вверх
отправить
поиск
админ
главная
|
перелом луча, конфликтная ситуация |
 |
 |
 |
Отправлено Дедок Михаил 02 Март 2011, 01:22 МУЗ Узловская РБ
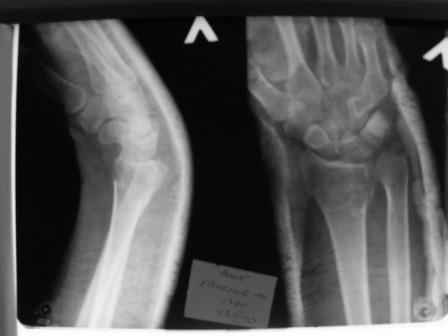
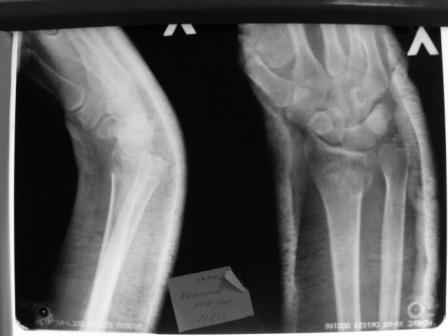
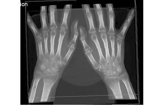
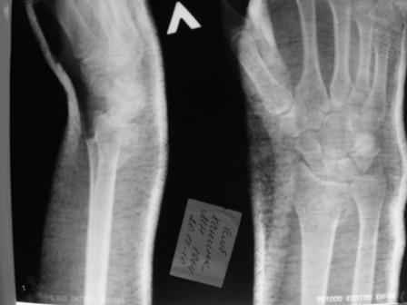
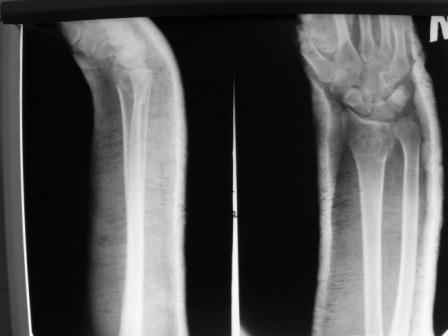
Уважаемые коллеги.Прошу обсудить случай лечения перелома дистального метаэпифиза лучевой кости. Ситуация скандальная и крайне неблагоприятная. Больная с патологической обстоятельностью мышления, склонностью к сутяжничеству, патологическими умозаключениями, не поддающимися коррекции (см. психиатрию, правда офиц. диагноза нет). В данном случае есть ряд ошибок с нашей стороны, прежде всего в отношении качества ведения документации (за что получил административное взыскание, по делом мне дураку). В остальном- придерживались в лечении подхода классический советской школы. Так как умную операцию…… сами знаете… 15.12- перелом луча в Москве. Там же репозиция, гипс. Дальнейшее лечение у нас в ЦРБ. 20.12.- вторичное смещение в гипсе21.12- под внутривенным наркозом- репозиция, гипсовая лонгета. Дальше начинается самое интересное. После репозиции больная заявила, что я (репозицию делал я) порвал ей все связки в суставе, посинел у нее 5 палец, якобы я за него тянул и т. д. На самом деле на 2 сутки после репозиции рука немного отекла и было незначительное сдавление гипсом, который был ослаблен. Дальнейшее лечение консервативное. Через 6 недель- гипс снят, назначено ЛФК. Пациентка крайне недовольна. Говорит, что на снимке у нее выступает кость, я ей сломал руку и.т.д. В общем началось. Пациентка прочитала в интернете наверное все, что есть по данной травме.По заключениями рентгенологов и консультанта из КДЦ областной больницы - стояние отломков допустимое. Объективно говоря- снижена высота лучевой кости, диастаз лучелоктевого сочленения, и не сросся шиловидный отросток. однако на РКТ при сравнении с другой стороной- разница незначительная. Дальше в одной из больниц нашей области и одной из больниц Москвы (вроде бы КГБ 53) врачи сказали, что репозиция сделана плохо. Нужна операция (восстановить длину лучевой кости), даже один из них предложил РЕДРЕССАЦИЮ (хи-хи) с наложением аппарата Илизарова. Что это для данной больной- радость неописанная. (см. описание психического статуса). Ничем другим, кроме зарабатывания дешевого авторитета объяснить данный факт не могу.Кстати, у больной еще нейропатия локтевого нерва.Для разрешения конфликта больная направлена на консультацию в ЦИТО на 03.03.11.
