Ответить
|
Re: несросшийся перелом лучевой кости
Denis Glukhov 24 Ноябрь 2010, 18:50
|
Хочется увидеть л/запястный сустав (укорочение лучевой кости).
Наиболее вероятный план - малоинвазивное удаление пластины, ЗИО с блокированием
Удачи.
|
[
Ответить ]
|
Re: несросшийся перелом лучевой кости
Максим Королев 24 Ноябрь 2010, 19:57
|
На мой взгляд если уже 2 раза вмешивались на зону перелома и эффекта ноль, плюс пациент с требованиями к физ.нагрузкам то следует обычное удаление фиксатора-вскрытие костно-мозговых каналов-обработка отломков торцевых его частей до "капли росы", декортикация-пластика перемещенным трансплантатом (или другими способами) и фиксация пластиной LCP 3,5мм. (только с "разносом" винтов, чтобы их не было около линии перелома) более точно "мостовидная" укладка пластины с моделированием пластины точно по анатомии кости. И в послеоперационном периоде ограничить нагрузку на конечность. В принципе с дисциплинарной целью можно и зафиксировать в лангете на пару-тройку недель, только без захвата суставов.
|
[
Ответить ]
|
Re: несросшийся перелом лучевой кости
александр ерохин 25 Ноябрь 2010, 01:18
|
Да,лучезапястный сустав неплохо бы посмотреть.Возможно есть подвывих головки локтевой кости?
Я бы убрал пластину и фиксировал аппаратом с костной пластикой из гребня подвздошной.Аппарат стабилизирует радиоульнарные движения.Такие больные периодически попадались,не помню,чтобы не добились сращения.А впрочем,варианты есть
|
[
Ответить ]
|
Re: несросшийся перелом лучевой кости
Maxim Agalakov 25 Ноябрь 2010, 19:52
|
я бы предпочел укорачивающую резекцию с костной аутоплатикой (фиксация на выбор, чем лучше владеете), но в первую очередь лучше исключить low-grade infection.
|
[
Ответить ]
|
Re: несросшийся перелом лучевой кости
Отправитель: кирилл 25 Ноябрь 2010, 22:43
|
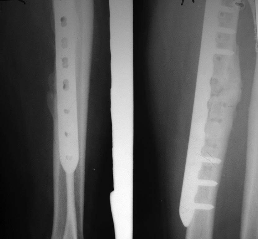
признаков инфекции нет никаких,и не было ни при первой , ни при повторной операциях. При укорачивающей резекции что делать с локтевой костью?
|
[
Ответить ]
|
Re: несросшийся перелом лучевой кости
Отправитель: Афанасбев Олег 26 Ноябрь 2010, 02:20
|
Добрый вечер!Удаление металла,резекция лучевой кости до кровяной росы,аутотрансплантат из м/б кости,фиксация стержнем Богданова или спицей Илизарова интрамедулярно.АВФ из 2-х колец управляемый на компрессию лучевой кости .Резецированную кость посев на флору и чувств. к ан-кам.Удачи!
|
[
Ответить ]
|
|
Re: несросшийся перелом лучевой кости
Vladimir B. Abduev 26 Ноябрь 2010, 01:45
|
Варианты и рассуждения могут быть разными, но практически 100% результативным может быть в данном случае удаление пластины, ВЧ остеосинтез спицевым аппаратом. Костная пластика не требуется. Высокие физические требования, после 2 лет ограничений, будут удовлетворены в полной мере. Вплоть до отжимания от пола на кулаках. Единственный минус 3-4 месяца в аппарате. Ну что делать, нет абсолютно удобного, универсального, безопасного и эффективного метода. Самое главное грамотно выполнить остеосинтез. Если нет достаточного опыта, поищите специалиста который это сможет исполнить. Желаю успеха.
|
[
Ответить ]
|
Re: несросшийся перелом лучевой кости
Denis Glukhov 26 Ноябрь 2010, 20:13
|
Не хочу быть назойливым, НО
для успешного лечения надо:
1) постараться сохранить остатки параоссального кровообращения
2) вскрыть каналы
3) стабильно фиксировать перелом (псевдоартроз)
4) максимально ранняя функция
Нужно (можно) сделать:
1) удалить винты через проколы под контролем ЭОП
2) НЕ удалять пластину (или удалить из разрезов 1,5-2,0 см. дистальнее/проксимальнее пластины)
3) ЗИО стержнем ChM (DC)... с проксимальным и дистальным блокированием
4) ПОЛНАЯ функция без ограничений с 1-х суток после операции.
