вверх
отправить
поиск
админ
главная
|
Акромиально - ключичное сочленение -застарелый разрыв |
 |
 |
 |
Отправлено Батал Алексеевич Шушания 28 Ноябрь 2010, 16:04 ФГУ " 3 ЦВКГ имени А.А. Вишневского Минобороны России"
Пациент, мужчина, 59 лет обратился в июне с жалобами на умеренные периодические боли и хруст в области правого плечевого сустава. В анамнезе - 1,5 года назад упал, ударился задней поверхностью локтевого сустава, при отведенной правой руки в плечевом суставе и согнутом в локтевом. Обратился за мед. помощью, по месту жительства, сказали, что ничего страшного, повесили травмированную конечность на косынку.Тогда, в июне 2010года, когда я впервые увидел пациента, он щадил руку, было ограничение объема движений в правом плечевом суставе. Потому я предложил заняться лечебной физкультурой а потом посмотреть достигнутый результат.Сегодня в пациента восстановлен полный объем движений в правом плечевом суставе, боли сохраняются, но не такие выраженные, как раньше.Но при движении правой рукой стоит ТАКОЙ хруст, что слышен на расстоянии. Пальпаторно, при движении правой рукой,ощущается подвижность в акромиально-ключичном сочленении, и боли при отведении в правом плече более 120 градусов.Пациента не устраивает нынешние положение дел с его плечом. Хочет более радикального лечения.Я подумывая об операции, но побаиваюсь за результат. Нужно иссечь рубцы, низвести акромиальный конец ключицы (а она будет "пружинить")и фиксировать крючковидной пластиной к акромиону, не исключается выполнение акромионопластики. Удержит ли пластина и удержатся ли взаимоотношения в акромиально-ключичном сочленении, после удаления пластины?Тут вспомнился разговор с профессором Джолдасом Кулджановым, о необходимости восстановления клювовидно-ключичной связки. Хотелось бы освежить этот разговор в своей памяти и попросить профессора найти время и рассказать еще раз о целесообразности и технике восстановления клювовидно-ключичной связки, ну выслушать мнение коллег по Ортофоруму.С уважением Шушания Батал.
<
|
>
|
|
Ответить
|
Re: Акромиально - ключичное сочленение -застарелый разрыв
Евгений Чекашкин 29 Ноябрь 2010, 09:44
|
Батал,
Субакромиальный импинджмент, о котором вы так подробно описали, лечится хирургически, если нет улучшения после локального одно-двухкратного введения стероидов в сочетании с локальным анестетиком и курса физиотерапии.
Если нет возможности выполнить декомпрессию артроскопически, то открытая техника резекции остеофита вполне приемлема с не менее успешным результатом.
По снимку не создается впечатление о проблеме с корако-акромиальной связкой (может быть Тосси 1-2), которая не требует реконструкции.
Достаточно часто приходится делать 0.5 см резекцию акромиального отростка ключицы в сочетании с акромиопластикой.
Успехов,
Евгений
|
[
Ответить ]
|
Re: Акромиально - ключичное сочленение -застарелый разрыв
Александр Ситник 29 Ноябрь 2010, 21:16
|
А нет ли других проекций сустава? - нечеткая тень под акромионом позволяет подозревать кальцифицирующий тендинит - тогда высока вероятность окончательного "самоизлечения". А к акромиально-ключичному сочленению наверно придираться не стоит, хотя можно попробовать ввести анестетик и посмотреть результат
|
[
Ответить ]
|
Re: Акромиально - ключичное сочленение -застарелый разрыв
Paul 29 Ноябрь 2010, 22:48
|
Для успешной оценки повреждений в области ключично-акромиального сочленения рекомендуются: проекция Quesana - 45-градусов кпереди и 45-градусов кзади. Проекция Zanca передне-задняя проекция на акромиально-ключичный сустав с 10 градусным наклоном к голове.
Изначально, как всегда в ходу была 3-х уровневая классификация Allman and Tossy et al. включает три типа (I, II, и III), но для практики Rockwood ввел дополнительные типы IV, V, и VI, потому что сейчас описаны шесть типов повреждений.