Теперь вопросы: 1.Прошу объективно оценить качество нашей репозиции на момент 21.12. (неужели так плохо?). Что на снимках при снятии гипса- сам вижу. 2. сравнить снимки РКТ (с двух сторон)- так ли велико укорочение лучевой кости и лучелоктевой диастаз. 3. Ваши мнения, в отношении целесообразности оперативного лечения учитывая ВСЕ вышеизложенное. 4. На всякий случай для суда- мог ли я тракцией в 2- 3 кг за 1 и 2 пальцы под внутривенным наркозом неправильно вколотить отломки и травмировать локтевой нерв. Кстати, в США если врач пациенту говорит, что его плохо лечили- то этого врача лишают лицензии. У нас наооборот- обгадить другого милое дело. И это процветает. От себя же могу сказать, что никто в нашем отделении так не поступает. Коллеги, будьте осторожны в своих высказываниях. От осложнений и ошибок никто не застрахован. А в данном случае многое будет зависеть от заключения консультантов поликлиники ЦИТО, куда больная направлена областным травматологом на 03.03 для решения вопроса о дальнейшей тактики лечения. С уважением ко всему травматологическому сообществу Дедок Михаил.
<
|
>
|
|
Ответить
|
Re: перелом луча, конфликтная ситуация
Евгений 02 Март 2011, 16:40
|
Рентген и КТ?
|
[
Ответить ]
|
Re: перелом луча, конфликтная ситуация
Отправитель: Дедок Михаил 02 Март 2011, 23:13
|
в приложенном архиве
|
[
Ответить ]
|
|
Re: перелом луча, конфликтная ситуация
Соболев Игорь 03 Март 2011, 01:29
|
Я Работаю в такой же центральной ,,бомбейской,, больнице .
1. РЕПОЗИЦИЯ сделана качественно(ОСНОВНЫЕ 2 УГЛА ВЫСТАВЛЕНЫ ПРАВИЛЬНО ) , но перелом нестабильный и склонен к втор смещению . Поэтому мы стараемся все переломы со смещением фиксировать 3-МЯ спицами по GRIN методике .
2. По сравнению и без ! втор смещение незначительное.НЕТ НИКАКОЙ ,,локтевой косорукости,,маделунгов . но имеется смещение совести у врачей КГБ 35--НЕТ ЗДОРОВЫХ, есть только недообследованные ! Этому смещению аппарат внешней фиксации не поможет .Психопаткам в менопаузе да весной только этого и надо чуть толкнули и поехало .
Желаю Вам терпения и стойкости .
|
[
Ответить ]
|
Re: перелом луча, конфликтная ситуация
Sereda Andrey 03 Март 2011, 01:49
|
"Для разрешения конфликта больная направлена на консультацию в ЦИТО на 03.03.11."
Хочется все-таки надеяться, что хоть кто-то из поликлиники ЦИТО на ортофорум ходит.
|
[
Ответить ]
|
Re: перелом луча, конфликтная ситуация
Бережной Сергей 03 Март 2011, 02:42
|
Если неуравновешенная больная заявляет, что в другом месте врачи сказали, будто лечение было неправильным, еще не факт, что это правда. К ее словам тоже нужно отнестись критично. Например, ей могли предложить операцию не комментируя предыдущее лечение. А уж она все повернула по своему. Но ведь показания для операции сейчас есть. И поймите правильно консультанта. С одной стороны нужно не подставить предыдущего врача, с другой - дать объективное заключение и помочь больному.
|
[
Ответить ]
|
Re: перелом луча, конфликтная ситуация
Алексеев Дмитрий 03 Март 2011, 20:29
|
1. Репозиция от 21.12.10 была выполнена лучше, чем первичная.
