AOTRAUMA.ORG Центр Илизарова  

Ортопедия и травматология Общие вопросы/General questions Help Информационные технологии в медицине
 ВХОД ДЛЯ ПАЦИЕНТОВ
 вверх
 поиск
 админ
 главная


Рассекающий остеходрит + киста шейки тарана
Ортопедия и травматология Прислано Владимир М. Троицкий 05 Ноябрь 2010, 13:48
из
Уважаемые коллеги, обратился за помощью пациент, мужчина, 25 лет. С жалобами на болевой синдром в области голеностопного сустава и среднем отделе стопы.
Травму отрицает. Со слов, болевой синдром в течении 1 года. Последние 1-1.5 мес периодически вынужден пользоваться костылями. После ограничения нагрузки боли уменьшаются. Соматически здоров. До появления болей активно занимался рукопашным боем.
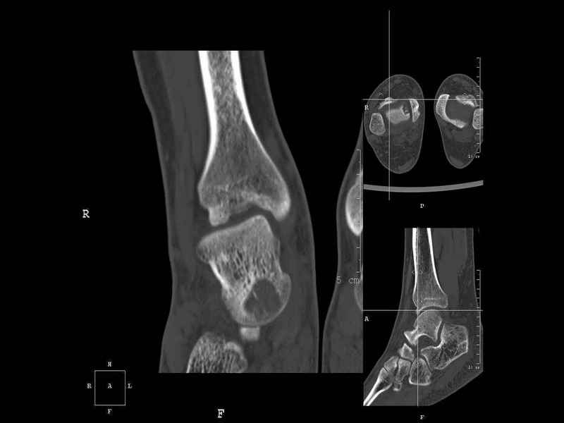
На СКТ картина рассекающего остеохондрита блока таранной кости, киста шейки таранной кости с признаками импрессии суставной поверхности. А также - разрастания переднего края б\берцовой кости сопровождающиеся клиникой импиджмент синдрома.
Предполагаемый план лечения- удаление свободного фрагмента суставного хряща из трансмаллеолярного доступа с рассверливанием поверхности дефекта, кюретаж кисты шейки с заполнением полости биокомпозитом + дебридмент переднего отдела голеностопного сустава.
Прошу высказать своё мнение, за и против, предполагаемого плана лечения.
А также по возможности ответить на вопросы:
1. Есть ли необходимость в улучшении васкуляризации таранной кости (например подтаранный артродез).
2. Учитывая планируемое применение биокомпозитного цемента целесообразно ли заполнение им дефекта блока таранной кости с моделированием края суставной поверхности.

В уважением Владимир М. Троицкий.

Послать ответ

Имя
Email
Уведомление Сообщить мне по e-mail об ответах на это сообщение
Название
Комментарий
(Проверьте URL! Не забудьте написать http://!)
Кодировка
Если не знаете, что выбрать, выберите "Просто текст"!
Приложение
Можно приложить к сообщению файл c изображением, который затем будет доступен увидевшим сообщение.
Подготовка иллюстраций:
  • Рентгенограммы: черно-белые полутоновые изображения в формате JPEG (8 bit, greyscale) с разрешением от 300х200 до 1024х768 пикселов;
  • Клинические фотографии: полноцветные изображения в формате JPEG (24 bit, truecolor) с разрешением от 300х200 до 1024х768 пикселов;
  • Схемы и рисунки: черно-белые (2 bit) штриховые (line-art) изображения в формате GIF или compressed TIFF
  • Подберите степень сжатия файла JPEG и размер изображения таким образом, чтобы необходимые детали были различимы, но размер файла не превышал 75 кб.
  • Учтите, что текущая версия программного обеспечения Форума позволяет приложить к одному сообщению лишь один файл-вложение. Поэтому, если необходимо отправить несколько изображений, можно либо послать каждое как отдельное сообщение, либо в графическом редакторе объединить изображения в одно (сделать коллаж).
  • Если при подготовке изображений встречаются трудности, не стесняйтесь обратиться к координатору Форума.

  • Введите видимые символы в обратном порядке. Enter the above characters in reverse order (*Обязательно)
    В тексте сообщения можно использовать теги HTML <B> <I> <P> <A> <LI> <OL> <UL> <EM> <BR> <TT> <HR> <STRONG> <BLOCKQUOTE> <DIV .*> <DIV> <P .*>
  • Обратите внимание: Поля с жирными названиями обязательны.
  • Старайтесь отвечать в рамках обсуждаемой темы, а не начинать новые обсуждения.
  • Указывайте адекватную тему сообщения, чтобы было ясно, о чем оно.
  • Не послайте сообщений не по теме (оффтопик), раздраженных, грубых или обидных комментариев. Здесь это неуместно.
  • Powered by Zope  Squishdot Powered MedLink
    Посетитель: 0176197
      "По форме правильно, а по существу - издевательство" В.И.Ленин
    ©2001-2019Orthoforum Coordinator.
    [ Главная | Отправить сообщение | Поиск | Админ ]