AOTRAUMA.ORG Центр Илизарова  

Ортопедия и травматология Общие вопросы/General questions Help Информационные технологии в медицине
 вверх
 отправить
 поиск
 админ
 главная


Причина раскручивания?
Ортопедия и травматология Отправлено александр ерохин 21 Ноябрь 2010, 04:43
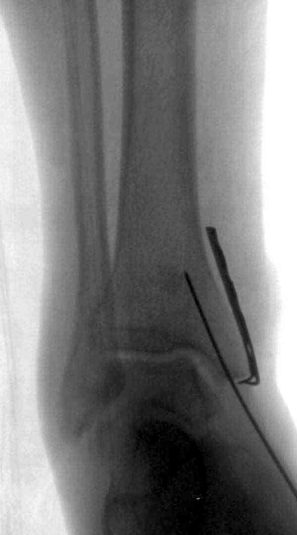
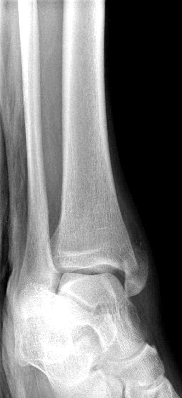
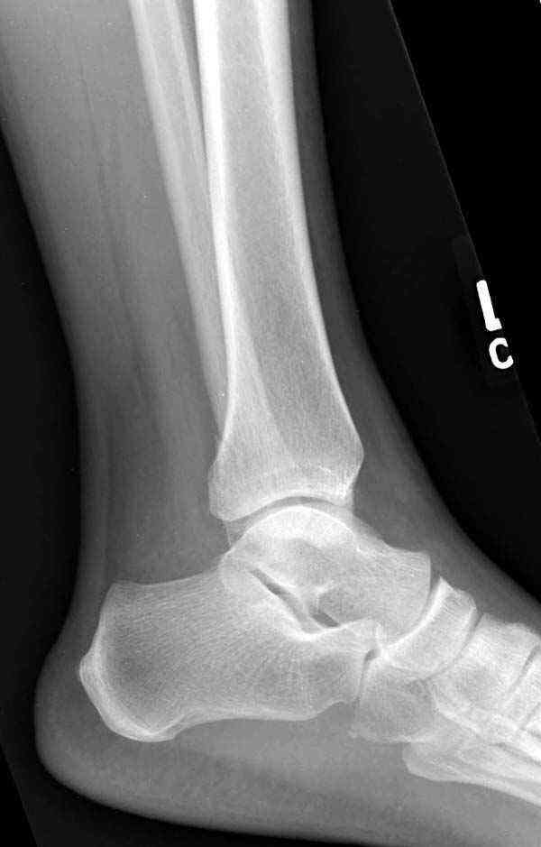
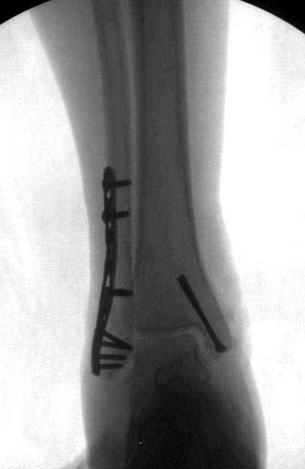
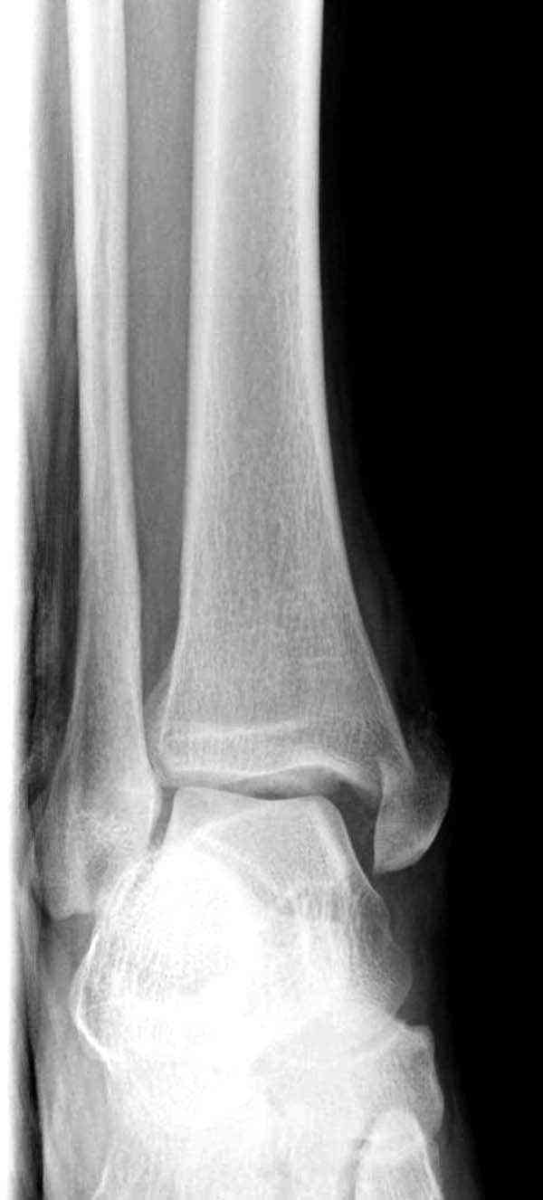
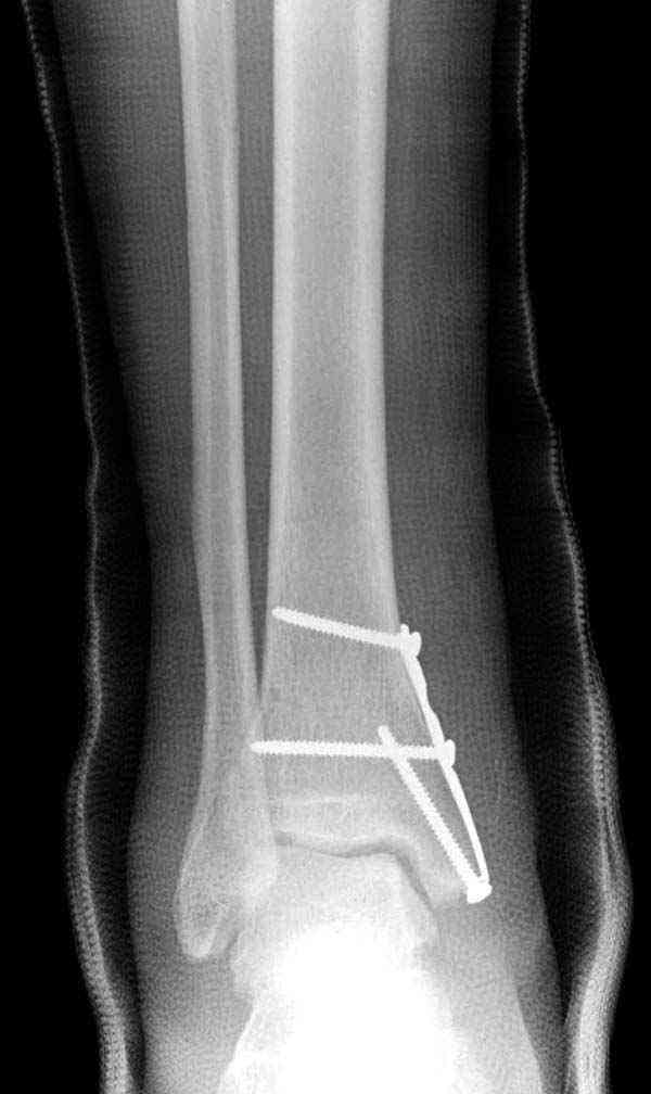
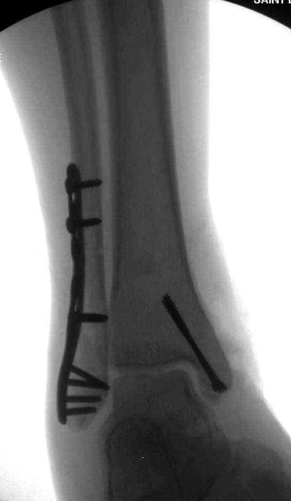
Случай прошлого года:пациентка-молодая ,крупная женщина ,30лет.Травма в начале апреля 2009г-пронационный перелом лодыжек с подвывихом стопы.Ко мне обратилась через 35 дней,прооперирована 22.05.2009г.Внутренняя лодыжка фиксирована по Веберу,наружная реконструктивной пластиной с наложением болта-стяжки.Иммобилизация "сапожок" в течении месяца,затем пригипсовано "стремя".Гипс снят 10.07.2009г
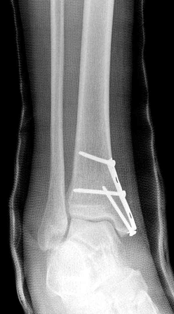
Достаточно быстрое восстановление функции.В октябре 2009г-почувствовала боль,в области рубца над гайкой открылся свищ.На Р-граммах-консолидация переломов и смещение гайки по стяжке.10.11.2009г-конструкции удалены,санация,заживление ран.В настоящее время пациентку ничего не беспокоит.На операции-раскручивание гайки-болталась на конце стяжки.Вопросы:какой механизм раскручивания и что я неправильно сделал?Свои версии:1)в области синдесмоза успела образоваться рубцовая ткань,которая при движении в суставе"пружинила",поскольку голеностопный сустав является спиральным, то и биомеханика подобна кривошипному механизму.2)Реконструктивная пластина не "реконструировалась" по форме лодыжки.Наложил,как есть.То есть подпружинивала сама пластина.Ну,это мои догадки.Что нужно,чтобы избегать впредь таких,пусть и не "страшных"осложнений:Рассверливать через лодыжку область синдесмоза?Ставить шайбу-гровер?Тщательно моделировать пластину?Прилагаю сравнительные снимки-сразу после операции и перед удалением конструкции.

