Ответить
|
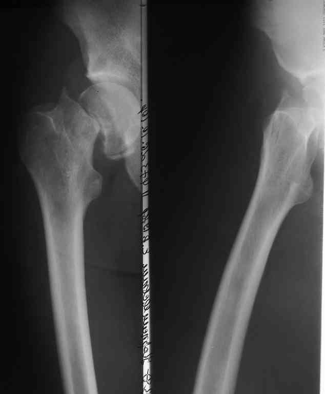
Re: помогите с тактикой лечения
Андрей 21 Декабрь 2010, 01:37
|

Рентгенография
|
[
Ответить ]
|
Re: помогите с тактикой лечения
Отправитель: Скребцов Владимир 21 Декабрь 2010, 03:50
|
Перелом конечно-же не очень благоприятный, но мне думается, что в 34 года надо обязательно сделать попытку органосохраняющей операции, к протезированию всегда можно будет вернуться. Я бы предложил МОС винтами+костную аутопластику кортикально-губчатым трансплантатом. На операции, если будет техническая возможность, выполнить небольшую остеотомию шейки, для перевода линии перелома в более горизонтальную плоскость. В предоперационном периоде-скелетное вытяжение. Чудеса,конечно редко, но случаются, тем более, что пациент физически здоров. Удачи!
|
[
Ответить ]
|
|
Re: помогите с тактикой лечения
Dr.Michalich 21 Декабрь 2010, 01:40
|
Прикрепите RO-граммы.
|
[
Ответить ]
|
Re: помогите с тактикой лечения
Отправитель: Dr.Michalich 21 Декабрь 2010, 02:04
|
Добрый вечер!Лизиса головки нет,открытый мос спонгиозными винтами,предварительно наложите скелет за надмыщелковую область бедра,хорошо растяните,проще будет выполнить репозицию во время операции.Удачи!
|
[
Ответить ]
|
|
Re: помогите с тактикой лечения
Сергей 21 Декабрь 2010, 04:09
|
Здравствуйте.
Пациент очень! молодой. С эндопротезированием спешить не стоит. Своя головка однозначно дольше служить будет (если не рассосется).
Зону склероза среза головки "освежить" множественными неглубокими перфорациями тонким сверлом. Открытая репозиция, желательно с небольшой вальгусной установкой головки, МОС спонгиозными винтами с хорошей компрессией (структура губки головки отчетлива,сорвать нарезку надо хорошо постараться).
Возможно, после МОС останутся небольшие дефекты (головка бедра как бы выедена по срезу перелома в зоне конфликта с дистальным отломком), их выполнить губчатой аутокостью.
Шансов на регенерацию немало. А эндопротез "заклепать" всегда успеете.
|
[
Ответить ]
|
Re: помогите с тактикой лечения
Сергей Дукер 21 Декабрь 2010, 11:48
|
возможна межвертельная медиализирующая остеотомия, создание дополнительной точки опоры с фиксацией в аппарате или пластиной типа Троценко-Нуждина. С протезом всегда успеете.
|
[
Ответить ]
|
Re: помогите с тактикой лечения
Юрий Алексеевич Булахтин 21 Декабрь 2010, 14:24
|
Здравствуйте, Андрей!
Мне кажется, есть смысл выполнить КТ головки - определить ее состояние вообще и уточнить является-ли "образование" под нижним контуром ее фрагментом.
С уважением, Юрий Алексеевич Булахтин,
Камчатский Военно - морской госпиталь
|
[
Ответить ]
|
Re: помогите с тактикой лечения
Екимов Михаил 21 Декабрь 2010, 23:45
|
Уважаемый коллега, я бы предложил конечно сохраняющую операцию: репозиция отломков на ортопедическом столе, фиксация перелома системой DHS, совместив с костной пластикой из гребня подвздошной. Трансплантант через дополнительный канал, выше винта, перекрыв зону перелома.После операции - дозированная нагрузка. Если пациент не ответственный, дополнил бы укороченной кокситной повязкой на 2 месяца. По опыту результат хороший. Творческих успехов.
|
[
Ответить ]
|
Re: помогите с тактикой лечения
Баходир Мамасолиев. 22 Декабрь 2010, 00:59
|
Добрый вечер Андрей.у нас был такой поциент.Мы поступили так:1 синтез двумя спонгиозноми винтами,деаметром 3.5.по длине шейки под ЭОП. 2.Тазобедренная повязка на 3 месяц. (Для сохранения крово обрашения головки).данный момент поциент ходить.боли нет.не храмает. Rg удовл.
|
[
Ответить ]
|
Re: помогите с тактикой лечения
Отправитель: Alexey Semenisty 22 Декабрь 2010, 09:50
|
Опишите механизм, каким образом тазобедренная повязка cохраняет кровоснабжение головки бедра....
|
[
Ответить ]
|
Re: помогите с тактикой лечения
Отправитель: Баходир 22 Декабрь 2010, 10:50
|
Не ТБС повязка! А спонгиозные винты !!!
|
[
Ответить ]
|
Re: помогите с тактикой лечения
Отправитель: Сергей 23 Декабрь 2010, 23:32
|
Сообщите, из какого материала сделаны 3,5 мм винты - непонятно ведь, каким образом столь тонкие винты удерживают отломки бедра? Либо тазобедренная повязка помогает удерживать отломки на массиве мышц бедра и таза?
|
[
Ответить ]
|
|
Re: помогите с тактикой лечения
Alexander Chelnokov 22 Декабрь 2010, 10:25
|
Закрытая репозиция с гипервальгусом 5-10 градусов, остеосинтез спонгиозными винтами. Если не срастается - вальгизирующая остеотомия по Marti.

