AOTRAUMA.ORG Центр Илизарова  

Ортопедия и травматология Общие вопросы/General questions Help Информационные технологии в медицине
 вверх
 отправить
 поиск
 админ
 главная


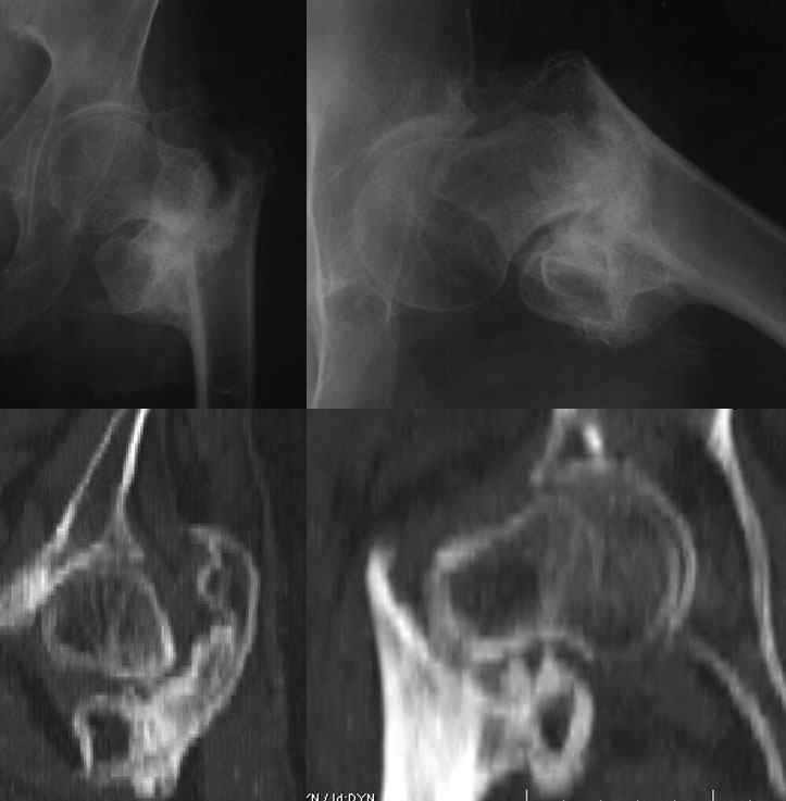
Ложный сустав шейки бедра
Ортопедия и травматология Отправлено Дмитренко Александр 26 Ноябрь 2010, 19:04
Уважаемые коллеги!Прошу вашего совета. Больная 61 год, травма бытовая в августе 2009г. Упала с высоты около 3 метров на область левого тазобедренного сустава. За медицинской помощью не обращалась. После уменьшения болевого синдрома больная начала передвигаться с помощью стула. В дальнейшем перешла на ходьбу без вспомогательных средств.
При СКТ исследовании: ложный сустав шейки левой бедренной кости в латеральном отделе с диастазом до 4,0 мм. Сросшийся чрезвертельный перелом бедренной кости с удовлетворительным стоянием и выраженной костной мозолью.При денситометрическом исследовании: данные соответствуют выраженной остеопении.

<  |  >

 

  • Сообщения о Ортопедия и травматология
  • Также Дмитренко Александр
  • Связаться с автором
  • Ответить

    Re: Ложный сустав шейки бедра
    Alexander Chelnokov 27 Ноябрь 2010, 01:59
    Я бы попытался сделать остеоклазию, т.е. закрыто мобилизовать несращение, потом сильно потянуть, и сделать остеосинтез как при свежем вертельном переломе.
    [ Ответить ]

    Re: Ложный сустав шейки бедра
    Vladimir B. Abduev 27 Ноябрь 2010, 04:01
    С учётом того, что травма произошла более года назад, самое эффективное и в конечном счёте экономичное решение, с учётом всех возможных последствий, рисков и т.д. тотальное эндопротезирование протезом с ревизионной ножкой.
    [ Ответить ]

    • Re: Ложный сустав шейки бедра
      Отправитель: adonin 27 Ноябрь 2010, 10:50
      +1. единственное дополнение - если соматически нездорова - гемиартропластика

      [ Ответить ]
    Re: Ложный сустав шейки бедра
    Дмитрий Бондарь 27 Ноябрь 2010, 23:59
    А чего хочет сама больная? Каковы запросы? Соматика? психика? Соц. адаптация?
    После ответов на эти вопросы можно что-то решать
    С уважением Д.Б.
    [ Ответить ]

    Re: Ложный сустав шейки бедра
    Дмитренко Александр 28 Ноябрь 2010, 13:05
    Соматически и психически больная здорова. Желание больной хорошо ходить.
    [ Ответить ]

    • Re: Ложный сустав шейки бедра
      Отправитель: Станислав Дмитриев 29 Ноябрь 2010, 21:53
      Да, наверное самое оптимальное - поставить тотальный протез. Все возможные реконструкции только "оттянут" эту процедуру. Это, если есть возможность выполнить THR.

      [ Ответить ]
    Re: Ложный сустав шейки бедра
    Maxim Agalakov 30 Ноябрь 2010, 23:32
    Учитывая возраст, лучше протезировать, THA, цементник, либо б/ц, но,ножку лучше ставить с пластикой если ожидаемый срок дожития более 10 лет (условно прикинуть по соп болячкам) Гемиартропластику лучше не применять, можно нарваться на ревизию в более пожилом и не здоровом возрасте.
    [ Ответить ]

    Re: Ложный сустав шейки бедра
    Михаил 01 Декабрь 2010, 16:29
    Если больная ходит с полной нагрузкой, почему не выражена варусная деформация? Не может быть гипердиагностики ложного сустава?
    [ Ответить ]

    Re: Ложный сустав шейки бедра
    Дмитрий Бондарь 05 Декабрь 2010, 01:25
    Колеги, а что собственно беспокоит больную? насколько выражены боли и деформация?
    С уважением Д.Б.
    [ Ответить ]

    • Re: Ложный сустав шейки бедра
      Отправитель: Дмитренко Александр 07 Декабрь 2010, 12:29
      большое спосибо всем за ответы. больную беспокоят боли и укорочение конечности.

      [ Ответить ]

     

    ( Ответить )

    Powered by Zope  Squishdot Powered MedLink
    Посетитель: 0392178
      "По форме правильно, а по существу - издевательство" В.И.Ленин
    ©2001-2019Orthoforum Coordinator.
    [ Главная | Отправить сообщение | Поиск | Админ ]