В данном случае с уществует мнение о нецелесообразности оперативного лечения, но желания и ощущения больного наверняка пдоскажут врачу, что в данно ситуации должно применить способ позволяющий решить создавшуюся проблему.
Weaver-Dunn техника позволяет это сделать (в некоторых случаях при повреждениях V и VI типа использую собственную модификацию).
|
[
Ответить ]
|
Re: Акромиально - ключичное сочленение -застарелый разрыв
В. Шевченко 29 Ноябрь 2010, 23:51
|
В принципе, если есть набор для остеосинтеза из никелида титана, в нем должна быть и фигурная скобка для фиксации ключицы за клювовидный отросток. Используя ее в сочетании с удалением рубцовых тканей между акромионом и ключицей можно получить неплохой результат. Последнее время в нашем отделении выполняют резекцию 0.5 - 1.0 см акромиального конца ключицы без восстановления ключично-клювоводной связки. Функция плечевого сустава восстанавливается довольно быстро и без болевых ощущений для больных даже тяжелого физического труда.
|
[
Ответить ]
|
Re: Акромиально - ключичное сочленение -застарелый разрыв
Юрий Алексеевич Булахтин 30 Ноябрь 2010, 15:35
|
Батал Алексеевич, добрый день!
На мой взгляд, рекомендованная тактика была нерациональной - лучше было-бы прооперировать сразу... Про многочисленные методы "анатомического восстановления" акромиально - ключичной и кораковидно - ключичной связок (напр.,http://ru-patent.info/21/35-39/2138217.html) сегодня можно рассуждать лишь в историческом аспекте. Металлическую фиксацию, при застарелых повреждениях, рекомендовал-бы в двух вариантах:
1. крючковидная пластина на акромиально - ключичное сочленение + винт через ключицу в кораковидный отросток (надо постараться пройти как можно ближе к лопатке, в основание отростка, а то может развалиться). 2. "бюджетный" - двумя винтами: сначала, через ключицу в кораковидный отросток + второй в акромиально - ключичное сочленение (мениск и рубцы из него удалять не надо, чтобы потом не было анкилозирования). Разницы в результатах не видел никакой. Однако дважды наблюдал миграцию винта из акромиона у хоккеистов, поэтому всем через год удаляю. Пластину и второй винт можно "дарить" если снабжение госпиталя позволяет. При свежих травмах вполне достаточно одного винта в коракоидеус.
С уважением и наилучшими пожеланиями,
Юрий Алексеевич Булахтин
Камчатский Военно - морской госпиталь
|
[
Ответить ]
|
Re: Акромиально - ключичное сочленение -застарелый разрыв
Константин Деданов 30 Ноябрь 2010, 23:03
|
Добрый день, уважаемые коллеги! Выбор тактики оперативного пособия в этом случае должен, по моему мнению, основываться на двух основных положениях: наличии клиники артроза АКС (болевой синдром, хруст при движениях - субакромиальный импинджмент) и наличии признаков нестабильности АКС. Важно клинически определить мобильность ключицы по отношению к акромиону. Обсуждения в литературе допустимого уровня нестабильности в этом суставе достаточно редки. Ассоциация артроза и нестабильности требует открытой реконструкции клювовидно-ключичной связки с резекцией дистальной ключицы. Большинство методик акромиально-ключичной и клювовидно-ключичной фиксации (винт Bosworth, hook plate и т.д.) рассчитаны все же на свежую (до 2 недель) травму и ставят целью создание условий для формирования на месте поврежденной клювовидно-ключичной связки рубцового регенерата, полноценного морфологически и функционально. В случае застарелого повреждения регенерат зачастую не образуется вообще или образуется с удлинением, что не решает проблему. Поэтому многие предпочитают в таких случаях замещение клювовидно-ключичной связки. В качестве трансплантата в застарелых случаях следует применять прочные синтетические материалы или использовать алло- или аутосухожилие. Имеются данные об использовании в качестве аутотрансплантата сухожилий длинной ладонной мышцы или полусухожильной. По моему