вверх
отправить
поиск
админ
главная
Предыдущее
|
Re: Необходим ли МОС обеих костей голени?
Андрей Волна 08 Январь 2011, 19:02
|
Добрый день и с праздниками (наверное, к счастью - завершающимися), коллеги! Мне кажется, столь длительная дискуссия по достаточно простому случаю обусловлена, в частности, определённой путаницей в головах части достопочтенной аудитории. А именно: 43 А1 после остеосинтеза большеберцовой кости никогда не перейдёт в 44 В1. Подчеркну, НИКОГДА. После остеосинтеза большеберцовой кости в случае перелома обеих костей голени оставшийся нефиксированным перелом малоберцовой кости будет продолжать трактоваться нами, как компонент диафизарного перелома костей голени, а не становится вдруг компонентом другой нозологической формы - перелома лодыжек. Голень остаётся голенью. Равно как и при переломе пилона выполненный остеосинтез большеберцовой кости ни в коей мере не превращает данный перелом в повреждение лодыжек. Пилон остаётся пилоном. Почему? - Механизм повреждения, распределение и критические точки *взрыва* вследствие действия запредельной нагрузки различны. Это и приводит к существованию разных нозологических форм - разных переломов в одной и той же анатомической зоне. Редко, но возможна комбинация двух различных переломов на голени. Иногда, если мы говорим о дистальном её отделе - это перелом лодыжек плюс перелом голени. Но это случается, к счастью, достаточно редко. Чаще при винтообразном переломе линия последнего распространяется и на дистальный метаэпифиз. Но от этого перелом голени не становится переломом лодыжек по механизму.
Поэтому - что и при переломах обеих костей диафиза голени, что и при переломах пилона НЕ БЫВАЕТ разрыва дистального межберцового синдесмоза. Просто, если бы это произошло, у пациента был бы другой перелом. Повторюсь, бывает комбинация двух переломов, но, к счастью, очень редко.
Показания для остеосинтеза малоберцовой кости и наружной лодыжки при переломах голени и пилона известны и продолжают обсуждаться, литературу найти можно. Не вдавясь в подробности - в данном конкретном случае остеосинтез наружной лодыжки был желателен для ранней безболезненой реабилитации голеностопного сустава. Надобности в позиционном винте не было и быть не могло. Хочется только надеяться, что проведённая операция была достаточно доброжелательной к мягким тканям, хотя определённые детали послеоперационных Рентгенограмм могут косвенно свидетельствуют об обратном... Так же, как и достигнутая репозиция. Но это не входит в рамки обсуждения, насколько я понимаю. С уважением, Волна
|
|
|
Ответить
|
Re: Необходим ли МОС обеих костей голени?
Дмитрий Бондарь 09 Январь 2011, 00:38
|
Андрей, полностью с Вами согласен, поэтому и задавал "наводящие" вопросы. " Редко, но возможна" это реально редко!
С уважением Д.Б.
|
[
Ответить ]
|
Re: Необходим ли МОС обеих костей голени?
Дмитрий Бондарь 09 Январь 2011, 00:38
|
Андрей, полностью с Вами согласен, поэтому и задавал "наводящие" вопросы. " Редко, но возможна" это реально редко!
С уважением Д.Б.
|
[
Ответить ]
|
Re: Необходим ли МОС обеих костей голени?
Юрий 11 Январь 2011, 01:52
|
Уважаемый Андрей.
В обсуждаемом случае есть полный разрыв одной из важных составляющих дистального межберцового синдесмоза - межкостной мембраны. Зачастую при полном разрыве lig.tibiofibulare anterius после остеосинтеза лодыжки пластиной межкостная мембрана настолько прочно удерживает вилку сустава, что кроме шва дистального межберцового синдесмоза, введение позиционного винта не обязательно. Но в представленном случае разрыв межкостной мемраны особого значения не имеет, т.к. lig.tibiofibulare anterius цела. Поэтому ДМС поврежден частично, хотя практического значения это не имеет. Остеосинтез малоберцовой выполнен в большей мере потому, что пациент хотел обойтись без внешней иммобилизации.
Теперь о другом. Бережное отношение к тканям - это довольно философский вопрос. Есть мнения, что хорошей репозицией можно пренебречь, а главное - в меньшей мере травмировать надкостницу. Идеальная репозиция простого винтообразного перелома (студенческого) большеберцовой кости с скосом в 2,5 - 3 диаметра и МОС по правилам АО в сочетании с бережным (или не очень) отношением к надкостнице при отсутствии воспаления всегда (по моему опыту) приводит к консолидации в обычные сроки. До, можно было синтезировать и 3 - 5 винтами с чуть меньшего разреза (проксимальные 4 см пластины проведены под кожей), но все же это менее стабильно, чем МОС пластиной. Мне очень интересно понять Ваше мнение, какие детали послеоперационных рентгенограмм косвенно свидетельствуют об отношении хирурга к мягким тканям.
|
[
Ответить ]
|
Re: Необходим ли МОС обеих костей голени?
