AOTRAUMA.ORG Центр Илизарова  

Ортопедия и травматология Общие вопросы/General questions Help Информационные технологии в медицине
 вверх
 отправить
 поиск
 админ
 главная
 Предыдущее


Re: rami nonunions
Milton L. Routt 16 Октябрь 2010, 01:03
I’ve operated on 30-35 similar symptomatic patients... usually females in that same age range and most with prior trauma and then with sustained chronic activity related pain due to presumed insufficient healing and resultant ring instability (enough to hurt but not displace too much)...almost all have xray evidence of most of us would consider “hypertrophic” ramus nonunions, and most all have some form of sacral or other posterior ring corresponding injury.

If you examine them for mechanical ring instability, you’ll feel them collapse in your hands as you do... most are overweight to fat to downright obese so the mechanical examination can be a real challenge, but when you anesthetize them you can repeat it under fluoroscopy and see the ramus collapse and displace.

I’ve always inserted/packed/filled them up with medullary ramus screws anteriorly and then filled them posteriorly with multiple iliosacral screws at multiple levels as possible based on numerous clinical osteological factors.

Greg Altman was a visiting surgeon at HMC about 12 years ago and published one of my first patients that I noted with this problem treated percutaneously....she was one of the first ones that I noticed with this condition when I thought that these were rare and unusual.

Altman GT, Altman DT, Routt ML Jr. Symptomatic hypertrophic pubic ramus nonunion treated with a retrograde medullary screw. J Orthop Trauma 2000;14:582–5.

You can send them to the metabolic workup expert after they are stabilized...they get around much better then.

I’ve never made them stop smoking, but few even do smoke.

Some think that they are crazy because they’ve seen so many physicians and surgeons by the time they get to you...some have been to pain clinics and psychiatrists but they just hurt and can’t get around.

Some have urinary symptoms that resolve after stabilization.

Their bone quality and fat can frustrate the routine operative pelvic imaging but that’s no different for those with acute ring injuries, so you should be used to that by now.

We stabilized percutaneously a similar 54yo lady recently with 4 months old bilateral anterior and posterior ring injuries....she called in 2 weeks after surgery to ask when she could have sex again, and then promptly checked out of the nursing facility and is walking against our advice when I told her that she could have sex whenever it didn’t hurt her.

If you stabilize them simplistically, they get comfortable quickly, heal, and enjoy their lives.

I did one “atrophic” symptomatic ramus nonunion percutaneously about 2 years ago and it took her about 3 months to get comfortable...she was extremely active after surgery and hurt longer than she should have and her films were slow to show union...I was concerned that she was not going to heal, but she did but slower than her hypertrophic friends.

mlcr
  • Сообщения о Ортопедия и травматология
  • Также Milton L. Routt
  • Связаться с автором
  • Ответить

    Re: rami nonunions
    dan schlatterer 16 Октябрь 2010, 01:50
    Dr. Routt,
    Thank you very much. I was hoping you would weigh in on this case. I will keep you posted on her progress. at this point she wants to think about ssurgery a bit more. your email was very helpful in my conversation with her this morning. much appreciated, thanks again.
    dan

    Daniel R. Schlatterer, DO, MS
    Vice Chairman, Orthopedic Surgery Residency Program
    Atlanta Medical Center
    [ Ответить ]

    • Re: rami nonunions
      Отправитель: Milton L. Routt 16 Октябрь 2010, 13:51
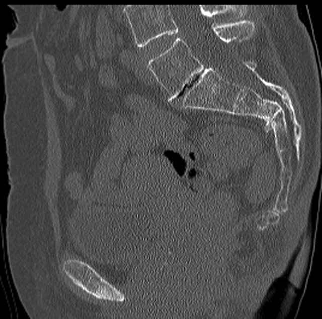
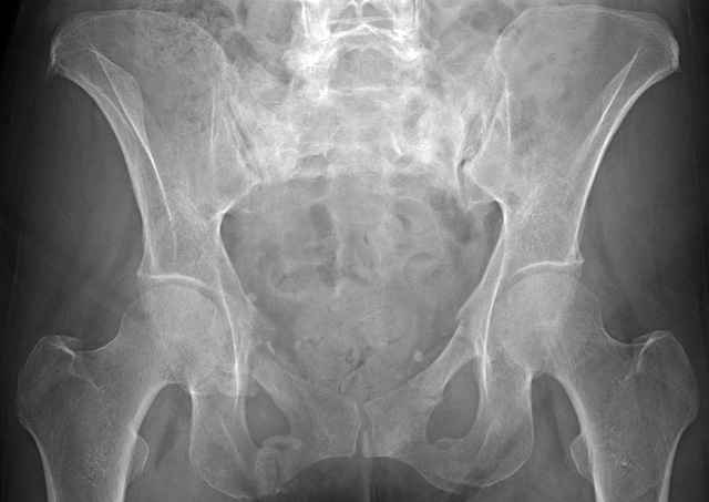
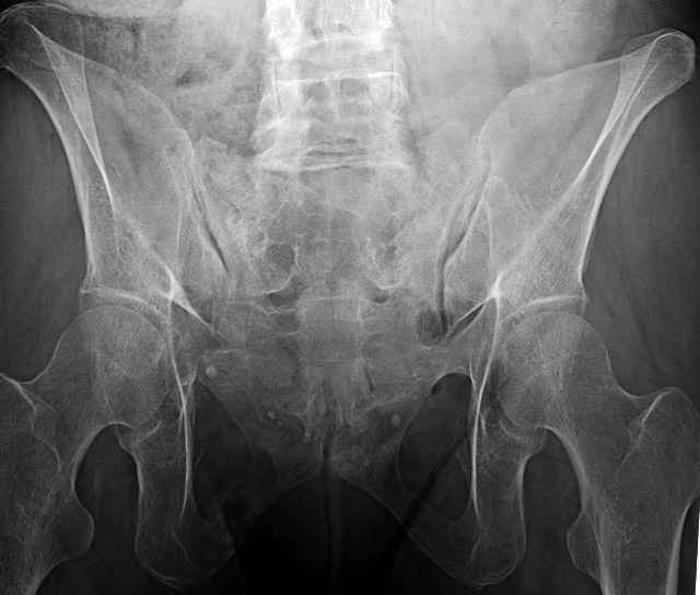
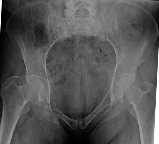
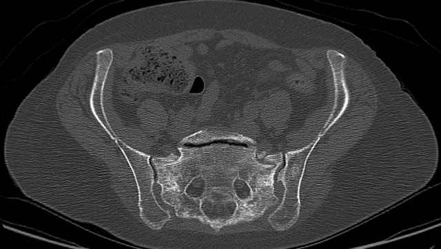
      Here are a recent patient’s example slides...




      54 yo Female Fell c/o Pain
      Initial Films
      ?Instability on Exam - Limited by Pain
      NonOp Initial Mgmt



      3 Months After Fall
      Continued Pain & Immobility
      (+) Instability to Compressive Manual Exam



      Pelvic CT Scan - 3 Months After Fall
      Sacral Injuries
      Ramus Fractures




      Percutaneous Fixation
      (B) Ramus-Retrograde
      2 TransIliac-TransSacral
      Upper Segment

      mlcr


      [ Ответить ]

     

    ( Ответить )

    Powered by Zope  Squishdot Powered MedLink
    Посетитель: 0022842
      "По форме правильно, а по существу - издевательство" В.И.Ленин
    ©2001-2019Orthoforum Coordinator.
    [ Главная | Отправить сообщение | Поиск | Админ ]