Ответить
|
Re: проксимальный отдел бедра
Максим Королев 06 Ноябрь 2010, 14:07
|
На мой взгляд если у пациентки "куча" сопутствующей патологии, то консервативно вы получите такую же "кучу" осложнений-пролежни, декомпенсация всего. Оперировать-проксимальным бедренным штифтом длинной версией. И ранняя активизация пациентки. Есть опыт и наблюдения таких пациентов, старались оперировать всех.
|
[
Ответить ]
|
Re: проксимальный отдел бедра
Отправитель: Александр Кутков 06 Ноябрь 2010, 14:50
|

Уважаемый Максим, поддерживаю Вашу тактику на сто процентов. Более того скажу, что было в моей практике: установка блокированного бедренного стержня под местной анестезией (инфильтрационной), больная инвалид первой группы-анестезиологи отказались от больной. Выписана из отделения через 10-ть суток с объёмом движений до перелома (обслужи себя сам). Автору поста, чем меньше продержите до операции, тем лучше эфект от лечения (но без фанатизма).
Спасибо.
|
[
Ответить ]
|
Re: проксимальный отдел бедра
Отправитель: Станислав Рангаев 06 Ноябрь 2010, 17:49
|
какой фиксатор предпочтительнее и как быть с нагрузкой в п/операционном периоде? спасибо
|
[
Ответить ]
|
Re: проксимальный отдел бедра
Отправитель: Alexander Chelnokov 06 Ноябрь 2010, 18:36
|
Если правильно вести правильный PFN, нагрузку можно не ограничивать.
|
[
Ответить ]
|
|
Re: проксимальный отдел бедра
Станислав Боярский 06 Ноябрь 2010, 16:37
|

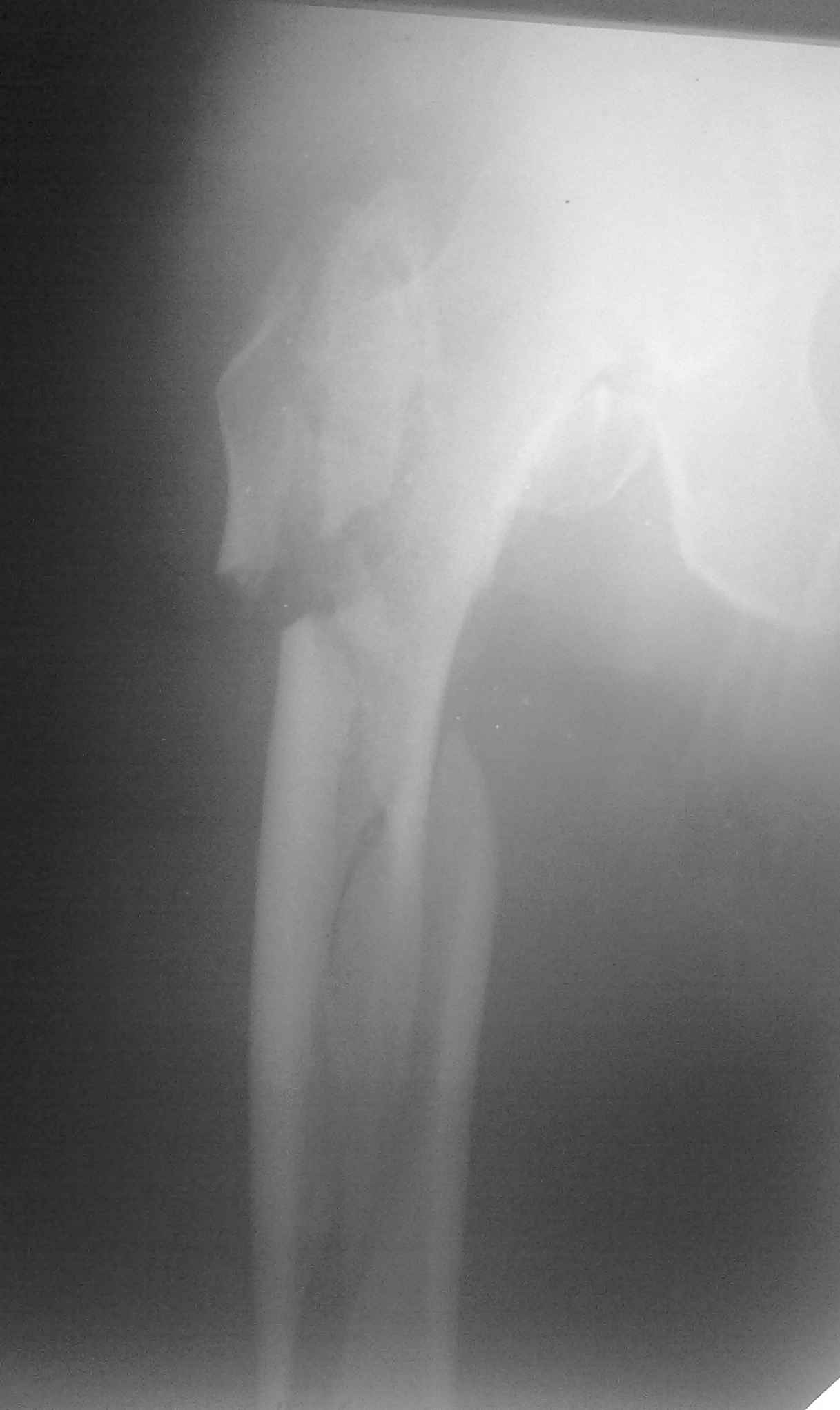
Пациент 83 года. Реконструктивный бедренный стержень Chm
|
[
Ответить ]
|
Re: проксимальный отдел бедра
станислав рангаев 06 Ноябрь 2010, 17:30
|
склоняемся к длинной версии вертельного гвоздя chm mm так 300.проблема в том что такой практики не было,может есть какие нибудь руководства по имплантации такого гвоздя?какие могут возникнуть поблемы и технические трудности.буду признателен за любую информацию.спасибо.очень хотелось бы узнать мнение А.Н Челнокова!
|
[
Ответить ]
|
Re: проксимальный отдел бедра
Отправитель: Alexander Chelnokov 07 Ноябрь 2010, 00:19
|
ср> склоняемся к длинной версии вертельного гвоздя chm mm так
ср> 300.проблема в том что такой практики не было,может есть какие
А где происходят события? Может, больную можно переправить куда-то, где есть кто-то с опытом таких операций? Или к себе такого доктора позвать на эту операцию?