P.S. Внутрикостный фиксатор выполняет роль "протеза" кости и не ограничивает функцию. Случаев перелома предплечных гвоздей не видел. Сращение БУДЕТ.
пластина.стержень.doc
94KB (96768 bytes)
|
[
Ответить ]
|
Re: несросшийся перелом лучевой кости
Отправитель: Denis Glukhov 26 Ноябрь 2010, 21:31
|
Если при ЗИО развертками разломаете диафиз в области псевдоартроза, то будет Вам счастье в виде быстрого сращения.
Примерно так.ppt
83KB (84992 bytes)
|
[
Ответить ]
|
|
Re: несросшийся перелом лучевой кости
Maxim Agalakov 26 Ноябрь 2010, 23:32
|
Сустав судя по всему атрофичный, потому рекомендована костная пластика, в этой локализации малоинвазивно удалять пластину - не самое безопасное решение (какая разница - какой будет доступ- надкостницу так же "отдерете")
По каким критериям была исключена инфекция? Уровень СРБ, СОЭ, лейкоцитоз каков?
|
[
Ответить ]
|
Re: несросшийся перелом лучевой кости
Отправитель: Denis Glukhov 27 Ноябрь 2010, 02:28
|
> Сустав судя по всему атрофичный
- и не надо туда лазить. Оптимальный вариант - запустить остеогенез новой костной травмой не нарушая периостальный кровоток (вплоть до остеотомии рядом с несращением). Можно сломать диафиз разверткой.
> в этой локализации малоинвазивно удалять пластину - не самое безопасное решение
- "Пластину НЕ удалять", это можно сделать потом, когда срастется.
Малоинвазивно удаляли, но это и правда не самое безопасное решение.
> По каким критериям была исключена инфекция
- она есть всегда и везде... и даже если будет лабораторное подтверждение - еще один + в пользу малоинвазивной стабилизации.
|
[
Ответить ]
|
|
Re: несросшийся перелом лучевой кости
Андрей Волна 27 Ноябрь 2010, 18:51
|
Уважаемые коллеги, как то приходилось уже говорить о том, что в отличие от свежих переломов, где по большому счёту существует общепринятый алгоритм действий для большей части повреждений, для ложных суставов и несросшихся переломов такого алгоритма нет. То есть существует значительное количество безусловно правильных решений. И выбор, при прочих равных условиях, определяется и хирургическими преференциями врача. В большей степени, чем при обычных повреждениях. Мне кажется, что в ходе дискуссии уже достигнуто определённое согласие, вне зависимости от предлагаемых решений. В чём это согласие:
1. Кровообращение в зоне несращения нуждается в стимулировании. Предложенный спектр - от костной пластики до остеотомий (клазий) с помощью развёртки и нагрузки весом тела в АВФ с помощью, прости господи, отжиманий на кулаках. Не всякий из нас, уверен, сделает это и без аппарата. Я во всяком случае пробовать не стал... Но ни в коей мере не отрицаю благотворного воздействия сего действа, как, впрочем, и любой физкультуры, на региональный и общий кровоток.
2. Фиксация должна быть стабильной, но эластичной. Предложенный спектр - от мостовидной пластины до интрамедуллярного блокируемого стержня. И всё это работает, вне сомнения.