2. Укорочение лучевой кости с изменениями дистального лучелоктевого сустава требует оперативного лечения
3. Очень сложно заниматься лечением таких конфликтных пациентов, т.к. они бывают крайне редко чем-то довольны, но...
4. Тракцией вряд ли травмировали, а вот, например, складка на гипсе могла сдавить локтевой нерв
|
[
Ответить ]
|
Re: перелом луча, конфликтная ситуация
Дедок Михаил 03 Март 2011, 23:55
|
Уважаемые коллеги!
Спасибо за участие в обсуждении данного случая.
Позвольте несколько комментариев и вопросов.
Я прекрасно знаю, что укорочение лучевой кости более 2 мм требует оперативного лечения с целью восстановления её длины, и что некоторые выполняют рефиксацию шиловидного отростка. (благо на последнем симпозиуме АО я присутствовал)
Однако по порыве благоговейного экстаза к докладам Рикки, Голубева и других я забыл спросить маленькое уточнение.
- мы все знаем, что показания к оперативному лечению существуют абсолютные и относительные.
1. Что считать абсолютными показаниями к операции а что относительными?
2. Вопрос к сторонника операции в приведенном мною случае здесь- абсолютные показания к операции или относительные?
Если вы считаете, что они абсолютные значит надо оперировать ВСЕХ (и онкобольных, и больных с шизофренией и старых 90 летных бабушек с маразмом и постинфарктным кардиосклерозом), ведь показания абсолютные.
Таким образом, каждого,кто не будет оперировать пациента с представленными рентгенограммами (в исходе) следует считать преступником (отказ от помощи, повлекший за собой...)
Если здесь относительные показания, тогда совсем другое дело, значит можно и не оперировать.
То есть вопрос оперировать или не оперировать сводится, как говорится, к социальным показаниям- заплатит за операцию или не заплатит, купит крутую пластину или не купит?
3. Я не даром описывал психический статус. И просил учесть ВСЕ. Кто не понял между срок спрашиваю прямее. Вы бы стали оперировать САМИ данную пациентку у которой шизофрения. Но больная психиатром не осмотрена, так как закон о психиатрической помощи в нашей стране запрещает принудительную консультацию психиатра (если это не суицид, психоз и все такое). Вы ЛИЧНО бы стали оперировать?
4. Учитывая все изложенное если есть желающие прооперировать- мы постараемся найти квоты в ваш федеральный цент или клинику для оперативного лечения данной больной и... поулыбаемся, желая вам удачи....
5. Мы умеем оперировать данные переломы и фиксаторы у нас для этого есть БЕСПЛАТНО в том числе и с угловой стабильностью. Но я не взялся бы оперировать здесь ни в коем случае. Я знаю о чем и о ком говорю. (У нас маленький город и все на виду). Весь смысл ситуации в том, что больная настроена на 3 группу инвалидности и хочет (и будет) добиваться её любой ценой не зависимо от того прооперируют её или нет. И когда она её получит (а она её скорее всего добьется, не смотря на то, что критериев для представления на МСЭК нет), то виноваты будут все. И тот, кто прооперировал, но он скорее всего отмажется, скажет вас ко мне поздно направили а вероятнее всего я (и еще около 6 травматологов и 2 рентгенологов вместе со мной, включая трех врачей с высшей категорией и двух кандидатов мед. наук). Данный случай - это яркий пример потребительского экстремизма помноженный на шизо.
Поэтому все таки вопрос- здесь абсолютные показания к операции или нет.