<  |  >

 

  • Сообщения о Ортопедия и травматология
  • Также александр ерохин
  • Связаться с автором
  • Ответить

    Re: Причина раскручивания?
    Николай Гарькавый 21 Ноябрь 2010, 20:02
    Я думаю, на данном сегменте небходимо четко моделировать имплант по рельефу кости всвязи с отсутсвием запаса ткани и пружинящий эффект будет минимален. Рассверливать лодыжку на уровне синдесмоза не следует, т.к. у молодой пациентки это приведет к формированию синостоза. Что касается "раскручивания" гайки, по моему мнению, снимки сделаны в ротации, а шайба лежит на мягких тканях, отсюда и микроподвижность. ИМХО. Ничего подобного не встречал в своей практике.
    [ Ответить ]

    Re: Причина раскручивания?
    Иван Кравченко 21 Ноябрь 2010, 23:14
    хочется спросить, а почему пластина не реконструировалась? я думаю, что причина раскручивания в плохом моделировании пластины и как следствие, подвижность и пружинящий эффект.
    [ Ответить ]

    Re: Причина раскручивания?
    Александр Кутков 21 Ноябрь 2010, 23:57
    Уважаемый Александр!
    Создаётся впечатление,что болт-стяжка не раскрутился, он не дотянут изначально, и просто мигрировал с течением времени, под действием циклических нагрузок, в латеральную сторону, образовал пролежень и перфорировал кожу. И подвывих не до конца установленным болтом-стяжкой устранён не полностью. Это, что можно сказать по представленным снимкам. А пластину особенно в этой локализации всё таки необходимо моделировать особенно тщательно, я вообще зачастую устанавливаю её по задней поверхности, естественно с моделированием.
    Спасибо.
    [ Ответить ]

    • Re: Причина раскручивания?
      Отправитель: Астафичев Михаил 22 Ноябрь 2010, 00:53
      Адекватная репозиция малоберцовой кости, репозиция синдесмоза, позиционный винт (не стягивающий!). Минусы болта-стяжки обсуждались неоднократно