Так на чём же остановиться? Далее я буду говорить о своих предпочтениях, прежде всего. Думаю, что это не требует объяснений. И так, предлагамое решение должно быть достаточно проверенным и надёжным, так как третья операция должна завершить страдания пациента, как, впрочем, и врачей. Это и побудило меня принять участие в данной дискуссии. Поэтому, первое - чего бы я не стал делать и не рекомендовал никому в данном случае:
- не стал бы резецировать концы отломков, то есть ни в коем случае не стал бы делать никаких укорчивающих резекций. Такое допутимо, как правило, только в случаях поражения кости остеомиелитом или каким нибудь патологическим процессом. В остальных случаях костью нужно дорожить. Ведь даже по логике вещей - вряд ли используемый нами свободный трансплантат качественно много лучше. А признаков инфекции здесь нет. При инфекции костей предплечья, да и других локализаций,мы наблюдаем иной тип несостоятельной фиксации - миграцию винтов и имплантата, а не перелом пластины.
- и второе от чего бы я отказался, так это от всяких попыток чрезкожного удаления имплантата в данном случае. 3,5 мм блокированные винты зачастую и открыто трудно удалить. То есть я бы не стал начинать операцию с ничем неоправданных в данном случае мучений и сделал бы это стандартно, сохранив нормальный эмоциональный статус для созидательного, если позволите, этапа операции.
И так, пластину убрали. Далее пластика. В данном случае это именно костная пластика, как своего рода идеал стимуляции костеоброзования с целью минимизации рисков (третья операция, не забываем). Конечно, здесь нет необходимости использовать блоки, тк значимой потери кости нет, к тому же блоки с большей прытью лизируются иногда. Я бы сделал широкую декортикацию (см два на каждом из отломков) и под декортиканты утрамбовал бы аутоспонгиозу, взятую из крыла подвздошной кости шарожкой для обработки вертлужной впадины минимального диаметра. Возможно, спонгиозу смешал бы с крупными или среднего размера гранулами бетта-3 кальций фосфата или иного замениля кости с остеокондуктивными свойствами. Пластина - 3,5 мм, наверое, лучше блокированная, несмотря на неплохое качество кости. Количество отверстий - 10 - 11. На прокимальном отломке пластина лежит на этом же уровне, не выше, дабы избежать неприятного контакта с глубокой ветвью лучевого нерва. А это значит, что удастся установить только три самых прокимальных винта, дабы дистальнее создать мост. Поэтому, если вдруг какой либо из винтов не будет оптимально притягивать пластину к кости, допустим одно из предыдущих отверстий здесь было, надо иметь возможность блокирования. Дистально - 3 или 4 самых дистальных винта, больше - нет смысла и даже вредно. Тогда и мост для эластичности будет достаточным. Поверхность кости для пластины выбираем такую, что бы при минимальном моделировании максимально исправить деформацию. Иммобилизация не нужна. Особой физкультуры не нужно - за искючением, пожалуй, мячика-эспандера. Так же вплоть до сращения придётся избегать отжиманий на кулаках, в чём очевидный недостаток предложенного плана. Но надо потерпеть, ничего не поделаешь... В приложенном файле что-то немного похожее. Ложный сустав локтевой кости. Декортикация плюс керамика без аутокости. Не всё идеально, конечно, но функция полная и результат достигнут. С уважением, Андрей
ЛС.ppt
1464KB (1499648 bytes)
|
[
Ответить ]
|
Re: несросшийся перелом лучевой кости
Отправитель: кирилл 27 Ноябрь 2010, 20:28
|
Спасибо огромное всем!
|
[
Ответить ]
|
Re: несросшийся перелом лучевой кости
Отправитель: Vladimir B. Abduev 28 Ноябрь 2010, 05:24
|
Уважаемый коллега! Впечатлён Вашим детальным анализом сложившейся ситуации, чётким планом действий. Тем не менее позволю высказать некоторые соображения:
1. Полагаю, что хирург выполнявший повторный накостный остеосинтез уже на ложном суставе, так же хорошо продумал план операции и реабилитации пациента и тем не менее получил неудовлетворительный результат.