В заключении я прошу извинения за эмоциональность. Как то хреново знаете ли.
Мнение поликлиники ЦИТО обязательно выложу на форуме.
С уважением Дедок Михаил.
|
[
Ответить ]
|
Re: перелом луча, конфликтная ситуация
Отправитель: Бехтерев Антон 04 Март 2011, 01:47
|
А какие, позвольте спросить, показания к операции? И к какой? Лечить надо пациента, но не рентгенограмму. Пока непонятны жалобы больной. Можно только догадываться о клинике со стороны локтевого нерва: какая выраженность и какой уровень? В этом плане интересен доклад Голубева И. О. на недавнем цикле АО: подавляющее число пациентов с неправильно сросшимся переломом дистального луча и выявленными функциональными нарушениями не предъявляли никаких жалоб.
Бехтерев Антон.
|
[
Ответить ]
|
|
Re: перелом луча, конфликтная ситуация
Корышков Николай 04 Март 2011, 01:42
|
Добрый вечер сообществу! У меня сегодня был консультативный день в поликлинике ЦИТО, но, простите, другой сегмент: стопа-голеностоп. Представители 3-го отделения (И.О.Голубева) что-то молчат. Вероятно, дискуссия еще впереди. Ситуация интересна (клинически, юридически и психологически), убежден не единична. И не только на этом сегменте. Стойкости и терпения коллегам в работе с такими пациентами. Удачи.
--
С уважением, Николай
|
[
Ответить ]
|
Re: перелом луча, конфликтная ситуация
Дедок Михаил 04 Март 2011, 20:49
|
Как и обещал выкладываю заключение ЦИТО.
Пациентка осмотрена проф. Голубевым.
Заключение: Консолидированный в неправильном положении перелом дистального метафиза левой лучевой кости. Ротационная контрактура левого предплечья. Рекомендовано- разработка, консультация через 2 месяца.
Кстати, сегодня побывал на допросе в прокуратуре по поводу жалобы больной на то, что я умышленно нанес ей вред своей репозицией. Было смешно всем.
Я думаю, что через 2 месяца больная будет трудоспособна. Я там поглядим.
|
[
Ответить ]
|
Re: перелом луча, конфликтная ситуация
Алишер Баховудинов 05 Март 2011, 11:55
|
Уважаемый коллега, а можно узнать локальный статус на настоящий момент (дефицит объёма движений в лучезапястном суставе, качество схвата, вегетатику)? Какие жалобы у больной, кроме того, что врачи-редиски?))). Если функциональные результаты не глобальны, можно провести тестирование по Quick DASH или оценке исхода предложенной Нижегородскими коллегами (Семенкин и Измалков). Может это поможет снять агрессию у больной? И ещё вопрос, а почему не провели стабилизацию перелома спицами, когда наступило вторичное смещение (ну это уже просто, чтобы понять ситуацию на этапах).
|
[
Ответить ]
|
Re: перелом луча, конфликтная ситуация
Александр Н. 05 Март 2011, 21:31
|
Здравствуйте коллеги! Мне кажется жизнь засталяет нас разработоть юридически значимый документ по названием ПЛАН ЛЕЧЕНИЯ, где обязательно в письменной форме фиксировать что пациенту на доступном для него уровне объяснено что такое стабильный и что такое нестабильный перелом, рассказано о видах лечения ( консервативного и различного оперативного) и получать под этим подпись больного!!!!!!!!!!!!!! Чтобы потом, при подобных ситуациях было удобно занимать позицию типа "сам дурак" Вам же: предлагали, информировали, направляли в Москву а Вы к сожалению отказались((((((((((((((!
Хотя это токлько мечты! Подобные жалобы всегда отравляют жизнь.
|
[
Ответить ]
|
Re: перелом луча, конфликтная ситуация
Алибек 06 Март 2011, 12:00
|
Уважаемый Михаил!