      [ Ответить ]
    Re: Причина раскручивания?
    дмитрий Бондарь 23 Ноябрь 2010, 01:10
    Добрый вечер, коллеги! Хотелось бы увидеть стандартные проекции, прямо, боком и мортиз. Дело скорее всего не в пластине. Стяжка скорее всего не дотянута изначально. Отсюда игра синдесмоза и прорезывание проволоки Вебера. Вообще то стоило бы делать по классике , а именно : Наружная лодыдка - противоскользящая плата по Веберу, над синдесмозом - два позиционных винта ( это "ключи" сустава) внутренняя лодыжка - можно и проволокой, но при адекватной фиксации латерального комплекса.
    С уважением Д.Б.
    [ Ответить ]

    Re: Причина раскручивания?
    Alexey Semenisty 23 Ноябрь 2010, 08:22
    Многое сделали не так:

    1) Анатомичное восстановление наружной лодыжки вызывает сомнения ( IMHO)

    2) Болт СТЯЖКА!!!. Да, через месяц одного восстановления наружной лодыжки может быть недостаточно. И тогда приходится открывать и "чистить" сам дистальный межберцовый синдесмоз и медиальный отдел сустава (даже когда нет перелома медиальной лодыжки, а есть разрыв дельтовидной связки). Малоберцовая кость должна быть фисирована на 6-10 недель малоберцовой вырезке tibia ПОЗИЦИОННЫМ винтом, а не сСТЯЖКОЙ!

    3) иммобилизация на 1,5 месяца! ЗАЧЕМ???. Вспомните постулаты J.Schatzker? 1987, "- immobilisation results in joint stiffness - immobilisation of articular fractures treated by ORIF results in much greater stiffness.

    4) Пластину, тем более рекон. на лодыжках надо моделировать точно.. 1/3 трубки сама еще может под анатомию подстроиться.
    [ Ответить ]

    Re: Причина раскручивания?
    Батал Алексеевич Шушания 23 Ноябрь 2010, 23:05
    Доброго времени суток! Я думал, что болт-стяжку травматологи, особенно кто на Ортофоруме, перестали применять. А вон как получается, даже и обсуждают, как она может раскрутиться..... и еще "дельные" советы по болту-стяжке стараются давать.
    Болт-стяжка должна быть только в арсеналах музея травматологии - и показывать подрастающему поколению травматологов как музейный экспонат.
    На данном сайте можно найти по лечению переломов голеностопного сустава много информации, особенно о вреде болтов-стяжек для голеностопного сустава.

    [ Ответить ]

    • Re: Причина раскручивания?
      Отправитель: Афанасьев Олег 24 Ноябрь 2010, 04:00
      Добрый вечер!Болт-стяжка равносильно лом в амортизатор.1-2 позиционных винта,под визуальным контролем востановление передней порции м/б синдесмоза.Удаление винтов перед полной нагрузкой на сустав,хорошие отдаленные результаты.Успехов!

      [ Ответить ]
    • Re: Причина раскручивания?
      Отправитель: Алексей 24 Ноябрь 2010, 18:00
      а как не применять, если больше нет ничего?

      Я бы, например, в данном случае, если бы была возможность, поставил бы на медиальную лодыжку пластину с УС, на латеральную - 1/3 с УС, и провел бы позиционный винт с УС через синдесмоз - и тут поле огромное, от синтеза до кенигса или интеркуса (тоже, кстати, неплохие пластинки)... Но в больнице нет таких имплантатов, а есть только наше, отечественное, казанское г..но, которое в руки-то взять страшно...

      [ Ответить ]
      • Re: Причина раскручивания?
        Отправитель: Maxim Agalakov 24 Ноябрь 2010, 20:30
        дело не в имплантах

        [ Ответить ]
      • Re: Причина раскручивания?
        Отправитель: Батал Алексеевич Шушания 24 Ноябрь 2010, 21:13
        Причем тут пластины с угловой стабильностью, особенно на наружную лодыжку. По вашему, Алексей, получается из одной крайности в другую. Просто нужно читать литературу, учиться, спрашивать, интересоваться. К сведению, винт 3,5 мм позиционный для удержания дистального межберцового синдесмоза стоит меньше ста рублей.