2. Снова накостный остеосинтез на уже изрешеченную предыдущими винтами лучевую кость, через рубцовые ткани, с костной пластикой и декортикацией (мерами безусловно полезными) , мне представляется процедурой весьма опасной в плане хирургических осложнений. В случае неуспеха и на этот раз, будет выглядеть и вовсе как « на те же грабли».
3. Думаю, что пациент «с высокими физическими требованиями» и сам приложил руку к таким исходам травмы, и нет никакой уверенности в том, что он даже после успешно и в третий раз проведённой операции будет играться только мячиком-эспандером.
4. Я не предлагал пациенту отжиматься на кулаках, вполне достаточно будет мячика-эспандера. Имелось ввиду, учитывая его высокие физические требования, что и они могут быть удовлетворены –«Вплоть до отжимания от пола на кулаках».
С уважением,Vladimir B. Abduev
|
[
Ответить ]
|
|
Re: несросшийся перелом лучевой кости
Djoldas Kuldjanov, M.D. 29 Ноябрь 2010, 23:43
|
До решения вопроса операции надо сделать необходимые снимки предпечья и надо уточнить на какой стороне были сделаны прежние доступы, и была ли сделана костная пластика?
Рентгенологические данные не дают точно определить на какой стороне лежит пластина, но мне кажется, что пластина уложена на дорсальной поверхности луча. Если пластина находится на тыле тогда проблем с малоинвазивным удалением не будет.
При переломах средней трети луча проблем доступом обычно не бывает, но при переломах в верхней трети из-за проксимального расположения глубоких и поверхностных ветвей лучевого нерва желательно применит лучевой доступ Henrу.
Можно удалить пластину малоинвазивно и через волярный доступ открыт для оценки ложного сустава.
Мы бы к блокирующей пластине с аутопластикой добавили бы ДБМ или ОП1. А на самый худший вариант, сегментарную резекцию заместили бы кейджом и интрамедуллярный штифт с блокировкой.
|
[
Ответить ]
|
Re: несросшийся перелом лучевой кости
Екимов Михаил 02 Декабрь 2010, 22:19
|
Кирилл, хотелось бы узнать, чем сердце успокоилось, а то приходит в голову ещё и плостика по Хохутову.
|
[
Ответить ]
|
Re: несросшийся перелом лучевой кости
Отправитель: кирилл 03 Декабрь 2010, 01:49
|
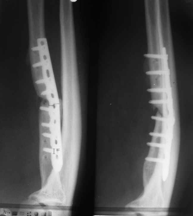
Оперировал сегодня. Благодарю всех за советы, считаю, что ни один из них не пропал даром. на операции- полное отсутствие каких-либо намёков на костную мозоль, сломанная пластина удалена без проблемм, выполнена декортикация, освежение концов отломков, вскрытие каналов, костная пластика с подвздошной кости, пластина LCP на 10 отверстий по 3 винта с каждой стороны. По всей видимости на первых операциях было весьма сильно нарушено кровоснабжение кости. Опыт применения аппаратов внешней фиксации на предплечье у меня достаточно невелик, в основном ограничен временной фиксацией открытых переломов до заживления ран, рисковать не стал. Пластика по Хахутову обсуждалась, но показалась сложней и травматичней. В целом, операцией доволен, а отдалённый результат...буду ждать. Ещё раз всем спасибо. Кирилл
|
[
Ответить ]
|
Re: несросшийся перелом лучевой кости
Отправитель: Denis Glukhov 03 Декабрь 2010, 16:42
|
Грабли... ИМХО.
|
[
Ответить ]
|
|
Re: несросшийся перелом лучевой кости
Иван 01 Ноябрь 2013, 12:30
|
Скажите, как ваш больной поживает, все нормально срослось???
|
[
Ответить ]
|
Re: несросшийся перелом лучевой кости
Отправитель: кирилл 06 Июнь 2014, 17:07
|

У больного всё хорошо. Функция полная, проблем нет. Доволен.
|
[
Ответить ]
|
|
( Ответить )
|
|