANTIGLIDING BUTRESS PLATE + RAFT SCREWS.

На представленном после операционном снимке нет репозиции, на что указывает низкое положение тибиального плато и перекрытие кортикальных пластинок в метафизарной части - указано стрелкой. Обычно чрескожную фиксацию я применяю
при переломе без депрессии отломка, или если после СТ понятно, что можно сделать закрытую репозицию, то шуруп с шайбой можно установить прямо в угол, что предотвращает скольжение отломка.
С наилучшими пожеланиями
Михаил Беренштейн
|
[
Ответить ]
|
( Ответить )
|
|