|
[
Ответить ]
|
Re: помогите с тактикой лечения
Бережной Сергей 22 Декабрь 2010, 14:24
|
Если решитесь делать остеосинтез, покажите результат обязательно. Все-таки субкапитальный перелом с вероятным переходом на головку, почти через 3 месяца после травмы. Возможность закрытой репозиции через такой срок вызывает сомнения. Открытая еще больше нарушит кровоснабжение. КТ до операции было бы неплохо сделать.
|
[
Ответить ]
|
Re: помогите с тактикой лечения
Екимов Михаил 22 Декабрь 2010, 15:49
|
на память приходит, что при ложных переломах шейки бедра существует классическая медиализирующая, вальгизирующая остеотомия по Мак Моррею. Ещё, как вариант в данной ситуации.
|
[
Ответить ]
|
Re: помогите с тактикой лечения
Никитин Серегй 22 Декабрь 2010, 18:55
|
КТ - однозначно.
Учитывая тип перелома и сроки я за эндопротезирование.
Остеотомии, пластика и тд - затягивание сроков реабилитации + создание неблагоприятных условий для последующего эндопротезирования. Правильно выполненное эндопротезирование с применением металл-металл или кер-кер. И ацетабулярный компонент не кобальтовый типа "магнум", а титановый с мет или кер вкладышем.
|
[
Ответить ]
|
Re: помогите с тактикой лечения
Гофман Алекс 23 Декабрь 2010, 02:48
|
Я тоже думаю,что наилучший вариант в данной ситуации- это эндопротезирование.
И прежде провести КТ для оценки пертрохантерной области,где на мой взгляд присутствует трещина, которая может причинить проблемы во время операции.
С уважением,
Др.Гофман Алекс
Ортопед,спинальный хирург
Больница Рамбам, Хайфа,Израиль
http://israelortopedconsult.ru/home.htm
|
[
Ответить ]
|
Re: помогите с тактикой лечения
Адонин 23 Декабрь 2010, 07:58
|
я за эндопротез.
|
[
Ответить ]
|
Re: помогите с тактикой лечения
Игорь Девин 24 Декабрь 2010, 00:03
|
Уважаемый Юрий! Конечно, можно выполнить высокою скользящую медиалинизирующую межвертельную остеотомию по Венту с остеосинтезом угловой 120 пластиной, но лучше провести первичное эндопротезирование,пациент быстрее социально реабилитируется. 34 года - это не 20.
Игорь Девин.
|
[
Ответить ]
|
Re: помогите с тактикой лечения
Данилов Евгений 24 Декабрь 2010, 00:05
|
При данной возрастной категории склоняюсь закрытой репозиции, синтезу канюлированными титановыми винтами, согласно рекомендациям АО...возможно с аутотрансплантатом из гребня....дай те шанс перелому срастись. Коксид не нужен, если больной с " головой", опять же возможны и ранние реабилитационные мероприятия....Да - высок риск отрицательного результата, но первичное эндопротезирование ведёт всегда за собой ревизию, это вопрос времени. А к остетомии надо быть готовым при операции синтеза и сложности репозиции.
Данилов Евгений ГБ №38 Пушкин
|
[
Ответить ]
|
Re: помогите с тактикой лечения
Отправитель: adonin 24 Декабрь 2010, 02:03
|
Вы действительно считаете возможным закрытую репозицию субкапительного garden 4 перелома через 3 месяца после травмы? Если "да" - на каком основании? имеется собственный опыт удачных репозиций или данные литературы? если литературы - какой?
|
[
Ответить ]
|
|
Re: помогите с тактикой лечения
Антон Андрианов 24 Декабрь 2010, 21:37
|
К сожалению, социальный статус пациента не восстановится ни после остеосинтеза, ни после ТЭП, в армии его уже не оставят. Склоняюсь к варианту медиализирующей остеотомии. С 90-х годов при недоступности основной массе платного эндопротезирования и невозможности три года ожидания квоты пациентам с несросшимися переломами ШБК мы делали вальгирующую чрезвертельную остетомию с медиализацией и пациенты вполне довольны результатами.Осложнения минимальны, начальные аваскулярные дистрофии головки способны к регрессу при соблюдении пациентом режима нагрузки. Очень привлекательно выглядит схема остеотомии с латерализацией удлиняющая шейку, описанная раннее на форуме Д.Кульджановым, но ее пока не выполняли.

