ВХОД ДЛЯ ПАЦИЕНТОВ
вверх
поиск
админ
главная
исходное
последующие
|
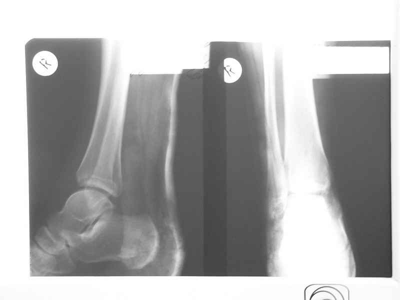
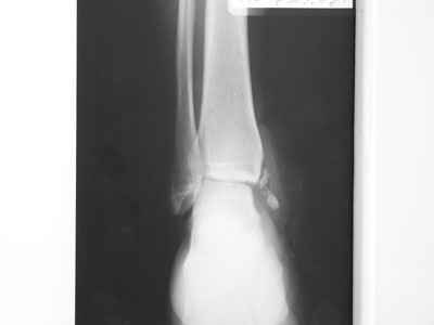
Re: Остеомиелит медиальной лодыжки
послал Леонид Пак 03 Февраль 2011, 10:55
|

Нашел в архиве форума снимки от 2007 года. Классная штука интернет! Александру Николаевичу отдельное спасибо!
С уважением Леонид Пак
|
| Послать ответ |
Обратите внимание: Поля с жирными названиями обязательны.
Старайтесь отвечать в рамках обсуждаемой темы, а не начинать новые обсуждения.
Указывайте адекватную тему сообщения, чтобы было ясно, о чем оно.
Не послайте сообщений не по теме (оффтопик), раздраженных, грубых или обидных комментариев. Здесь это неуместно.
|