ВХОД ДЛЯ ПАЦИЕНТОВ
вверх
поиск
админ
главная
исходное
|
Re: перелом мыщелка и диафиза большеберцовой кости - тактика?
послал Антон Лебединец 22 Декабрь 2010, 22:40
|

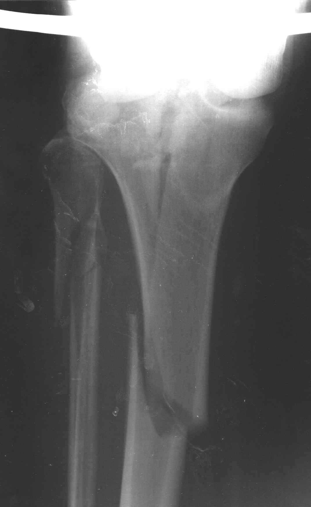
Пациенту сделали КТ - ухитрились сделать на шине Белера (не давал положить прямую ногу) - срезали передний отдел. Планируется на пятницу (24.12) на операцию - синтез длинной мыщелковой LCP-пластиной Synthes :). Отек ближе к слову умеренный (окружность голени +4 см по сравнению со здоровой). КТ и снимок на вытяжении прилагаются.
Спасибо всем за высказанные мнения, о результатах обязательно проинформирую.
|
| Послать ответ |
Обратите внимание: Поля с жирными названиями обязательны.
Старайтесь отвечать в рамках обсуждаемой темы, а не начинать новые обсуждения.
Указывайте адекватную тему сообщения, чтобы было ясно, о чем оно.
Не послайте сообщений не по теме (оффтопик), раздраженных, грубых или обидных комментариев. Здесь это неуместно.
|