1.При первой и повторной репозициях вторичное смещение могло быть вызвано несоблюдёнием одного из существенных требований "классической советской школы"- локтевое отведение кисти.Оно необходимо не только для восстановления радиоульнарного угла,но и для предупреждения укорочения луча,за счёт перемещения оси смещающих усилий(аутомышечной компрессии)на локтевую кость.
2.Укорочение лучевой кости и лучелоктевой диастаз невелики,но отрицать их клиническую значимость весьма сложно.
3.Исходя из конкретной ситуации и здравого смысла абсолютных показаний к операции не было и сразу после травмы и нет сейчас ,уже после сращения,поскольку перелом внесуставной,а осколок по тылу луча не препятствует торцевому упору по волярному краю луча.
4.Повредить локтевой нерв при репозиции маловероятно.
К сожалению,распространяющаяся "заточенность" на оперативное лечение всех переломов неизбежно ведёт к потере драгоценного опыта гакрытой репозиции и консервативного лечения.
|
[
Ответить ]
|
Re: перелом луча, конфликтная ситуация
Дедок Михаил 06 Март 2011, 20:34
|
Добрый день коллеги.
По просьбе трудящихся выкладываю жалобы больной почти дословно:
Я уже инвалид 3 группы, не надо было мне ломать руку.
Объективно: пронация почти полная, супинация ограничена, ладонная флексия около 20, тыльная 10. Гипостезия в зоне инервации локтевого нерва. Незначительный отек. Хват кисти полный. Сила 4 балла.
В общем, типичная картина раннего восстановительного периода после снятия гипса. Визуально конечность не изменена.
Мне кажется, что на самом деле, ситуация не стоит и выеденного яйца. При правильном лечении должно быть полное восстановление функции.
Согласен, что ульнарную девицию можно было сделать больше, однако так ли она предотвратит проседание лучевой кости? Тем более что угол наклона лучевой кости восстановлен.
Что касается фиксации спицами- считаю, что тогда уж лучше прооперировать и положить пластинку. Смысл операции- фиксировать с ранним восстановлением функции. Но в данном случае- как в фильме- каждое ваше слово может быть использовано против вас. Поэтому и не фиксировали.
Вспомнился последний симпозиум АО.
==Большинство пациентов не предъявляют жалоб не смотря на выявленные нарушения функции.
1 Так ли они значимы если пациенты их не замечают?
2. В целом складывается тенденция- резать, резать и резать!
3. Я не отрицаю канонов АО, но иногда имеют место перегибы
В целом понятно одно. У нас нет единого подхода к лечению, нет четких показаний к операции. Идет борьба между классической советской школой и западными учениями. В каждой есть свои достижения но нет золотой середины.
В общем не будем разводить философию, это задача не одного десятилетия.
Спасибо всем за участие, критику и поддержку.
Поменьше дебилов на приеме.
С уважением к Сообществу Дедок М.А.
|
[
Ответить ]
|
Re: перелом луча, конфликтная ситуация
Отправитель: травматолог 08 Март 2011, 15:47
|
аксиома:функция всегда компенсирует деформацию, - устраненние деформации не всегда приводит к восстановлению функции.
направте пациентку на МСЭ, - это её право.
перелом луча в типичном месте - это то-же что и аппендицит в хирургии.
прочитайте дисс. Томп. 1940 г. по этой теме, там есть всё, есть в библиотеке Вредена.
Бёллера никто не отменял.
с уважением.
|
[
Ответить ]
|
Re: перелом луча, конфликтная ситуация
Отправитель: Ivan Petrov 09 Март 2011, 16:03
|
Очень пафосный и поучительный пост, только непонятно какого Бёллера никто не отменял. Если имеется в виду Lorenz Böhler, то так и пишите "Бёхлер", Вы же наверняка прочли дисс. Томп. 1940 г
|
[
Ответить ]
|
|
Re: перелом луча, конфликтная ситуация
андрей 07 Март 2011, 02:37
|
да дураки переодически нас достают,вот и думай оперировать пациента или консервой лечить ,только все равно виноват будешь.у нас такая травм мсек, что хрен бы ей что дали.
|
[
Ответить ]
|
Re: перелом луча, конфликтная ситуация
Дедок Михаил 13 Март 2011, 21:24
|
Уважаемые коллеги.