Прилагаю снимок пациента 69 лет оперирован лет 8 назад.
|
[
Ответить ]
|
Re: помогите с тактикой лечения
Отправитель: Юрий 25 Декабрь 2010, 00:25
|
А исходный снимок есть?
|
[
Ответить ]
|
|
Re: помогите с тактикой лечения
Maxim Agalakov 24 Декабрь 2010, 21:38
|
При открытой репозиции вы увидите картину ложного сустава (склерозированные отломки и тд). Репозиция и фиксация в этой локализации в эти сроки, в этой ситуации скорее всего обречена на неуспех, но чудеса бывают
|
[
Ответить ]
|
Re: помогите с тактикой лечения
Djoldas Kuldjanov 26 Декабрь 2010, 01:05
|
Независимо от метода фиксации, любой перелом шейки бедра может осложниться ложным суставом. Часто у молодых, после травмы с высокой энергией и особенно с вертикальными переломами. Более половина леченных после переломов по Pauwels III заканчиваются аваскулярным некрозом или ложными суставами.
Молодой возраст больного является противопоказанием к артропластике, и необходимо сделать все возможное, чтобы уйти от "внутренней ампутации" головки. С момента травмы более трех месяцев, и жизнеспособность головки пока не вызывает опасений. Свободная подвиженность по линии перелома доказывает, что патология в стадии ложного сустава.
Канюлированные шурупы в остром периоде "золотой стандарт", но в застарелых случаях не удержат ложный сустав. Для лечения ложного сустава шейки бедра предложено много различных методов, например:
Свободная фибула с компрессионным шурупом, у детей от 8-17 лет 94% успеха. Из них в 2 случаях (12%) срослось после 6 мес., в дальнейшем у четверых развилась кокса вара, и неизвестна судьба донорского участка, только у четверых улучшился дооперационный варус.
Quadratus femoris muscle-pedicle graft (MPG) - при свежих переломах срослись 95%, из них у 5% развился АВН. В дальнейшем отсутствуют сравнительные научные данные. Johnson KD, Brock G; A review of reduction and internal fixation of adult femoral neck fractures in a county hospital.; J Orthop Trauma 1989;3 (2):83-96; Lippincott-Raven
Модифицированный мускуло педикулярный графт применен у 56 несросшихся переломов и у 82% наступило сращение, 12 coxa vara, и 8 не срослись, несмотря на щадящий режим (6 и более мес. на костылях)
Gluteus minimus or anterior trochanteric muscle graft имеет технические трудности в мобилизации gluteus medius, которая располагается около 4 см проксимальнее вершины большого вертела. Риск нарушения кровоснабжения головки при латеральном доступе.
Vascularized fibular graft дает хороший результат, но технически сложно, и надо привлечь другую трудоемкую службу.
Из-за вальгизации конечности предложенная медиализирующая остеотомия не подходит для лечения ложного сустава. Спонгиозные шурупы в 3.5 мм для шейки??? механически слабые, а кокситная повязка в наши дни архаизм.
Из предложенных методов вальгусная остеотомия создает наилучшие биомеханические условия. Успех более 92%, делается внесуставно с наименьшим риском для кровоснабжения. Межвертельная остеотомия около 20-25 градусов и стандартная фиксация 120 градусным Blade Plate.
Все внутрисуставные операции имеют большой процент осложнений!
Ипсилатеральный перелом имеет другой режим нагрузки и для решения вопроса необходимо иметь и другие снимки.
Djoldas Kuldjanov, M.D.
Associate Professor
Department of Orthopedic Surgery
St. Louis University
|
[
Ответить ]
|
Re: помогите с тактикой лечения
Андрей 06 Январь 2011, 22:29
|
Уважаемые коллеги! Отчитываюсь за проведенное вмешательство. Учитывая пожелания коллег и личный опыт решили ревизия места перелома с возможным последующим протезированием. При вскрытии места перелома - головка бедренной кости не жизнеспособна (не кровоточит), "костная пробка" на культе шейки бедренной кости. У тановлен эндопротез безцементной фиксации Stryker. Уважаемые коллеги большое спасибо за Ваши мысли и отзывы.
|
[
Ответить ]
|
Re: помогите с тактикой лечения
Отправитель: Сергей 07 Январь 2011, 16:39
|
То, что ткань головки не будет явно кровоточить - было понятно и по предоставленным снимкам, при субкапитальных переломах шейки бедра основные пути кровоснабжения головки становятся несостоятельными. Но на одном отсутствии кровоточивости костной ткани делать выводы о ее жизнеспособности, на мой взгляд, неправильно. А "костная пробка" на шейке бедра - что Вы этим хотели сказать? Конечно, эндопротезирование выполнить технически проще, и результаты его более реальны и приятны и для хирурга, и для пациента (если жить сегодняшним днем). Кстати, для молодых больных уже внедрены в России более прогрессивные технологии эндопротезирования, чем "эндопротез безцементной фиксации Stryker".
|
[
Ответить ]
|
|
( Ответить )
|