        [ Ответить ]
      • Re: Причина раскручивания?
        Отправитель: дмитрий Бондарь 25 Ноябрь 2010, 22:55
        А смысл ставить пластины с угловой стабильностью на такой перелом? И винт не через, а над синдесмозом, это принципиально, не надо в суставе лишние дырки делать.И зачем медиально угловая стабильность? Избыточно это. Да и не в железе тут дело, а в принципах лечения . Я работаю на Украине, и от казанского железа не самые плохие впечатления
        С уважением Д.Б.

        [ Ответить ]
    Re: Причина раскручивания?
    Станислав 24 Ноябрь 2010, 21:57
    Здравствуйте Александр. На мой взгляд Фиксация была нестабильной, в результате смещение наружной лодыжки и подвывих стопы. в каждый отломок надо устанавливать по 3 винта, хотя бы 2, если жалко. А что касается болта стяжки, не надо мудрить о причинах раскручивания, абсолютно согласен с коллегами, в музей ее. Позиционные винты не раскручиваются. Более 10 лет используем такую схему: Латеральная лодыжка 1/3 трубки, отмоделированная, 3 винта в каждый отломок, собственно в лодыжку можно 2, если короткая. Если использовать стягивающий винт (последние года 4 вообще не ставлю - забурел)то лучше 3,5 мм. Позиционный винт 3,5 мм один, в редких случаях 2. Медиальная лодыжка: Две 1,5 мм перекрещеных спицы либо малеолярный винт(спонгиозный стягивающий 3,5 мм при отсутствии последнего) + параллельно спица. Перекрещеных спиц достаточно вполне, не видел ни одного "ложняка" после такой фиксации. Послеоперационное ведение: Иммобилизация (больной вопрос)нужна для неуправляемых пациентов - гипсовая шина до с/3 голени сроком до 6 нед., фиксирует в основном мозг пациента, мешает наступать на ногу. Для вменяемых людей иммобилизации не требуется. Позиционный винт удаляется через 8 недель (можно в поликлинике через разрез в 1 см), затем возрастающая нагрузка и в добрый путь. Несколько своевольное применение операции АО. Результат радует. Удачи.
    [ Ответить ]

    Re: Причина раскручивания?
    александр ерохин 24 Ноябрь 2010, 22:07
    Отмоделировать-то хотел,но посмотрите нужно было или перегибать непосредственно по звену,да еще крайнему(технически тяжеловато) или терялось одно отверстие и в дистальный отломок можно было бы установить только один винт.
    Закрутил со скрипом,(ну,я ,что кого -то обманывал,что не верите),а пролежней никаких не видел,пластину "отковыривал".Хотя,мысль такая перед удалением пластины была.
    Визуально никаких вопросов по репозиции не было.Да и на основании чего сомнения,что наружная лодыжка не полностью репонирована или прорезалась проволка ???Я не вижу...Снимок после репозиции справа.
    То же думаю,надо было "почистить "синдесмоз,замечание,наверно правильное,перелом то "несвежий"
    Такое осложнение и у меня впервые,никогда не было..
    Про позиционные винты:осложнений видел тоже не мало-перелом самого винта,нестабильность..итд.Не свои и переделывать приходилось..Хотя,конечно,был бы винт-фиксировал бы им.
    Частенько раскручивались стяжки Цивьяна-Рамиха на остистых отростках из-за несоосных качательных движений.Кто ставил-знает..
    Раз ,есть желание посмотреть другую проекцию выкладываю-ну лучшего качества нет...
    Спасибо всем за комментарии..

    Кликните для загрузки файла DSC05256.JPG
    2237KB (2290984 bytes)

    [ Ответить ]

    • Re: Причина раскручивания?
      Отправитель: Андрей 24 Ноябрь 2010, 23:03
      Я все-таки не могу вас понять. У вас что нету самых обычных винтов?

      Переломы позиционных винтов бывают при полной нагрузке на ногу, когда винты не удалены. А болт раскрутился из-за жесткой фиксации нежосткого сочленения.

      [ Ответить ]
      • Re: Причина раскручивания?
        Отправитель: александр ерохин 24 Ноябрь 2010, 23:36
        Да,Вы правы...Наверно,нельзя жестко фиксировать нежесткое сочленение.Надеюсь,еще кто-то учтет мои ошибки..
        Про условия-больная покупала фиксаторы сама,да и за какие то немыслимые деньги в одной фирмочке(((,да и денег нехватило.Запомнил цену болта-стяжки 3,5 тыс руб! Почему?-Отвечу лично про условия работы.Где-то месяц назад спрашивал наш коллега,я ответил.

