вверх
отправить
поиск
админ
главная
|
Осложнение после эндопротезирования. Металлоз или инфекция? |
 |
 |
 |
Отправлено Виноградский Александр 30 Январь 2011, 13:34 СОКП ГВВ
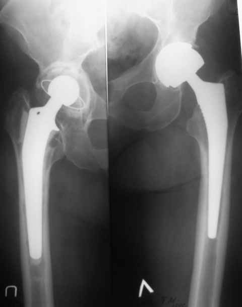
Уважаемые коллеги!Помогите определиться с тактикой лечения осложнения после эндопротезирования т\бедренного сустава ASR Пациентка 64 лет, оперирована 2,5 года назад. Выполнено эндопротезирование левого т\бедренного сустава ASR-XL. Заживление первично. 10 лет назад выполнялось цементное эндопротезирование правого т\бедренного сустава. Ч\з год после последней операции появились боли в области левого сустава, имели преходящий характер, уменьшались на фоне НПВП. В дальнейшем начались аллергические проблемы по типу стойкой крапивницы. 6 месяцев назад купированы после плазмафереза, в настоящее время не купируются. Лечение в НИИ дерматологии без эффекта. Посев пунктата (примерно 50 мл мутной серозной жидкости) без роста флоры. В анализах - Le 3,8, С-реактивный белок -24, СОЭ 25. П\операционный рубец без особенностей, температура в норме. Боли в области сустава умеренные, но сохраняются, больше беспокоят кожные проявления (зуд, сыпь). Планируем ревизию. Вопросы:1)Расценивать как металлоз или скрытую инфекцию? СРБ в 4 раза выше
2)Через спейсер или одномоментно?
3)Если металлоз - оставить ли ножку?
Конечно, удалить все, спейсер, второй этап более предсказуемо, но на второй ноге цементному протезу более 10 лет, не создаст ли увеличенная нагрузка проблем для правого сустава?
<
|
>
|
|
Ответить
|
Re: Осложнение после эндопротезирования. Металлоз или инфекция?
Каминский Андрей 30 Январь 2011, 22:47
|
Александр, тут можно предположить значительный износ чашки и как следствие металлоз. Положение впадины очень вертикальное для этого протеза, износ в зоне нагрузки идет большой, ионов навалом. Думаю можно одномоментно поменять чашку и головку, ножку оставьте. Есть возможность поставить Депьюшную керамику - еще лучше, нет - метал-полиэтилен тоже выход.
Удачи.
Каминский Андрей, зав.отделением эндопротезирования, РНЦ "ВТО" им.Илизарова, Курган
|
[
Ответить ]
|
Re: Осложнение после эндопротезирования. Металлоз или инфекция?
Евгений 31 Январь 2011, 19:00
|
Прочтите внимательно ниже указанное письмо.
8 марта 2010
Срочное уведомление
Продукты: Система ASR XL – пара трения - Металл – Металл и система поверхностного протезирования ASR Resurface
Информационный повод: новые данные в отношении уровня ревизии / информация по правильному использованию продукта
FSCA идентификационный номер: DNT 12725
Уважаемые специалисты,
Компания DePuy в рамках проводящегося наблюдения за продуктами, выводимыми на рынок, постоянно занимается оценкой данных, собранных из различных источников, включая данные национальных регистров, опубликованных материалов статей, клинических исследований, внутренних материалов и неопубликованных отчетов клинических исследований. Последние данные показывают более высокий по сравнению с ожидаемым уровень ревизий в отношении системы ASR XL – пара трения - Металл – Металл и системы поверхностного протезирования ASR Resurface при использовании больших голов, диаметр которых меньше 50 мм (соответствующий размер чашки 56 мм и меньше).
Необходимые действия:
Строгое соблюдение следующих мер является необходимым для достижения положительных результатов имплантации системы и долгосрочной выживаемости протеза:
- Убедитесь, что чашка правильно сориентирована и имеет угол отведения 40 - 45 градусов к поперечной плоскости, как рекомендовано. Правильная ориентация чашки является особенно критичной для больших голов, диаметр которых меньше 50 мм (соответствующий размер чашки 56 мм и меньше).
- Не используйте систему ASR в случае наличия противопоказаний у пациентов, в том числе у женщин детородного возраста.
- При оценке состояния пациентов, пожалуйста, особенное внимание уделите выбору протеза в случаях плохого качества кости или малых размеров вертлужной впадины, требующих имплантации больших голов, диаметр которых меньше 50 мм (соответствующий размер чашки 56мм и меньше).
