вверх
отправить
поиск
админ
главная
|
Переломы пяток. Fractures of the calcaneus |
 |
 |
 |
Отправлено Салимов Руслан 11 Декабрь 2010, 21:54
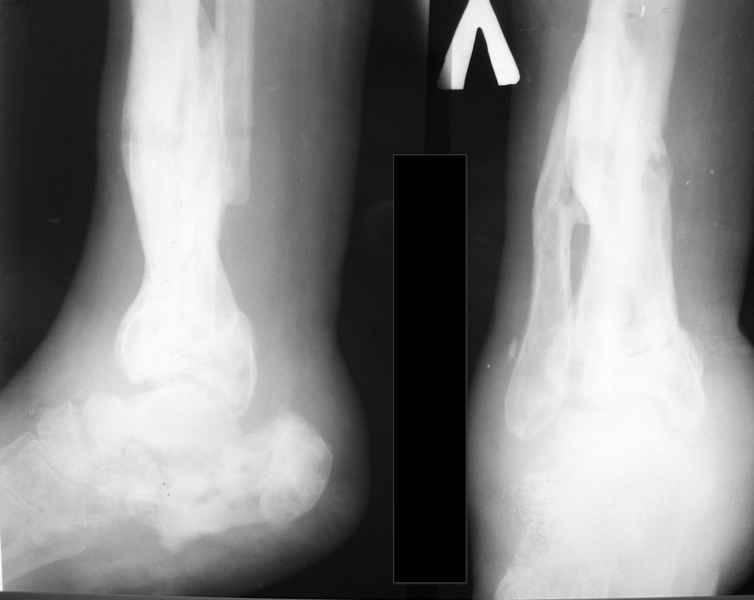
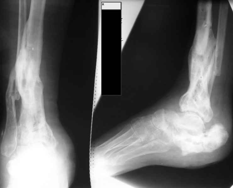
Молодая девушка со сросшимися многооскольчатыми переломами пяток и голеней.Young girl with fractures of the calcaneus Больная Н., 25 лет, падение с высоты (2008 г.). Жалобы на боли в области голеностопных суставах, в области пяток при ходьбе. Лечилась в аппаратах внешней фиксации по поводу открытых оскольчатых переломов обеих голеней, переломов пяток. Далее по поводу несросшихся переломов голеней –ЧКОС аппаратами внешней фиксации. Переломы срослись, аппараты демонтированы весной 2010г. В левой пяточной области в месте проведения спицы имеется сукровичное отделяемое. При ревизии гноя нет. Чем помочь девушке?
Patient N., age 25, falls from heights (2008). Complaints of pain in the ankles, in the heel when walking. She was treated by external fixation on open comminuted fractures of both legs, fractures of the calcaneus. Then she was treated by external fixation from nonunion of both legs. Now fractures are fused, apparatuses removed in the spring of 2010. How to help a girl?
<
|
>
|
|
Ответить
|
Re: Переломы пяток. Fractures of the calcaneus
Ivan Petrov 12 Декабрь 2010, 13:50
|
А какие у девушки жалобы? какие у нее в настоящий момент функциональные возможности? Что она сама хочет получить в результате лечения?
На первый взгляд возникает мысль о панартродезе стопы.
|
[
Ответить ]
|
Re: Переломы пяток. Fractures of the calcaneus
Dr.Michalich 14 Декабрь 2010, 00:28
|
Добрый вечер!Посев на флору и чув-ть к ан-м из отделяемого левой пяточной кости.После результатов ответа.Трехсуставной артродез с костной пластикой, (трансплантат из крыла подвздошной кости в подтаранный сустав) низведение пяточной кости винт-стержень в пяточный бугор, АВФ спице-стержневого типа, обязательная фиксация и тракция стопы. Условие, позволяют мягкие ткани в правой пяточной кости выполнить операцию.При таких взрывных переломах,первоначально необходимо проводить стержень в пяточную кость,удобно репонировать низводить,проще в дальнейшем выполнить артродез.Успехов!
|
[
Ответить ]
|
Re: Переломы пяток. Fractures of the calcaneus
Maxim Agalakov 17 Декабрь 2010, 21:57
|
я бы начал с осевых снимков голени (как минимум. лучше всей конечности) и фото ноги, несмотря на жутковатую картину пятки, подобные пациенты часто неплохо компенсированы (сам такой), возможно беспокоят не столько пятка. сколько деформация голени
|
[
Ответить ]
|
( Ответить )
|
|