AOTRAUMA.ORG Центр Илизарова  

Ортопедия и травматология Общие вопросы/General questions Help Информационные технологии в медицине
 ВХОД ДЛЯ ПАЦИЕНТОВ
 вверх
 поиск
 админ
 главная


Перелом пяточной кости
Ортопедия и травматология Прислано Abdurashid 21 Сентябрь 2010, 00:55
из
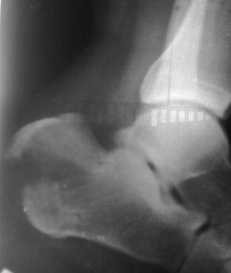
Здравствуйте, уважаемые коллеги. Обратился больной 29лет, через 25 дней после травмы с переломом обеих пяточных костей, слева без смещения, справа внесуставной отрывной перелом бугра пяточной кости (утиный клюв) в гипсовой повязке.
После снятия гипсовой повязки в обл. смещенного бугра имеется некроз м/тканей с образованием тонкой плотной корочки, спаянный с костью.
Честно сказать, пока не знаю что делать, если даже мимо некроза вводить стержень Щанца и попробовать опустить "клюв", рвется некроз с оголением кости, может присоединится инфекция,и остеомиелит на всю жизнь. Если по методу Илизарова, тоже может быть такая же история.
Если не трогать, то болезненная деформация в месте контакта с обувью, укорочение 3глав.мышцы, нарушение походки и т.д.
Если еще ждать до заживления раны или аутодермопластики - тогда что, можно ли будет оперировать и каким способом?
Р-снимки не качественные, снял на моб. на улице, поэтому прошу прошения!
С уважением Абдурашид.

Послать ответ

Имя
Email
Уведомление Сообщить мне по e-mail об ответах на это сообщение
Название
Комментарий
(Проверьте URL! Не забудьте написать http://!)
Кодировка
Если не знаете, что выбрать, выберите "Просто текст"!
Приложение
Можно приложить к сообщению файл c изображением, который затем будет доступен увидевшим сообщение.
Подготовка иллюстраций:
  • Рентгенограммы: черно-белые полутоновые изображения в формате JPEG (8 bit, greyscale) с разрешением от 300х200 до 1024х768 пикселов;
  • Клинические фотографии: полноцветные изображения в формате JPEG (24 bit, truecolor) с разрешением от 300х200 до 1024х768 пикселов;
  • Схемы и рисунки: черно-белые (2 bit) штриховые (line-art) изображения в формате GIF или compressed TIFF
  • Подберите степень сжатия файла JPEG и размер изображения таким образом, чтобы необходимые детали были различимы, но размер файла не превышал 75 кб.
  • Учтите, что текущая версия программного обеспечения Форума позволяет приложить к одному сообщению лишь один файл-вложение. Поэтому, если необходимо отправить несколько изображений, можно либо послать каждое как отдельное сообщение, либо в графическом редакторе объединить изображения в одно (сделать коллаж).
  • Если при подготовке изображений встречаются трудности, не стесняйтесь обратиться к координатору Форума.

  • Введите видимые символы в обратном порядке. Enter the above characters in reverse order (*Обязательно)
    В тексте сообщения можно использовать теги HTML <B> <I> <P> <A> <LI> <OL> <UL> <EM> <BR> <TT> <HR> <STRONG> <BLOCKQUOTE> <DIV .*> <DIV> <P .*>
  • Обратите внимание: Поля с жирными названиями обязательны.
  • Старайтесь отвечать в рамках обсуждаемой темы, а не начинать новые обсуждения.
  • Указывайте адекватную тему сообщения, чтобы было ясно, о чем оно.
  • Не послайте сообщений не по теме (оффтопик), раздраженных, грубых или обидных комментариев. Здесь это неуместно.
  • Powered by Zope  Squishdot Powered MedLink
    Посетитель: 0188927
      "По форме правильно, а по существу - издевательство" В.И.Ленин
    ©2001-2019Orthoforum Coordinator.
    [ Главная | Отправить сообщение | Поиск | Админ ]