Продолжаю Вас информировать на данному "делу".
11.03.11 больная КЭК выписана к труду. (работает инженером на одном из предприятий Москвы).
На этом скорее всего не все, так как поступила жалоба в областную прокуратуру, которая будет дальше разбираться в ситуации "умышленного причинения вреда "здоровью". Скорее всего будет судебно- медицинская экспертиза и т.д.
Информирую Вас не для прикрытия своей пятой точки, а скорее, как говорят в юридической практике, для создания прецедента. Что будет дальше- будет видно.
Хочется верить в цитату из фильма- Сила брат- она в Правде.
А правда всегда (?) одна....
О дальнейшем развитии ситуации буду информировать.
С уважением к сообществу, Дедок М.А.
|
[
Ответить ]
|
Re: перелом луча, конфликтная ситуация
руслан смол 20 Март 2011, 02:28
|
здравствуйте всем!!я молодой начинающий травматолог.нахожусь в подобной зреющей ситуации!!!пока конечно все только в устных спорах и конфликтах,но жалобы не за горами!!!желанте рвботать по професии все меньше!!таких случаев в нашей системе будет все больше и больше!!очень сочувствую автору,и тоже не нахожу ничего преступного в его действия!!вопрос ко всем:может бросать медицину,пока штрафов не наложили и взраст подходит,к получению новой професии?всем спасибо,свем удачи!!!
|
[
Ответить ]
|
Re: перелом луча, конфликтная ситуация
Отправитель: Алибек 24 Март 2011, 21:11
|
За 45 лет работы приходилось и самому ошибаться и участвовать в комиссиях по их рассмотрению. Не помню ни одного случая жалобы,вызванной только ошибкой хирурга. Все жалобы были вызваны другими причинами: высокомерием хирурга, грубостью хамством ,чванством, его невниманием,пренебрежением,игнорированием ,нежеланием общаться с пациентом и его родственниками,особенно после операций с неудачным исходом.Пациенты не прощают равнодушия,а уже потом начинается поиск "объективных" причин,ошибок и т.п.
Ищите причину в себе.А пациент - заведомо больной человек,и его психика не может оставаться интактной при любой соматической патологии,поэтому нам остаётся быть милосердными и терпеливыми. Скажу честно- мы ,наоборот,избалованы терпением и покорностью пациентов.
|
[
Ответить ]
|
|
Re: перелом луча, конфликтная ситуация
Евгений 20 Март 2011, 14:47
|
Овет Руслану.
Если задаете этот вопрос, то наверное стоит об этом подумать. Не всем же быть врачами. Значит Вы не до конца поняли, какую специальность выбрали и за что отвечаете. Не беда, когда человек вовремя понимает, что это не его стезя и меняет профессию. Хуже когда не понимает, но творит.
|
[
Ответить ]
|
Re: перелом луча, конфликтная ситуация
Д. Бородин 07 Апрель 2011, 17:25
|
Михаил. Больная выписана к труду, исход лечения благоприятный - какие вопросы? Терпения!
|
[
Ответить ]
|
Re: перелом луча, конфликтная ситуация
Алексей В 17 Декабрь 2011, 08:00
|
Доброго времени суток. прочитал ваш пост. Как решилась ситуация?
- вчера предложил нашим врачам еще раз разобрать тактику при данной патологии.
|
[
Ответить ]
|
Re: перелом луча, конфликтная ситуация
Родион 09 Ноябрь 2015, 14:16
|
полностью на стороне врача...2011 г-КМН по оптимизации лечения переломов ДЭЛК АВФ ;)
|
[
Ответить ]
|
( Ответить )
|
|