вверх
отправить
поиск
админ
главная
|
Застарелый вывих лучевой кости |
 |
 |
 |
Отправлено Вадим 04 Ноябрь 2010, 23:34 госпиталь
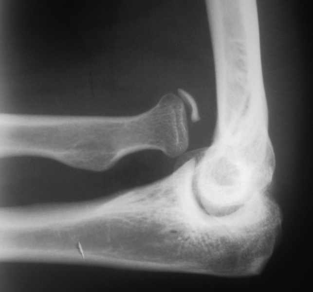
Мужчина 28 лет. Поступил в отделение по поводу: застарелого вывиха левой лучевой кости. Со слов больного травму получил в 2001 году (предположительно переломовывих Монтеджи). 4 месяца назад начало беспокоить онемение в левой руке, от кончиков пальцев до верхней трети левого предплечья, по утрам. После разминки эспандером, онемение проходит. При осмотре: левая верхняя конечность без видимой деформации. В проекции локтевой ямки пальпируется, выстоящая головка лучевой кости, пальпация безболезненна. Пальцы левой кисти теплые. Чувствительность не изменена. Хотелось бы узнать мнение коллег по поводу тактики лечения такого пациента.
<
|
>
|
|
Ответить
|
Re: Застарелый вывих лучевой кости
Ostanin 05 Ноябрь 2010, 11:22
|
Если функция сустава нормальная и нет грубой нестабильности - либо резекция головки луча, либо вообще ничего. (COO, 11th ed, Chapter 58 – Old Unreduced Dislocations)
|
[
Ответить ]
|
Re: Застарелый вывих лучевой кости
Отправитель: Адонин 05 Ноябрь 2010, 19:50
|
согласен. Я - за резекцию, так как есть неврология. было бы очень неплохо, если бы Вы подробнее поисали характер онемения
|
[
Ответить ]
|
|
( Ответить )
|
|