AOTRAUMA.ORG Центр Илизарова  

Ортопедия и травматология Общие вопросы/General questions Help Информационные технологии в медицине
 вверх
 отправить
 поиск
 админ
 главная


нестабильность голеностопного сустава
Ортопедия и травматология Отправлено SergeyT 29 Январь 2011, 13:45 Воронежская ОКБ
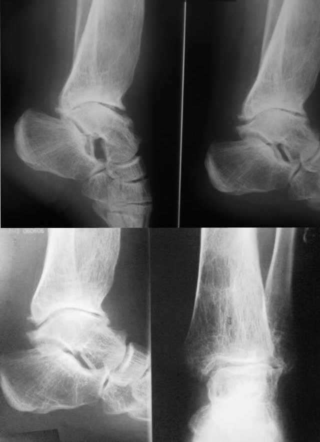
Посттравматическая наружная нестабильность голеностопного сустава у пациентки 30 лет.
Боли не беспокоят. От артродеза отказывается. Боится ограничения движений и хромоты. Как предотвратить наружный подвывих стопы? Может быть кто-то может предложить свою помощь?

<  |  >

 

  • Сообщения о Ортопедия и травматология
  • Также SergeyT
  • Связаться с автором
  • Ответить

    Re: нестабильность голеностопного сустава
    Дедок Михаил 30 Январь 2011, 02:07
    Ортез + индвидуальные стельки и ортопедическая обувь.

    У больной ДОА 3 ст. Стабилизация сустава (имеется ввиду не артродез) может привести к болевому синдрому.

    Может пусть живет?
    [ Ответить ]

    Re: нестабильность голеностопного сустава
    александр ерохин 30 Январь 2011, 16:44
    Пластика по Гурьеву(или Гурину правильно?)из сухожилия большеберцовой мышцы.Рассекается вдоль и крепится к внутренней лодыжке(способы разные) при супинации стопы.Эффективная и простая операция.Почему-то подзабытая.Сам делал раз 8-10,даже амбулаторно как-то.
    [ Ответить ]

    Re: нестабильность голеностопного сустава
    SergeyT 02 Февраль 2011, 01:05
    Извините, был лишен ин-та.
    \\Стабилизация сустава (имеется ввиду не артродез) -может привести к болевому синдрому.

    Видимо, Вы имеете в виду удлинение наружной лодыжки?
    Стабилизация за счет пластика из сухожилия большеберцовой мышцы вряд ли ухудшит ситуацию. Но, насколько долго прослужит связка при отсутствии наружной лодыжки?
    Больная консультировала свои снимки заочно по интернету в какой-то клинике в Германии. Ей предложили приехать для удлинения малоберцовой кости. Сказали, что операция простая. Больная ищет клинику в России, где бы с такой же уверенностью ей бы пообещали положительный результат. За умеренную цену (или по квоте).

    [ Ответить ]

    • Re: нестабильность голеностопного сустава
      Отправитель: александр ерохин 02 Февраль 2011, 23:23
      Абсолютно согласен.На фоне артроза ,наверно,как минимум рискованно,проводить реконструкции на малоберцовой кости-результат плохо прогнозируем(возможно и ухудшение того что есть).Сухожильная пластика проводится практически внесуставно,тут чтоб было хуже,чем есть-надо постараться.
      Да,а почему не сделайте сами?

      [ Ответить ]
      • Re: МЕЯРЮАХКЭМНЯРЭ ЦНКЕМНЯРНОМНЦН ЯСЯРЮБЮ
        Отправитель: SergeyT 03 Февраль 2011, 23:09
        /дЮ,Ю ОНВЕЛС МЕ ЯДЕКЮИРЕ ЯЮЛХ?

        аНКЭМЮЪ √ НДМНЛНЛЕМРМН ЙНККЕЦЮ-СПНКНЦ, ВЕПЕГ ЯРЕМЙС. мХЙЮЙ МЕ ЯНИДЕЛЯЪ Б ОПНЖЕМРЮУ Х ЦЮПЮМРХЪУ.

        [ Ответить ]

     

    ( Ответить )

    Powered by Zope  Squishdot Powered MedLink
    Посетитель: 0196586
      "По форме правильно, а по существу - издевательство" В.И.Ленин
    ©2001-2019Orthoforum Coordinator.
    [ Главная | Отправить сообщение | Поиск | Админ ]