ВХОД ДЛЯ ПАЦИЕНТОВ
вверх
поиск
админ
главная
|
Несращение диафиза плечевой кости |
 |
 |
 |
Прислано Александр Ситник 27 Октябрь 2010, 13:40
из
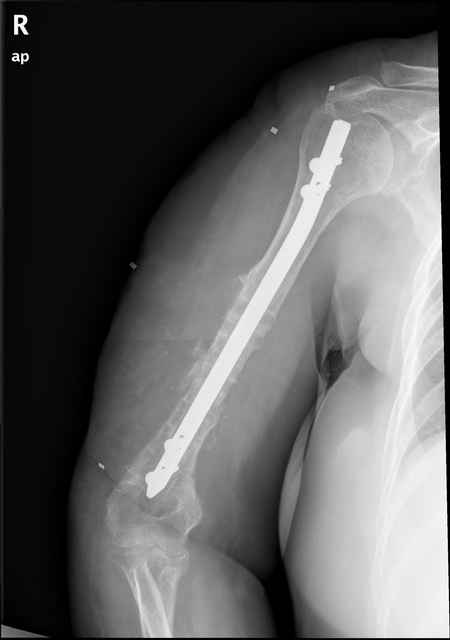
Больная 48 лет, медсестра-массажист, перелом плеча 7 лет назад, оперирована 4-кратно и безуспешно
Больная 48 лет, медсестра. Травма получена 7 лет назад, оперирована первично в Турции - остеосинтез пластиной - несращение - реостеосинтез стержнем там же через год (обычным, с выстоянеием его в полость плеча) - несращение - поступила к нам впервые в марте 2008 года - удаление стержня, реостеосинтез пластиной и костная пластика, в течение 2 лет лизис кости вокруг винтов, смещение фиксатора, в марте 2010 - удаление пластины, реостеосинтез интрамедуллярным стержнем с блокированием (рассверливание + костная пластика). В динамике - вновь лизис в области перелома, нестабильность дистальных блокирующих винтов.
Два отягощающих момента:
(1)после первых операции имелся неврит лучевого нерва - в настоящее время все ОК и
(2) лет 9 назад оперирована по поводу заболевания молочной железы с той же стороны с облучением.
Вопрос: как стимулировать сращение в сложившейся ситуации?
Спасибо,
А. Ситник
Обратите внимание: Поля с жирными названиями обязательны.
Старайтесь отвечать в рамках обсуждаемой темы, а не начинать новые обсуждения.
Указывайте адекватную тему сообщения, чтобы было ясно, о чем оно.
Не послайте сообщений не по теме (оффтопик), раздраженных, грубых или обидных комментариев. Здесь это неуместно.
|