AOTRAUMA.ORG Центр Илизарова  

Ортопедия и травматология Общие вопросы/General questions Help Информационные технологии в медицине
 вверх
 отправить
 поиск
 админ
 главная


Деформация позвоночника
Ортопедия и травматология Отправлено А.В.Владзимирский 11 Ноябрь 2010, 11:32 ДНИИТО
Уважаемые коллеги!
Окажите, пожалуйста, консультативную помощь в данном случае.
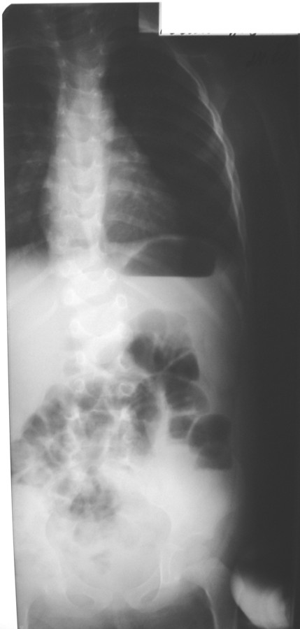
Мальчик, 2008 г.р. Жалобы родителей на деформацию позвоночника и мягких тканей, быструю утомляемость.
Анализ заболевания: деформацию позвоночника родители заметили, когда ребенок стал ходить. Обратились в гор. больницу по месту жительства, где была произведена рентгенография позвоночного столба.
При осмотре: определяется – перекос таза вправо, S–образное искривление позвоночника, ассиметрия надплечий, треугольников талии, правосторонний мышечный валик в поясничном отделе позвоночника.
На рентгенограммах с 1 грудного по 1 крестцовый (прямая проекция) – аномалия развития позвоночника: левосторонний клиновидный позвонок 3 грудного, правосторонний клиновидный позвонок 11 грудного. Добавочный левосторонний клиновидный позвонок между 2 поясничным и 3 поясничным S-образный с ротацией тел. Перекос таза вправо.

Методы дообследования?
Тактика лечения?
Заранее благодарим!

<  |  >

 

  • Сообщения о Ортопедия и травматология
  • Также А.В.Владзимирский
  • Связаться с автором
  • Ответить

    Re: Деформация позвоночника
    Курышев Данила 12 Ноябрь 2010, 02:41
    Надо сделать клизму и повторить снимки в двух проекциях.
    Дальше, вы и без меня это знаете, - рентгеновскую КТГ и МРТ.
    С уваженем и пожеланием успехов!
    [ Ответить ]

    Re: Деформация позвоночника
    Курышев Данила 12 Ноябрь 2010, 02:44
    Надо сделать клизму и повторить снимки в двух проекциях.
    Дальше, вы и без меня это знаете, - рентгеновскую КТГ и МРТ.
    С уваженем и пожеланием успехов!
    [ Ответить ]

    Re: Деформация позвоночника
    Курышев Данила 12 Ноябрь 2010, 02:44
    Надо сделать клизму и повторить снимки в двух проекциях.
    Дальше, вы и без меня это знаете, - рентгеновскую КТГ и МРТ.
    С уваженем и пожеланием успехов!
    [ Ответить ]

    Re: Деформация позвоночника
    Ivan Petrov 12 Ноябрь 2010, 10:49
    1. Выполнить качественные рентгенограммы позвоночника в прямой (AP), боковой проекции, прямой проекции с боковыми наклонами (bending)
    2. При наличии неврологической симптоматики выполнить МРТ
    3. Учитывая жалобы на быструю утомляемость необходимо исключить нейромышечную дисторфию: осмотр неврологом, по показаниям: ЭНМГ, биопсия икроножной мышцы.
    После получения результатов можно планировать тактитку лечения
    [ Ответить ]

    Re: Деформация позвоночника
    Ivan Petrov 12 Ноябрь 2010, 10:52
    PS.Снимки только в положении стоя!

    [ Ответить ]


    ( Ответить )

    Powered by Zope  Squishdot Powered MedLink
    Посетитель: 0000136
      "По форме правильно, а по существу - издевательство" В.И.Ленин
    ©2001-2019Orthoforum Coordinator.
    [ Главная | Отправить сообщение | Поиск | Админ ]