AOTRAUMA.ORG Центр Илизарова  

Ортопедия и травматология Общие вопросы/General questions Help Информационные технологии в медицине
 вверх
 отправить
 поиск
 админ
 главная


Гонартроз 2ст по Косинской. Рецидивирующие синовииты.
Ортопедия и травматология Отправлено Gene 20 Ноябрь 2010, 17:48
Пациентка 20л. 4года назад получила травму коленного сустава.
Характер травмы не поясняет. С тех пор в осенний период обострения болевого синдрома без травмы, рецидивирующие синовииты. Беспокоит только один сустав.
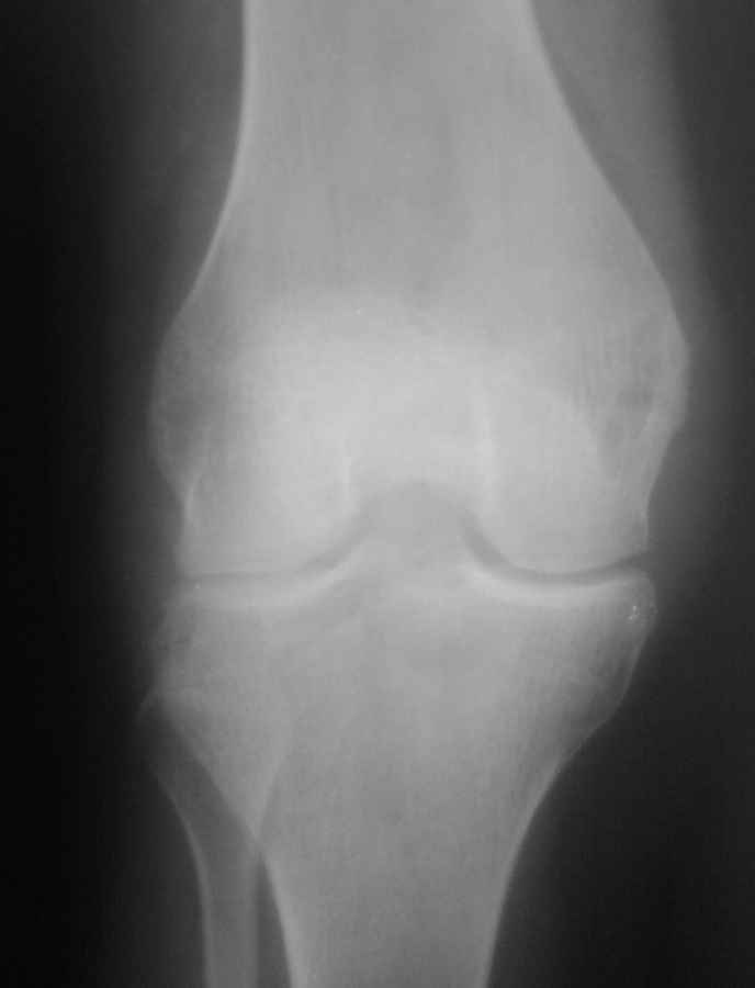
В настоящий момент без наличия травмы - пациентка пришла домой почувствовала боли в коленном суставе, утром коленныйц сустав дословно "разбух", за помощью не обратилась, пила НПВС. Обратилась на 4 сутки При поступлении определяется выраженный отёк, сглаженность контуров коленного сустава, симптомы баллотирования, подковы ярко выражены - кожные покровы теплее окружающих мягких тканей, осевая нагрузка резко болезненна. Пункция - 90мл синовиальной жидкости, насыщенного жёлтого цвета слегка мутновата,с хлопьями. Отправлена на цитологическое исследование. Наложена 2ух лонгетная гипсовая повязка, назначены АБ.На снимках - уменьшение просвета щели коленного сустава, краевые разрастания, видно разряжение плотности эпиметафизарной части бедренной и б\берцовой костей - кистозная перестройка? Мнения по тактике!
Заранее благодарен!

<  |  >

 

  • Сообщения о Ортопедия и травматология
  • Также Gene
  • Связаться с автором
  • Ответить

    Re: Гонартроз 2ст по Косинской. Рецидивирующие синовииты.
    Дедок Михаил 20 Ноябрь 2010, 20:59
    1. флюорография, МРТ, обследование на туберкулез (моча, мокрота, конс фтизиатра).
    2. ПЦР на урогенитальные инфекции (хламидии, микоплазмы, уреаплазма... мазок на ГН)+ ревмопробы
    3. диагностическая артроскопия.
    4. р-грамма в динамике

    а где р-грамма в боковой проекции?
    и сделайте снимки здоровой конечности.
    [ Ответить ]

    • Re: Гонартроз 2ст по Косинской. Рецидивирующие синовииты.
      Отправитель: Волна Андрей 21 Ноябрь 2010, 02:05
      Да~да, я бы начал с туберкулеза и консультации,прежде всего, соотвтствующего грамотного специалиста. Очень похоже. Ну и снимки, конечно- на протяжении и прочее. С уважением. Волна

      [ Ответить ]
    Re: Гонартроз 2ст по Косинской. Рецидивирующие синовииты.
    Gene 21 Ноябрь 2010, 16:52
    Спасибо за помощь!
    Снимки в боковой проекции и КТ.
    Кликните для загрузки файла IMAG0121.jpg
    418KB (428978 bytes)

    [ Ответить ]

    Re: Гонартроз 2ст по Косинской. Рецидивирующие синовииты.
    Gene 21 Ноябрь 2010, 16:56
    КТ.
    Кликните для загрузки файла IMAG0120.jpg
    569KB (583396 bytes)

    [ Ответить ]

    Re: Гонартроз 2ст по Косинской. Рецидивирующие синовииты.
    Gene 25 Ноябрь 2010, 00:57
    В синовиальной жидкости п.Коха не обнаружили, в моче и 3ёх кратно мокроте также чисто, Rg лёгких без патологических изменений.
    Жду результатов пасева на стерильность. Синовия мутная с примесью крови и хлопьями.
    На КТ складывается впечатление, это это Б-нь Кёнинга? в обл. внутреннего мыщелка бедра, но определяютя мелкие кистовидные полости в метафизе б\берцовой кости.
    В анализе синовии капли жира, это о чём может говорить? кроме того, что я упирался в кость при пункции?
    [ Ответить ]

    Re: Гонартроз 2ст по Косинской. Рецидивирующие синовииты.
    doc26 28 Ноябрь 2010, 17:15
    Не указано было что показал ОАК (есть ли признаки воспаления), и общая реакция организма - температура, интоксикация? Действительно похоже и на болезнь Кенига, и на воспаление гематогенно-инфекционной этиологии. Социальный статус больной? Хронические интоксикации? (наркомания)
    [ Ответить ]


    ( Ответить )

    Powered by Zope  Squishdot Powered MedLink
    Посетитель: 0000196
      "По форме правильно, а по существу - издевательство" В.И.Ленин
    ©2001-2019Orthoforum Coordinator.
    [ Главная | Отправить сообщение | Поиск | Админ ]