Вообще-то тут много раз обсуждали нюансы техники штифтования при вертельных переломах. Можно поискать по архивам форума.
Ключевой момент - репозиция. Либо тракционный стол с промежностным упором, либо дистрактор таз-бедро. Последниий позволит ногу даже привести.
При репозиции лучше с устранением варусного смещения немножко перестараться.
Рассверливать канал тут не придется.
Попробуйте задать конкретные вопросы, нам издали непросто угадать, что именно вызывает затруднения.
|
[
Ответить ]
|
|
Re: проксимальный отдел бедра
Максим Королев 06 Ноябрь 2010, 18:30
|
Уважаемый, Станислав! Выбор штифта может быть разным по компаниям, зависит от платежеспособности пациента. А по поводу техники стоит обратиться к менеджерам компаний поставляющих "металл" в ваш город все мануалы у них.
|
[
Ответить ]
|
Re: проксимальный отдел бедра
А.Новиков 07 Ноябрь 2010, 23:48
|
Оптимально - удлинённый PFN-A, Гамма гвоздь со спиральным клинком - быстро, надёжно
|
[
Ответить ]
|
Re: проксимальный отдел бедра
Musa Maysigov 08 Ноябрь 2010, 22:05
|
диабет - не абсолютное противопоказание, ревматоидный полиартрит - тем более, 72 года - тоже не особо возраст.
|
[
Ответить ]
|
Re: проксимальный отдел бедра
Михаил 08 Ноябрь 2010, 22:41
|
PFN-A long и чем раньше прооперируете, тем лучше, тем меньше риска вышеописанных проблем а-ля пролежни.
http://products.synthes.com/kyo_international/kyo_eu_trauma/home/pdfframeset.asp?MEDBODYRGN=PROXIMAL%20FEMUR&MEDPRODFAMILY=INTRAMEDULLARY%20NAILS&MEDPRODNAME=PROXIMAL%20FEMORAL%20NAIL%20ANTIROTATION%20PFNA
|
[
Ответить ]
|
Re: проксимальный отдел бедра
Отправитель: Alexander Chelnokov 09 Ноябрь 2010, 08:33
|
Тут сгодится любой проксимальный гвоздь, нет резона на именно PFN-A как-то особо напирать.
|
[
Ответить ]
|
|
Re: проксимальный отдел бедра
станислав рангаев 09 Ноябрь 2010, 17:49
|
коллеги в наличии есть только проксималный гвоздь chm длинна 260мм.отправить мы ее тоже никуда не можем т.к в облати внедряется тока у нас
|
[
Ответить ]
|
Re: проксимальный отдел бедра
Отправитель: Alexander Chelnokov 09 Ноябрь 2010, 18:00
|
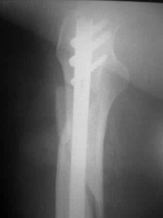
Короткая версия 240 мм. Длинные начинаются с 260 мм? Попробуйте имеющуюся железку приложить к рентгенограмме - скорее всего, 260 мм будет маловато. Должна быть возможность связаться с поставщиком и поменять имеющийся гвоздь на аналогичный нужного размера.