Отправитель: Андрей Волна 11 Январь 2011, 17:30
|
Уважаемый Юрий, выполнив любое хирургическое вмешательство, каждый из нас (или значительное большинство), анализируя послеоперационные рентгенограммы, задаётся двумя вопросами: 1. Что сделано хорошо и в этой связи должно быть повторено в ходе следующей операции. 2. Что можно изменить и улучшить в будущем?
Так как Вы выложили послеоперационные рентгенограммы (что, безусловно, честь и хвала для Вас и хороший пример для всех нас), то, очевидно, это предполагает и возможность какой-то оценки участниками дискуссии.
И так, в результатах лечения любого перелома важны обе составляющие, как механическая, так и биологическая. И отношение к мягким тканям, приёмы репозиции вопрос не более философский (я бы лучше сказал - отстранённый от действительности), чем механическая составляющая вмешательства. То, что хорошо проходит у 20летнего пациента, может привести к катастрофическим последствиям у 60летнего именно из-за проблем с кровообращением зоны перелома. К тому же никем не оспаривается факт, что и часть послеоперационных нагноений связана, прежде всего, с наличием нежизнеспособных тканей под швами. Ну, а микробное начало, как правило, в таких случаях находится. Интересно, что и размер кожных операционных ран здесь, зачастую не имеет значения. Миниинвазивность - более широкое понятие, результатом которого является сохранённое кровообращение, а не размер операционного доступа.
Таким образом, анализируя сделанную работу, я бы отметил очень, очень достойное механическое решение вопроса. Очевидно то, что Вы достигли межфрагментарной компрессии и грамотно нейтрализовали действующие на перелом иные силы с помощью пластины. В то же самое время, именно биологическая составляющая вмешательства, мне кажется, может быть улучшена Вами в будущем. Я не говорю о завтрашней Вашей операции, мне хотелось только обозначить ориентир, к которому можно стремиться. Конечно, многое зависит от оборудования - но, многое - и от понимания и желания овладеть не только приёмами прямой открытой репозиции, но и непрямой, но и закрытой прямой и так далее. Здесь есть к чему стремиться и есть, что улучшать. Тем более, что дистальные винтообразные диафизарные и метадиафизарные переломы голени являются отличным объектом для этого. Но, ещё раз подчеркну - это отдельная тема для изучения и обсуждения. В приложенном файле - короткий фрагмент лекции, демонстрирующий только один из таких приёмов.
ppt, 793 Kb
Кстати, чрескожной закрытой прямой репозицией с помощью остроконечных репозиционных щипцов можно с успехом пользоваться и при интрамедуллярном остеосинтезе, что обсуждалось как то и здесь, на форуме. В лекцию попало фото случая, что мы с Александром Шевченко делали у него в клинике. В том, что касается накостного остеосинтеза - найдите сами отличия, при желании.
С уважением к сделанной Вами работе, Андрей
|
[
Ответить ]
|
Re: Необходим ли МОС обеих костей голени?
Отправитель: Юрий 19 Январь 2011, 18:58
|
Извините за ошибочное расположение моего дополнения к треду, представленнный случай касается Вашего, Андрей, поста от 8 января, где идет речь о редких? комбинациях переломов костей голени.
С уважением, Юрий
|
[
Ответить ]
|
|
Re: Необходим ли МОС обеих костей голени?
Юрий 18 Январь 2011, 21:21
|
Уважаемый Андрей.

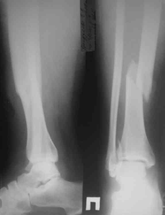
Представляю рентгенограмму перелома обеих костей голени, где определяется разрыв дистального межберцового синдесмоза.
С уважением, Юрий
|
[
Ответить ]
|
Re: Необходим ли МОС обеих костей голени?
Отправитель: Андрей Волна 18 Январь 2011, 23:53
|
??!
С уважением, Волна.
|
[
Ответить ]
|
Re: Необходим ли МОС обеих костей голени?
Отправитель: Юрий 19 Январь 2011, 12:49
|
Некачественный снимок? либо необходимо прокомментировать свою позицию?
|
[
Ответить ]
|
Re: Необходим ли МОС обеих костей голени?
Отправитель: Юрий 19 Январь 2011, 15:01
|

Механизм травмы - подвернул ногу. На боковом снимке видно, что латеральная лодыжка поломана на уровне голеностопного сустава. Во время травмы, кроме воздействия крутящего момента на кости голени, происходило еще и стремительное движение тела больного вниз вместе с проксимальным отломком малоберцовой кости (сила земного притяжения), вследствие чего разрывается межкостная мембрана, передняя межберцовая связка (lig.tibiofibulare anterius), рудиментарная поперечная связка. На боковом снимке конец проксимального отломка ( в данном случае место прикрепления передней межберцовой связки) находится на уровне середины таранной кости. Соответсвенно, последняя разорвана. Смещение отломков костей голени по длине - около 2 см.
Соответственно, из составляющих ДМС осталась целой
лишь задняя межберцовая связка. Хирургу, который будет оперировать пациента, рекомендовано наложить шов передней межберцовой связки, и ввести позиционный винт выше ДМС.
|
[
Ответить ]
|
|
( Ответить )
|
|