Ответить
|
Re: сложный случай протезирования
Илья 06 Декабрь 2010, 08:04
|
Я вижу три возможны варианта в этом случае. Самый простой--артродез. Второй--одновременная остеотомия бедра и фиксация его протезом на длинной ножке с покрытием по всей длине. Лучше всего использовать модулярный протез вроде Depuy S-ROM или Stryker Restoration. Они дадут наибольшее количество вариантов для работы с сильно деформированным бедром. Третий вариант--остотомия с фиксацией пластиной типа blade plate или proximal femoral locking plate, а потом, когда заживёт остеотомия, удаление пластины и более "стандартное" протезирование. На мой взгляд, второй вариант наиболее приемлемый, если у вас есть доступ к вышеупомянутым протезам.
Удачи!
|
[
Ответить ]
|
Re: сложный случай протезирования
Максим Агалаков 06 Декабрь 2010, 23:52
|
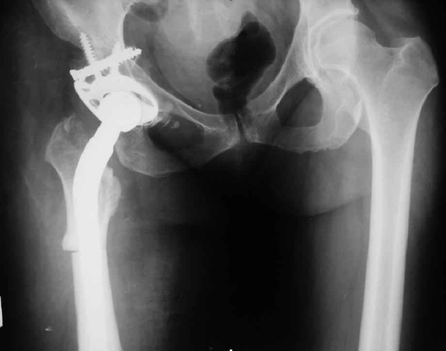
мы бы выполнили THA с укорачивающей, корригирующей резекцией на уровне деформации, тип ножки на ваш выбор, по литературе : лучше AML или Цваймюллер, по нашему опыту - подойдет Corail, если не уверены в ротационной стабильности -добавьте небольшую деротационную пластину (1/3 трубки по 3 винта с каждой стороны подойдет)
|
[
Ответить ]
|
Re: сложный случай протезирования
Rashid Tikhilov 06 Декабрь 2010, 23:54
|
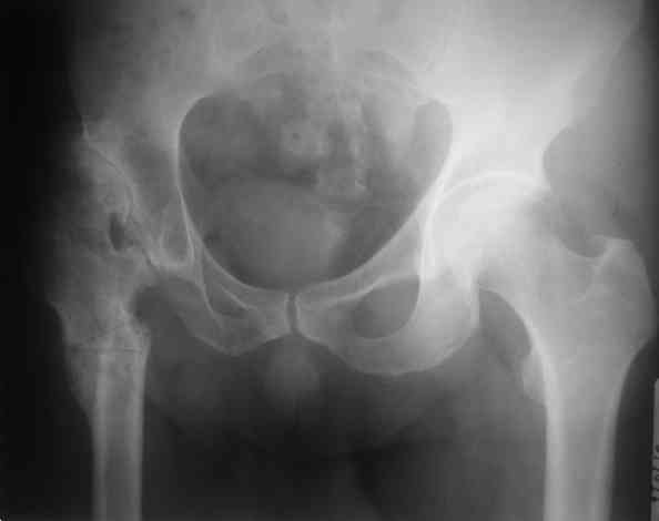
Уважаемый Андрей, ситуация не простая, нет обзорной Р-графии таза, поэтому сложно провести правильное планирование операции. Тем не менее, при планировании операции вертлужный компонент я бы установил в анатомическое положение. В отношении ножки - может быть два решения. Мое предпочтение - (операция типа Paavilaanen'a) поперечная остеотомия бедра на уровне чуть выше деформации, установка ножки Вагнера, скорее всего 190 мм, хотя возможно удастся обойтись и конической ножкой, это зависит от необходимой компенсации длины ноги. Продольная остеотомия б/вертела с последующей фиксацией к диафизу бедра с натяжением мышц. Есть и другой вариант - укорачивающая остеотомия в зоне деформации бедра с установкой ножки со стороны шейки. Мы делали и то и другое, первый вариант проще. В этой операции есть масса нюансов и нужно иметь опыт операций при дисплазии ТБС.
