вверх
отправить
поиск
админ
главная
Предыдущее
|
Re: Ложный сустав бедра
Dr Alex 20 Октябрь 2010, 01:02
|
Спасибо Вам, уважаемые коллеги.
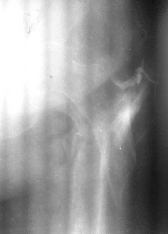
Сразу прошу прощения за качество фистулограммы... лучшего качества не можем добиться.

Фистула функционирует от случая к случаю - последние 2 дня выделений небыло, сделали контрастирование (с трудом вошло 5 мл контраста). Признаков воспаления в зоне поражения нет, лабораторные показатели в пределах нормы. Судя по распростарнению контраста - локальный остеомиелит в месте расположения стержня АВФ
План следующий: 1.контрастирование зелёнкой, ФНСЭ, дренирование+бусы с антибиотиком
2. если нет распространеия контраста в область грушевидной ямки и места перелома - БИОС стержнем с цементным покрытием
3. если распространение в указаные области есть - дренирование, бусы, заживелние раны, дистракция отломков, БИОС
Стоят следующие вопросы: 1. как Вы считаете, целесообразно ли поступить по пункту 1 и 2 в одине этап, или выполнять в два этапа
2. в стаье по изготовлению цементной мантии не указано как оставить в стержне полость для проводника ( ввестипроводник вместе со стержнем? не заклинит ли его внутри после полемиризации? мы думаем ввести проводник и двигать ним до завершения полимеризации, после чего снять трубку и востановить отверстия для болкировки закрытые цементом) у кого есть опыт, поделитесь, пожалуйста
Спасибо))
|
|
|
Ответить
|
Re: Ложный сустав бедра
Alexander Chelnokov 23 Октябрь 2010, 11:06
|
>мы думаем ввести проводник и двигать ним до завершения полимеризации, после чего снять трубку и востановить отверстия для болкировки закрытые цементом)
Да, все так. И даже двигать не надо, просто вставить, и после полимеризации вытащить.
Но действительно, не так уж тут критично введение именно по проводнику. Хотя и страшного особо ничего, делали мы так. Но напомню, есть даже любители цемент поместить не снаружи, а внутри полого стержня, наделав в нем отверстий.
|
[
Ответить ]
|
Re: Ложный сустав бедра
Отправитель: Dr Alex 23 Октябрь 2010, 17:41
|
Спасибо, Александр.
Нам необходимо пользоваться проводником - контролировать введение блокирующих винтов через стержень (нет ЭОПа)
|
[
Ответить ]
|
Re: Ложный сустав бедра
Отправитель: Anton Kovalenko 24 Октябрь 2010, 01:43
|
Блокирование без ЭОПа не значит - обязательное использование проводника и канюлированных стрежней. Главное, чтобы инструмент для дистального блокирования использовался полных комплектом(см. здесь).
Когда мы начинали применять БИОС , с того момента поставили около 800 стрежней и ЭОПа у нас не было. А когда он появился, никто до сих пор не соблазнился использовать "метод свободной руки" для блокирования дистальных отверстий и никакого желания его использовать нет. Прекрасно получается блокировать и без него.
|
[
Ответить ]
|
Re: Ложный сустав бедра
Отправитель: Dr Alex 24 Октябрь 2010, 23:02
|
В комплекте инструментов Chm слоник не приходил ни разу, видел его в другой больнице, не пользовались. Даже при наличии полного набора для навигатора, не всегда получается с первого раза попасть в отверстие для блокировки, если не попадаем с первого раза, в полученное отверстие в кости вводим спицу, которой как щупом пробуем куда она отклоняется (выше или ниже стержня) и соответственно отклоняем навигатор. А проводником контролируем попадание сверла, спицы, винта в отверстие, а как по другому?
|
[
Ответить ]
|
Re: Ложный сустав бедра
Отправитель: Anton Kovalenko 26 Октябрь 2010, 08:18
|
Мы тоже не сразу пользоваться стали, но когда попробовали отказаться уже не смогли ни на бедре, ни голени :) Не экономьте время на педантичной настройке дистального нацеливателя, мы собираем систему до разреза (семь раз отмерь).Если "слоник" точно попал на гвоздь - попадание с первого раза. Разумеется, чем больше и чаще ставишь, тем точнее понимаешь, что "слоник" сработал до блокирования. И потом есть другие системы нацеливания (др. фирм), не знаю что еще именно у Вас есть .
|
[
Ответить ]
|
Re: Ложный сустав бедра
Отправитель: Dr Alex 26 Октябрь 2010, 23:23
|
Спасибо, Антон. Слоник заказали, воспользуемся, собираем систему дистальной навигации заранее. Постоянного набора инструментов для БИОС в ЛУ нет, какой стержень заказал, такой инструмент передают. Сделаем канал для проводника, чтоб удостоверится в блокировке
|
[
Ответить ]
|
|
( Ответить )
|
|