AOTRAUMA.ORG Центр Илизарова  

Ортопедия и травматология Общие вопросы/General questions Help Информационные технологии в медицине
 ВХОД ДЛЯ ПАЦИЕНТОВ
 вверх
 поиск
 админ
 главная


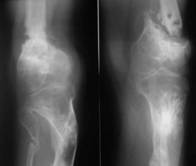
Псевдоартроз дистального отдела бедра. Distal femur nonunion
Ортопедия и травматология Прислано Maxim Agalakov 27 Декабрь 2010, 23:27
из
Псевдоартроз дистального отдела бедра. Distal femur nonunion у пациента 26 лет
Открытый перелом н/3 бедра и в/3 голени в 2006 году. выполнен малоинвазивный накостный остеосинтез после заживления ран (снимки утеряны), через 3 мес после остеосинтеза - глубокое нагноение, консультировался и лечился с 2006 года в одном из лучших НИИ. многократные остеотомии, компрессии, дистракции. В августе 2010 - снят аппарат в поликлинике в центре, рекомендации - ходить в ортезе, показаться через 2 мес, консультирован в другом НИИ - рекомендовано дообследование (приличный список, каждый раз добавлено нечто новое).
В итоге попал к нам, движения в к/с отсутствуют, подвижность только на уровне ложняка, передненаружная поверхность области к/с представляет собой многочисленные рубцы от доступов, закрытых свищевых ходов. Свищей нет на протяжении 3 лет, кровь не воспалительная, СРБ - отс.

Подскажите тактику. Размышляем гвоздь антеградно до метафиза б/б кости, пластина с костной пластикой по внутренней поверхности, кожно-мышечные лоскуты по наружной (для улучшения кровоснабжения) с какой-либо фиксацией? другие варинты (ЧКО в чистом виде пока не рассматриваем , т.к. делали до этого в более компетентном по этим вопросам учреждении)

Послать ответ

Имя
Email
Уведомление Сообщить мне по e-mail об ответах на это сообщение
Название
Комментарий
(Проверьте URL! Не забудьте написать http://!)
Кодировка
Если не знаете, что выбрать, выберите "Просто текст"!
Приложение
Можно приложить к сообщению файл c изображением, который затем будет доступен увидевшим сообщение.
Подготовка иллюстраций:
  • Рентгенограммы: черно-белые полутоновые изображения в формате JPEG (8 bit, greyscale) с разрешением от 300х200 до 1024х768 пикселов;
  • Клинические фотографии: полноцветные изображения в формате JPEG (24 bit, truecolor) с разрешением от 300х200 до 1024х768 пикселов;
  • Схемы и рисунки: черно-белые (2 bit) штриховые (line-art) изображения в формате GIF или compressed TIFF
  • Подберите степень сжатия файла JPEG и размер изображения таким образом, чтобы необходимые детали были различимы, но размер файла не превышал 75 кб.
  • Учтите, что текущая версия программного обеспечения Форума позволяет приложить к одному сообщению лишь один файл-вложение. Поэтому, если необходимо отправить несколько изображений, можно либо послать каждое как отдельное сообщение, либо в графическом редакторе объединить изображения в одно (сделать коллаж).
  • Если при подготовке изображений встречаются трудности, не стесняйтесь обратиться к координатору Форума.

  • Введите видимые символы в обратном порядке. Enter the above characters in reverse order (*Обязательно)
    В тексте сообщения можно использовать теги HTML <B> <I> <P> <A> <LI> <OL> <UL> <EM> <BR> <TT> <HR> <STRONG> <BLOCKQUOTE> <DIV .*> <DIV> <P .*>
  • Обратите внимание: Поля с жирными названиями обязательны.
  • Старайтесь отвечать в рамках обсуждаемой темы, а не начинать новые обсуждения.
  • Указывайте адекватную тему сообщения, чтобы было ясно, о чем оно.
  • Не послайте сообщений не по теме (оффтопик), раздраженных, грубых или обидных комментариев. Здесь это неуместно.
  • Powered by Zope  Squishdot Powered MedLink
    Посетитель: 0016020
      "По форме правильно, а по существу - издевательство" В.И.Ленин
    ©2001-2019Orthoforum Coordinator.
    [ Главная | Отправить сообщение | Поиск | Админ ]