С уважением, Р.Тихилов
|
[
Ответить ]
|
Re: сложный случай протезирования
Alexander Vinogradsky 07 Декабрь 2010, 00:08
|

Был у нас подобный случай
Выполнена одномоментная коррекция деформации, эндопротезирование DePyu Pinnacle-AML. Пластинка с деротационной целью. При использовании ножки с прямоугольным сечением, думаю, можно и без нее.
|
[
Ответить ]
|
Re: сложный случай протезирования
Отправитель: Maxim Agalakov 07 Декабрь 2010, 00:13
|
об этом и писал с-но
|
[
Ответить ]
|
Re: сложный случай протезирования
Отправитель: Rashid Tikhilov 07 Декабрь 2010, 00:19
|
Уважаемые коллеги, без Р-граммы таза нельзя рекомендовать что-н.конкретно, представьте себе, что второй сустав находится в анатомическом положении,тогда позиция шейки протеза на оперируемой стороне будет примерно на уровне малого вертела, и тогда вам придется так укоротить б/вертел, что вы можете остаться без него.... Это очень не простые операции и нельзя без оценки всего таза что-н.советовать, во всяком случае мне так кажется
С ув.Р.Тихилов
|
[
Ответить ]
|
Re: сложный случай протезирования
Отправитель: Maxim Agalakov 07 Декабрь 2010, 20:11
|
у пациента - эти проблемы с детства, потому по-нашему скромному опыту, лучше сохранить, некоторое укорочение, чтоб не произошел срыв компенсации, например на уровне позвоночника. Конечно же планировать нужно по нормальным снимкам.
|
[
Ответить ]
|
|
Re: сложный случай протезирования
Vladimir B. Abduev 12 Декабрь 2010, 17:23
|
Уважаемый Андрей! Действительно сложно спланировать операцию без обзорного снимка таза, а так же рентгенограмы бедра в аксиальной проекции. По поводу реконструкции бедренной кости могу предложить следующие варианты опробированные на практике (если есть необходимость пришлю Р-граммы).
-Клиновидная остеотомия бедра на вершине деформации, с углом открыты внутрь. Это позволит выпрямить бедро, добиться полной адаптации обоих фрагментов. Использование ножки Вагнера не позволит фиксировать проксимальный отломок и потребуется какая то дополнительная фиксация, возможно пластиной.
-То же самое с использованием ножки Helios (Biomed) позволит выполнить вполне качественный остеосинтез (ножка из двух частей и позволяет оптиально зафиксировать оба фрагмента), к тому же с возможностью блокирования. Поэтому дополнительной фиксации не потребуется.
-Во всех наших наблюдениях применялась чашка Цвеймюллера.
Удачи. С уважением Vladimir B. Abduev
|
[
Ответить ]
|
Re: сложный случай протезирования
Alexander Rykov 17 Декабрь 2010, 19:59
|
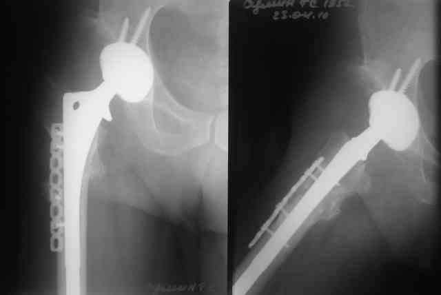
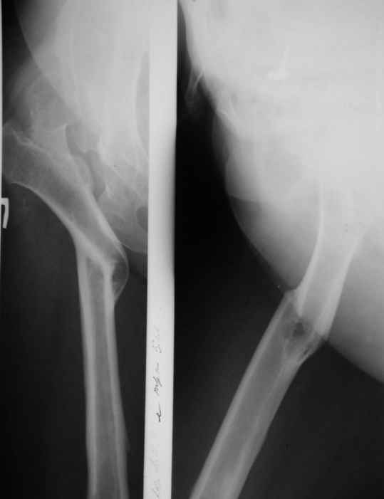
В прищепке случай 1999 года - эндопротезирование после операции Шанца-Илизарова. Возраст пациентки 45. Коррекция была в 17 лет. А Рыков Хабаровск.
|
[
Ответить ]
|
( Ответить )
|
|