А в какой области это происходит?
|
[
Ответить ]
|
|
Re: проксимальный отдел бедра
кирилл 10 Ноябрь 2010, 00:47
|
А может для первого опыта подобрать и перелом и больную полегче, а в данном случае ограничиться DCS?
|
[
Ответить ]
|
Re: проксимальный отдел бедра
Антон Жаглин 10 Ноябрь 2010, 01:53
|
Мда...не самый удачный случай для начинаний... Думаю, 260 мм здесь явно не подойдет(коротковат), перед разрезом добивайтесь максимально возможной репозиции на столе, определитесь с точкой введения штифта(это принципиальный момент), если физически этой точки не существует, то все равно вводите штифт через то место, где она должна была бы быть, постарайтесь вводить штифт ориентируясь по наружному кортикалу и ни в коем случае не идите диагонально. Сам клинок вводите под контролем в аксиальной проекции (естессно, сначала смотрим спицу в прямой). Удачи!)))
|
[
Ответить ]
|
Re: проксимальный отдел бедра
Антон Жаглин 10 Ноябрь 2010, 02:14
|
И еще: перед разрезом сориентируйтесь и отметьте маркером- ось дистального фрагмента (ориентир для ввода в него штифта), границы большого вертела. Важно ввести штифт в проксимальный фрагмент строго по его анатомическим ориентирам. Для этого устраните его смещения при помощи джойстиков или полуоткрытым способом (костодержателем) и в достигнутом положении вводите штифт.
|
[
Ответить ]
|
Re: проксимальный отдел бедра
Doc-android 10 Ноябрь 2010, 23:49
|
День добрый! 240 мм однозначно короток, нужен миниум 300 мм, а то благие начинания заведут вас в ад осложнений. С диабетом на операции открывть ничего не нужно, только закрытая репозиция на ортопедическом столе под контролем ЭОПа. Без 100% анатомичной репозиции. Восстановить ось и ШДУ.
DHS, DCS , реконструкционный бедренный гвоздь всё это из другой оперы, не для этого перелома. Лучше потратьте время на поиски нужного удлиненного гамма-гвоздя и скорректируйте больную, чем не обдумано рисковать жизнью больной и своей репутацией (совестью).
P.S. А PFNA long действительно шоколад.
Doc-android.
|
[
Ответить ]
|
Re: проксимальный отдел бедра
Антон Жаглин 11 Ноябрь 2010, 01:47
|
С трудом представляю себе закрытую репозицию на столе проксимального фрагмента без применения дополнительных опций в данном случае. Не стоит бояться выполнить небольшой разрез и добиться определения правильных анатомических ориентиров для ввода стержня. Иначе, вполне возможно получить всем известные (и здесь ранее много раз обсужденные) осложнения, тогда -то и вспомните про диабет!!!
|
[
Ответить ]
|
Re: проксимальный отдел бедра
Отправитель: Alexander Chelnokov 11 Ноябрь 2010, 11:12
|
Здесь никаких проблем с репозицией не должно быть. Чем более многооскольчатый перелом, тем все легче. Надо всего-то головку с шейкой да диафиз, а что между ними - не сильно важно. Лишь бы гвоздь не оказался сзади отломков в вертельной области.
|
[
Ответить ]
|
|
Re: проксимальный отдел бедра
Антон Жаглин 11 Ноябрь 2010, 12:59
|
Дык и я о том же! Не о репозиции перелома, а о введении штифта в проксимальный отдел. Если его не вывести, то большая вероятность обмануться и мимо кости ввести штифт.А дальше-то проблем не должно быть.
|
[
Ответить ]
|
Re: проксимальный отдел бедра
Отправитель: Alexander Chelnokov 11 Ноябрь 2010, 17:59
|
АЖ> Дык и я о том же! Не о репозиции перелома, а о введении штифта в
АЖ> проксимальный отдел. Если его не вывести, то большая вероятность

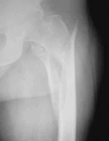
При многооскольчатых переломах стержень может "выпасть" кзади под весом кондуктора и своим, даже если поначалу он вводился правильно. Чтобы эту неприятность предупредить, стоит ввести спицу по оси шейки бедра вдоль ее задней стенки, типа как на картинке. Если стержень кпереди от этой спицы вводить, то он за нее не провалится.
|
[
Ответить ]
|
|
( Ответить )
|