        [ Ответить ]
        • Re: Причина раскручивания?
          Отправитель: Евгений 25 Ноябрь 2010, 03:29
          позиционные винты не так часто ломаются, за 3.5 года видел 1 случай у молодого толстого мужчины. В основном на контрольном снимке видна зона резорбции костной ткани м/берцевой кости вокруг винта.


          [ Ответить ]
    Re: Причина раскручивания?
    Михаил Васильев 26 Ноябрь 2010, 00:03
    Добрый вечер Алексей! Не буду врать кто автор, но лет 8 назад, попалась статья про использование полимерных гипсов. Автор работал в Москве, в районе трех вокзалов. Как раз тема была про переломы лодыжек. Проплачивала исследование видимо фирма 3М, так как у него была возможность использовать бесплатно. Но мы здесь не для этого. Очень примечательным оказалось КТ исследование суставов, как при консервативном, так и при оперативном лечении. в 80% случаев, линия перелома малоберцовой кости (наружной лодыжки) не сопровождается разрывом синдесмоза, хотя по снимку такое впечатление есть. при одновременой мобилизации во время операции наружной и внутренней лодыжки, при интраоперационном рентгенконтроле, синдесмоз чаще всего на месте. Найду статью выложу. А так стяжки применяем крайне редко и только при выраженном диастазе синдесмоза.
    Михаил.
    [ Ответить ]

    • Re: Причина раскручивания?
      Отправитель: Антон Андрианов 26 Ноябрь 2010, 09:15
      Позволю себе возразить Вам. КТ при травме лодыжек вряд ли рутинно используется даже в развитых странах, для рядового ортопеда более доступна и информативна проекция Мортиз. 3 года, работая с ЭОП, выполняю динамическое исследование под ренгенконтролем и убеждаюсь, что вполне приличные статические снимки не открывают всей картины,очень часто видна значительная гипермобильность.При отказе от позиционных винтов в подобном случае расхождение вилки МБС может наступить сразу при начале нагрузки и уже трудно убедить пациента в необходимости повторной операции.Про стяжки на данном форуме уже лет 6 назад прописали все, не стоит повторяться.

      [ Ответить ]
      • Re: Причина раскручивания?
        Отправитель: Батал Алексеевич Шушания 27 Ноябрь 2010, 01:52
        Я могу рассказать про свой опыт фиксации дистального межберцового синдесмоза. После фиксации наружной лодыжки, беру крючок и оттягиваю наружную лодыжку наружу и если синдесмоз стабилен или создающийся диастаз в пределах 2 мм, позиционный винт не ставлю. При превышении диастаза 2-3 мм, то ставлю позиционный винт надсидесмозно. Пока не приходилось мне ставить более одного позиционного винта при необходимости их установки.

        [ Ответить ]
    Re: Причина раскручивания?
    Женя 27 Ноябрь 2010, 06:02
    Причина раскручивания находится в "жесткой" фиксации подвижного соединения (синдесмоза). Если бы фиксатор был удален своевременно (10-12 недель после операции), то не было-бы ни свищей, ни дискуссии на форуме.
    [ Ответить ]

    Re: Причина раскручивания?
    Женя 27 Ноябрь 2010, 06:02
    Причина раскручивания находится в "жесткой" фиксации подвижного соединения (синдесмоза). Если бы фиксатор был удален своевременно (10-12 недель после операции), то не было-бы ни свищей, ни дискуссии на форуме.
    [ Ответить ]