мнению, дополнительная операционная травма, связанная с забором трансплантата, в этом случае не оправдана. Для использования аллосухожилия необходима уверенность в качественной его заготовке в лаборатории консервации, что у нас, например, хромает(((. Использование неабсорбируемого синтетического материала может вызвать асептическую реакцию тканей на инородное тело. В общем, проблема выбора трансплантата налицо. Расположение же трансплантатов имеет решающее значение для адекватного вправления ключицы по отношению к акромиону. Простые серкляжные методы (проведение трансплантата под верхушкой или шейкой клювовидного отростка) приводят в конечном итоге к тому, что ключица занимает положение переднего подвывиха по отношению к акромиону. Для того, чтобы этого избежать, существует несколько приемов. Во-первых, проведение трансплантата связки не под клювовидным отростком, а фиксация его в канале, расположенном в основании коракоида. Lemos и Morrison предлагают проводить трансплантат связки под коракоидом, но располагать костные каналы в ключице не в анатомических точках, а смещать их кпереди. Напомню, что при анатомической реконструкции клювовидно-ключичной связки (Mazzocca с соавторами) предложено формировать в ключице 2 канала для анатомического воспроизведения конической и трапециевидной порций клювовидно-ключичной связки. Один из них располагается на 45 мм медиальнее АКС и в задней части ключицы. Второй канал располагается примерно на 15 мм латеральнее первого и в центре ключицы. Описаны случаи переломов ключицы на месте сформированных каналов, поэтому еще одна методика (S.J.Nicholas) предполагает формирование одного канала в ключице, при этом второй конец трансплантата пропускают кпереди от ключицы. Фиксация трансплантатов в ключице может быть выполнена с использованием биодеградируемых винтов либо путем простого связывания концов трансплантата с прошиванием узла. Вопрос о необходимости резекции дистальной ключицы в случаях застарелой травмы находит все больше сторонников этой манипуляции. Резекция может быть выполнена открыто или артроскопически. Результаты обоих методов в равной степени удачны. Существует теоретическое преимущество выполнения артроскопической резекции по сравнению с открытой. При артроскопической резекции верхняя акромиально-ключичная связка, как правило, хотя и не всегда, может быть сохранена. Однако любая, артроскопическая или открытая резекция более 5,2 мм у женщин и 7,6 мм у мужчин может нарушить эту структуру. В связи с этим предложены минимальные резекции дистальной ключицы и дистального акромиона, чтобы избежать повреждения этих структур.
Таким образом, по моему мнению, оптимальной тактикой оперативного лечения данного пациента может быть артроскопическая резекция дистальной ключицы с субакромиальной декомпрессией и реконструкция клювовидно-ключичной связки.
С уважением, К.Деданов, Челябинск
|
[
Ответить ]
|
Re: Акромиально - ключичное сочленение -застарелый разрыв
Александр Жужнев 01 Декабрь 2010, 00:23
|
А у нас супербюджетная метода,в связи с отсутствием Hook plate. Старая добрая операция Уоткинса-Каплана...Технически не сложно,бюджетно...И результаты вроде неплохие..Здесь бы после субакромиального импинджмента резекцию дист.ключицы экономно сделал бы + вышеуказанная операция...
|
[
Ответить ]
|
Застарелый разрыв АКС
Александр Жужнев 01 Декабрь 2010, 00:29
|
А у нас супербюджетная метода,в связи с отсутствием Hook plate. Старая добрая операция Уоткинса-Каплана...Технически не сложно,бюджетно...И результаты вроде неплохие..Здесь бы после субакромиального импинджмента резекцию дист.ключицы экономно сделал бы + вышеуказанная операция...
|
[
Ответить ]
|
Re: Акромиально - ключичное сочленение -застарелый разрыв
Игорь Девин 01 Декабрь 2010, 01:09
|
Уважаемый Батал Алексеевич!
На представленном снимке нет данных за повреждение акромиально-ключичного сустава.