- Удостоверьтесь, что пациенты, у которых в послеоперационном периоде наблюдаются боль/припухлость/дискомфорт, прошли клиническое наблюдение.
В случае отсутствия вышеуказанных признаков, дополнительные действия помимо стандартных процедур, предусмотренных в каждом конкретном лечебном учреждении, не предполагаются.
Источники:
Данные Австралийского Национального Регистра отмечают уровень ревизии 5.4% за 3 года накопительным итогом для системы ASR XL Head с использованием бедренных компонентов DePuy в операциях по замене тазобедренного сустава.
Последние опубликованные и неопубликованные данные предполагают, что этот уровень может быть выше для выборки, в которой преобладают женщины и пациенты с небольшим размером вертлужной впадины (уровень ревизий у таких пациентов может достигать 8-9% за 3 года для размера большой головы с диаметром менее 50 мм).
Несмотря на то, что данные исследований не связывают напрямую пол пациентов и размер имплантируемой головы с результатами выживаемости импланта, компания DePuy считает, что анализ имеющихся данных дает все основания для того, чтобы обратиить особое внимание на выбор пациентов и правильность ориентации чашки при установке системы ASR XL – пара трения - Металл – Металл и системы поверхностного протезирования ASR Resurface с диаметром головы менее 50мм (соответствующий размер чашки 56 мм и менее). Эти данные соответствуют другим опубликованным данным, относящимся к системе поверхностного протезирования ASR Металл-Металл и другим системам этого класса.
Причины ревизии для таких пациентов являются общими для подобного класса имплантов с использованием больших голов в моноблочной конструкции с парой трения Металл-Металл, они включают нестабильность компонента, неправильное расположение компонента в вертлужной впадине, инфекцию, боль, перелом, смещение и аллергенную реакцию мягких тканей.
Вам известно, что успех операции и выживаемость импланта зависят от множества факторов: аккуратное соблюдение хирургической техники, правильный выбор пациента и его последующая реабилитация. Критичность тщательного соблюдения хирургической техники была подтверждена в ходе анализа имеющейся информации. Чрезмерный угол наклона ацетабулярного компонента (более 45 градусов) являлся причиной ранних ревизий. Отбор пациентов является другим важным фактором. Пациентам с развитым остеопорозом и плохим качеством кости данный вид протеза не показан в связи с возможной миграцией ацетабулярного компонента, переломом бедренного стержня и/или отсутствием нормальной костной ткани, которая сможет обеспечить фиксацию импланта. Также данный тип операции противопоказан женщинам детородного возраста из-за возможного риска увеличения уровня ионов металлов в крови плода.
Компания DePuy продолжит мониторинг данных и будет держать Вас в курсе дальнейших рекомендаций, если результаты исследований будут меняться.
Правила распространения уведомительного письма.
Данное письмо должно быть передано всем, кто имеет отношение в Вашей или другой организации к данному вопросу.
Если Вам необходима дополнительная информация, пожалуйста, обращайтесь к Менеджеру DePuy по вопросам надзора за качеством продукции по телефону +44(0)7771 971930.
Агентству по надзору за препаратами медицинского назначения и продукцией в области здравоохранения в Великобритании предоставлена полная информация по данному вопросу.
Данное уведомительное письмо мы получили весной 2010г. После этого от системы АSR отказались, перейдя на систему Pinnacle. Удачи Вам.
|
[
Ответить ]
|
Re: Осложнение после эндопротезирования. Металлоз или инфекция?
Игорь Шубняков 31 Январь 2011, 23:51
|
Добрый день, Александр.
В предоперационном периоде целесообразно выполнить КТ на предмет исключения псевдоопухолевого процесса (на рентгенограммах не визуализируется). Во время ревизии желательно выполнение микроскопии, но тактика определяется не столько по наличию микробных клеток, сколько по состоянию мягких тканей в суставе - при сильно выраженных воспалительных изменениях возможно лучше перестраховаться и поставить спейсер, хотя оба компонента похоже стабильны. Если ревизия будет одномоментная, учитывая вероятную гиперчувствительность на ионы кобальта и хрома, целесообразно использовать керамическую пару трения.
С уважением,
Игорь Иванович Шубняков, РНИИТО им. Р.Р.Вредена
|
[
Ответить ]
|
( Ответить )
|
|