    Re: Причина раскручивания?
    Евгений Чекашкин 27 Ноябрь 2010, 22:38
    Проводить или не проводить позиционный винт? - будет стабилен голеностоп или не будет после фиксации перелома - вовсе не предмет для размышлений. Это тот самый случай, когда классификация перелома даёт руководство к выбору метода фиксации - главное разобраться, с каким типом перелома вы имеете дело. Наверняка всем, кто участвует в форуме известна классификация Вебера, и только С тип требует проведения позиционного винта с его последующим удалением
    после 6-8 недель до начала полной нагрузки на конечность, иначе высока верятность его усталостного перелома. На мой взгляд, совершенно не принципиально какими фиксаторами осуществляется стабилизация синдесмоза,
    если наружная лодыжка не отрепонирована анатомично, то счастья не видать:
    ни винты, ни стяжки не восстановят мортиз и функция сустава будет нарушена в перспективе.
    На вопрос о причине раскручивания - ответ простой: синдесмоз - это не синостоз, в нем всегда присутствует подвижность при сгибании/разгибании голеностопа, и если пациент начал ходить с нагрузкой на оперированную ногу,
    то и стяжка начинает *крутиться*, в то время как гайка фиксирована рубцовой тканью.
    Согласен с Антоном по поводу КТ при переломах лодыжек, и всегда пользуюсь ЭОПом для контроля анатомичности репозиции.

    Всех благ,
    Евгений Чекашкин
    [ Ответить ]

    Re: Причина раскручивания?
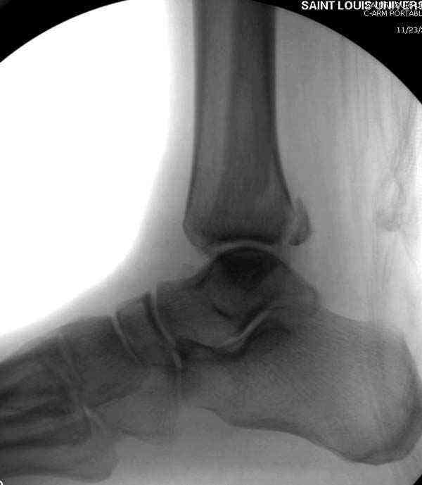
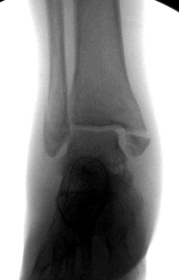
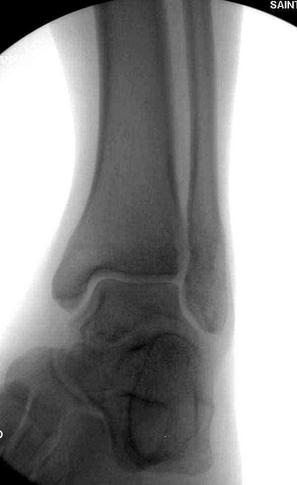
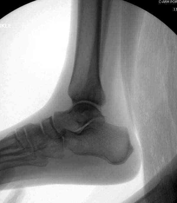
    Djoldas Kuldjanov 04 Декабрь 2010, 11:21
    Раскручивание импланта было очень частым явлением у трехлопастного гвоздя Smith Petersen и диафизарной накладки. Его применяли раньше для лечения чрезвертельных переломов, и часто раскручивалась левосторонная гайка между гвоздем и пластиной. Обьясняли это трением фасции над имплантом, и, возможно, здесь тоже подобное явление за счет близости сухожилия или фасции?

    Описанная вами техника "Внутренняя лодыжка фиксирована по Веберу, наружная реконструктивной пластиной с наложением болта-стяжки" существует, но этот подход морально устарел, и применяется очень редко, только при отсутствии имплантов.

    Реконструкционные пластины на лодыжке очень грубые, и из-за тонкого слоя кожи над дистальным концом малоберцовой могут осложниться пролежнями кожи изнутри.

    Нет первичных снимков, перелом очень низкий и под большим сомнением диагноз разрыва синдесмоза. Медиальная сторона отрепонирована на "хорошо" и, по-видимому, прорезание проволоки произошло во время операции. Без снимков трудно судить о высоте малоберцовой, а лодыжка находится в варусе. Лагирование получилось, но возле тонких шурупов передне-задний шуруп выглядит немного тяжеловато.


    Во всех руководствах АО имеется описание техники применения низкопрофильных пластин 1/3 трубки, которые могут быть применены для фиксации наружной лодыжки. Фиксацию проводят кортикальными 3.5 мм шурупами, и если дистальная фиксация недостаточная, тогда усиливают конструкцию созданием hook plate. Сгибая конец пластины на последнем отверстии, внедряют его в дистальный отдел, и тем самым создается дополнительная фиксация.