Имеется артроз плечевого сустава 2 ст. Под акромиальным отростком лопатки имеется крупное костное образование: или остеофит, или оссификат в области старого повреждения ротационной манжетки плеча. Я думаю. здесь нужна артроскопия плечевого сустава. Отправьте больного в ортопедический центр по квотам. Если функция сустава сохранена в достаточном объеме, следует объяснить больному о необходимости консервативного лечениа артроза и убедить смириться с хрустом.
|
[
Ответить ]
|
Re: Акромиально - ключичное сочленение -застарелый разрыв
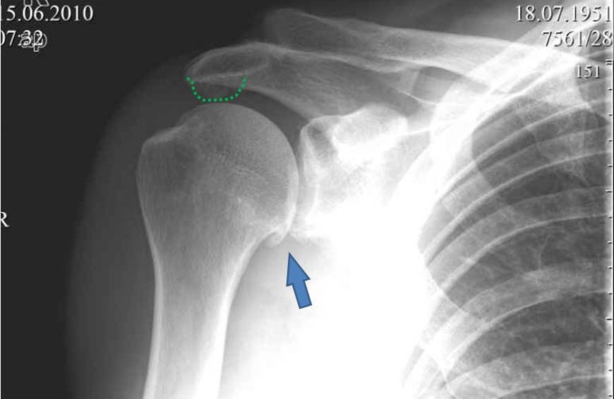
Michael Berenstein 01 Декабрь 2010, 01:50
|

Уважаемый Батал Алексеевич
Возможно у вашего пациента было какое-то повреждение АКС. Об этом говорит
состояние небольшого подвывиха, вторая степень - суставные поверхности
находятся друг против друга с небольшим смещением ключицы. Смещение
оценивается по нижней поверхности АКС. Но на рентгеновском снимке бросается
в глаза дегенеративные изменения. Первый из них это остеофит в нижней части
головки плеча (французская бородка) помечен стрелкой. Эта находка говорит о
артрозе плечелопаточного сустава. Вторая находка большой остеофит
акромиального отростка - помечен пунктирной линией. Данная находка говорит о
существующем давлении на сухожилия манжетки вращателей и вероятно разрыв
сухожилий. Rotator cuff syndrome Rotator cuff tear. Полный разрыв сухожилий
может объяснить хруст при движении в плечевом состоянии.
Операция по восстановлению АКС по моему мнению будет ошибкой и не даст
облегчение больному.
Я бы продолжил обследование включая дополнительный снимок сустава в
аксилярной проекции, УЗИ плечевого сустава и если есть возможность MRI.
В любом случае инъекция 2-3 мл лидокаина селективно в АКС, субакромиально и
в плечевой сустав позволит вам понять где находится проблема.
Судя по описанию ваш пациент страдает от разрыва манжетки. Акромиопластика и
васстановление манжетки может помочь.
С уважение Михаил Беренштейн
|
[
Ответить ]
|
Re: Акромиально - ключичное сочленение -застарелый разрыв
Батал Шушания 01 Декабрь 2010, 02:06
|
Огромнейшее спасибо за столь содержательные рекомендации, премного благодарен всем. Заказал выполнение МРТ плеча. Да как то я поверхностно подошел к диагностике. Теперь я перенес дату операции и буду далее осмысливать полученную информацию, как получу информацию МРТ исследовани, выложу обязательно.
Огромнейшее спасибо всем!!!
С уважением Шушания Батал.
|
[
Ответить ]
|
Re: Акромиально - ключичное сочленение -застарелый разрыв
Отправитель: Юрий Алексеевич Булахтин 01 Декабрь 2010, 02:38
|
Батал Алексеевич!
Не ограничивайте обследование только МРТ, даже при наличии специальной приставки для плеча результат исследования ротаторов часто бывает не точным. Сделайте еще и УЗИ (в идеале - у тех, кто профессионально занимается именно опорно - двигательной системой, например в ЦИТО).
С уважением, Юрий Алексеевич Булахтин
|
[
Ответить ]
|
|
Re: Акромиально - ключичное сочленение -застарелый разрыв
Ostanin 05 Декабрь 2010, 16:37
|
Если объем движений полный и тесты повреждения ротаторной манжеты отрицательные и беспокоит больного исключительно акромиально-ключичное сочленение, самым простым и эффективным вариантом будет резекция акромиального конца ключицы (Mumford). Любым из доступов провести релиз акромиального конца, проверить целостность ключично-клювовидной связки. Если целая - резекция 2-2,5 см конца ключицы, швы наглухо, ЛФК. Если повреждена - пластика любым из способов, резекция, швы, косынка, ЛФК. Просто, быстро, эффективно.
|
[
Ответить ]
|
( Ответить )
|
|