Ответить
|
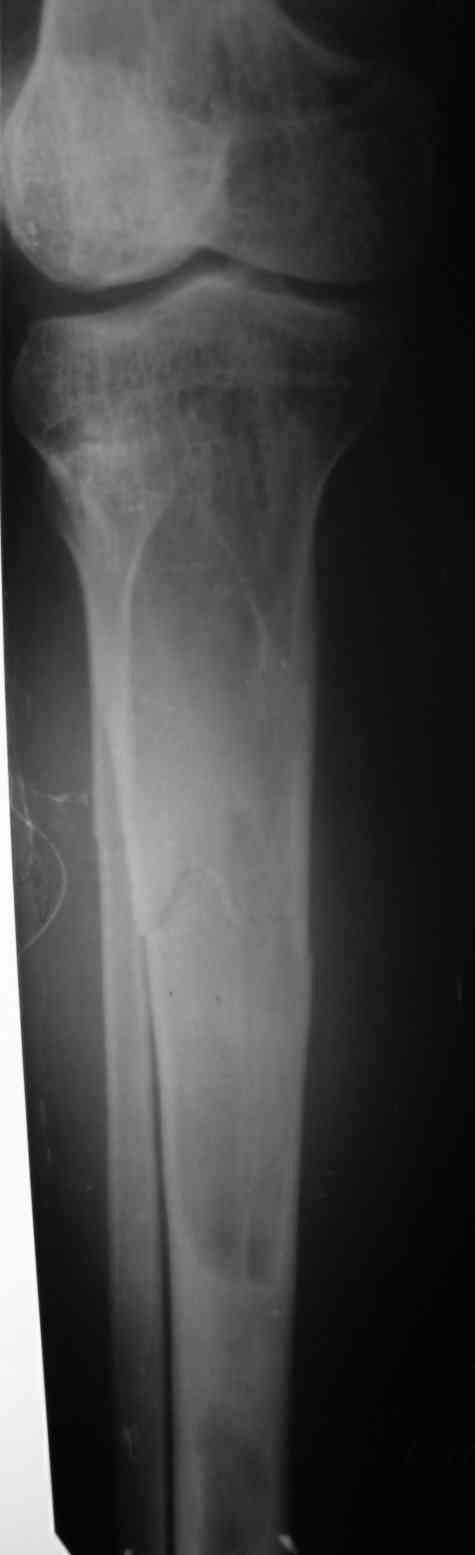
Re: Патологический перелом костей голени.
Евгений 21 Январь 2011, 23:06
|

Вторая проекция.
|
[
Ответить ]
|
Re: Патологический перелом костей голени.
Адонин 22 Январь 2011, 04:29
|
не надо экскохлеации и пластики - обычный интрамедулярный синтез штифтом большого диаметра
|
[
Ответить ]
|
Re: Патологический перелом костей голени.
александр ерохин 22 Январь 2011, 08:15
|
А зачем оперировать-искать приключений,смещение минимальное? Я бы консервативно полечил...
|
[
Ответить ]
|
Re: Патологический перелом костей голени.
Отправитель: Ostanin 22 Январь 2011, 12:17
|
А зачем вообще переломы оперировать? раньше все консервативно лечилось, и достаточно эффективно...
Стержень, статически, максимального диаметра.
|
[
Ответить ]
|
Re: Патологический перелом костей голени.
Отправитель: александр ерохин 22 Январь 2011, 18:35
|
То что можно не оперировать и не надо оперировать,действительно-зачем?
|
[
Ответить ]
|
Re: Патологический перелом костей голени.
Отправитель: адонин 22 Январь 2011, 23:31
|
затем, что в данном случае гвоздь и проксипмальное блокирование по направителю делаются за 10-20 минут - быстрее, чем наложить хорошую гипсовую повязку и дождаться ее застывания.никакой внешней иммобилизации, полная нагнуузка на конечность в первый послеоперационный день, через 3 дня можно принимать душ, вторичное смещение практически невероятно. в общем, грубо говоря, "гвоздь вбил и забыл", что никак невозможно при консервативном лечении
|
[
Ответить ]
|
Re: Патологический перелом костей голени.
Отправитель: Alexander Chelnokov 23 Январь 2011, 04:00
|
Здесь оперировать надо с целью не столько достичь сращения, сколько для эндопротезирования диафиза.
Это не опухоль, так что действительно, как коллега Адонин советовал, ничего удалять не надо, а просто стабилизировать мощным гвоздем от одного сустава до другого.
Это обеспечит и быстрое восстановление опороспобности сейчас, и самое главное - предупредит подобные патологические переломы в будущем.
|
[
Ответить ]
|
|
Re: Патологический перелом костей голени.
Игорь Девин 23 Январь 2011, 13:36
|
Если это фиброзная дисплозия, зачем выполнять экскохлеацию? Это не опухоль. Достаточно провести остеосинтез (лучше БИОС). Травма стимулирует остеогенез и произойдет спонтанная оссификация в зоне перелома. Пациент прожил 20 лет без экскохлеации. При полиоссальной форме фиброзной дисплазии не принято радикально лечить один из очагов. Другие все равно останутся. В отношении дополнительной пластики высказаться затрудняюсь, может быть стоит. И если она будет выполняться, следует выполнить и биопсию содержимого полости в зоне перелома для исключения ОБК.
И.Девин.
|
[
Ответить ]
|
Re: Патологический перелом костей голени.
Отправитель: Alexander Chelnokov 23 Январь 2011, 13:45
|
В отношении дополнительной пластики высказаться затрудняюсь, может быть стоит.
Введение в канал 150 г титана и будет этой самой пластикой.
|
[
Ответить ]
|
|
Re: Патологический перелом костей голени.
Баходир 23 Январь 2011, 23:48
|
1.Экскохлеация очагов.
2.Костная пластика очагов.
3.Аппарат Илизарова.
|
[
Ответить ]
|
Re: Патологический перелом костей голени.
Илья Иофин 24 Январь 2011, 08:07
|
Костная пластика фиброзной дисплазии обречена на неудачу. Ткань фиброзной дисплазии преобладает над нормальной костью через несколько лет. Переломы при фиброзной дисплазии заживают так же, как и обычные. Так что обычного гвоздя будет достаточно. Это защитит кость от переломов в будущем. Вероятность преобразования в остеосаркому порядка 4-ёх процентов. Так что имеет смысл следить за пациентом на протяжении всей жизни.
|
[
Ответить ]
|
Re: Патологический перелом костей голени.
Евгений 26 Январь 2011, 18:18
|
Доброго времени суток. Всем участвовашим большое спасибо за советы и предложения. Вчера выполнили рассверливание КМК и БОИС большеберцовой кости 11 мм штифтом. С уважением, Евгений.
|
[
Ответить ]
|
( Ответить )
|