    Современные преконтурированные пластины не имеют таких недостатков, и разделяются на правые и левые, а также на латеральные и задние. Множественные дистальные шурупы 2.7 мм уменьшают подкожное раздражение, и такой имплант можно оставить на долгий срок без удаления.


    Для молодых достаточным бывает обычная лодыжечная пластина без блокировки, и только у пожилых с остеопорозом лучше взять полиаксиальные пластины с угловой стабильностью.

    Медиальная лодыжка фиксируется каннюлированными лодыжечными шурупами перкутанно, а неточная репозиция (интерпозиция) является показанием к открытой технике. При больших вертикальных фрагментах нужны противоскользящие медиальные пластины.


    Коллеги правы, что при рутинных переломах достаточным бывает обычные снимки с мортизом. А стрессовые рентгенограммы могут уточнить, есть ли разрыв синдесмоза.
    В лечении синдесмоза шурурпы легче установить, и, тем более, они намного дешевле, чем болт-стяжка. От болтов еще и часты осложнения - медиальные пролежни.

    При лечении синдесмоза количество шурупов не имеет значения. Два через три кортекса или один через все кортикальные слои механически одинаковы.

    Для удобства удаления сломанных шурупов с медиальной стороны можно оставить на несколько мм длиннее. Подкожно оставленные шурупы у худых вызывают неудобства, особенно у женщин при выбривании волос с нижней конечности.

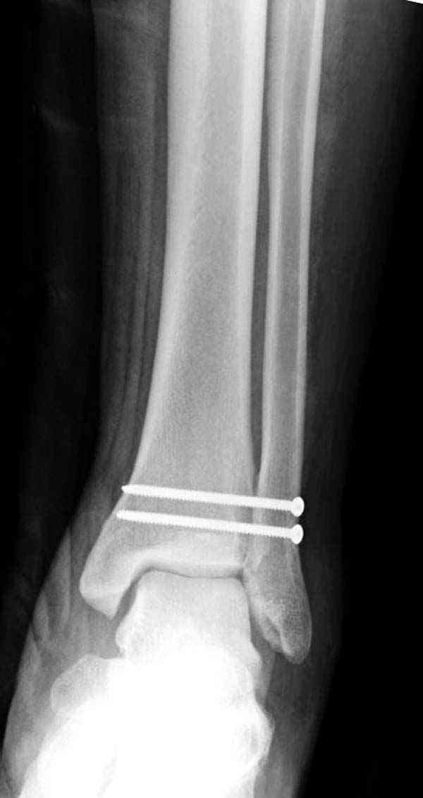
    Здесь несколько частных случаев: перелом голеностопа со сравнительными снимками и разрыв синдесмоза, а также медиальная Hook пластина.












































































    --
    Djoldas Kuldjanov, M.D.
    Associate Professor
    Department of Orthopedic Surgery
    St. Louis University



    [ Ответить ]

    • Re: Причина раскручивания?
      Отправитель: александр ерохин 08 Декабрь 2010, 21:41
      Отдельное спасибо,всегда с удовольствием читаю Ваши комментарии-всегда подробные и наглядные.К сожалению,не всегда применимы к нашим убогим условиям.Первичных снимков нет-просто банальный перелом с подвывихом,правда уже срастающийся(я не фотографировал их,а потом уже не стал искать в архиве).Не совсем понятно-"под большим сомнением разрыв синдесмоза"(с).Перелом пронационный с инверсией и как следствие ,ротацией лодыжки.То есть по сути было повреждение(разрыв) только передней порции,при сохраненной задней и межкостной мембране.В таком случае диагноз "разрыв синдесмоза"правомерен?

      [ Ответить ]

     

    ( Ответить )

    Powered by Zope  Squishdot Powered MedLink
    Посетитель: 0000036
      "По форме правильно, а по существу - издевательство" В.И.Ленин
    ©2001-2019Orthoforum Coordinator.
    [ Главная | Отправить сообщение | Поиск | Админ ]